相关产品推荐更多 >
万千商家帮你免费找货
0 人在求购买到急需产品
- 详细信息
- 文献和实验
- 技术资料
- 免疫原:
Full length human N-Ras Recombinant protein.
- 亚型:
IgG
- 形态:
Liquid
- 保存条件:
Store as concentrated solution. Centrifuge briefly prior to opening vial. For short-term storage (1-2 weeks), store at 4ºC. For long-term storage, aliquot and store at -20ºC or below. Avoid multiple freeze-thaw cycles.
- 克隆性:
Polyclonal
- 标记物:
Unconjugated
- 适应物种:
Human, Mouse, Rat
- 保质期:
12 months from the shipping date of the product.
- 抗原来源:
Human
- 目录编号:
GTX108598
- 级别:
Primary Antibodies
- 库存:
Available
- 供应商:
GeneTex
- 宿主:
Rabbit
- 应用范围:
WB
- 浓度:
0.41 mg/ml (Please refer to the vial label for the specific concentration.)
- 靶点:
Cross-reactivity may occur with other RAS proteins
- 抗体英文名:
N-RAS antibody
- 抗体名:
N-RAS 抗体
- 规格:
100 μl/25 μl
| 规格: | 100 μl | 产品价格: | ¥4000.0 |
|---|---|---|---|
| 规格: | 25 μl | 产品价格: | ¥1700.0 |
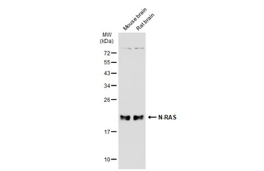
Various tissue extracts (50 μg) were separated by 12% SDS-PAGE, and the membrane was blotted with N-RAS antibody (GTX108598) diluted at 1:1000. The HRP-conjugated anti-rabbit IgG antibody (GTX213110-01) was used to detect the primary antibody, and the signal was developed with Trident ECL plus-Enhanced.
Various whole cell extracts (30 μg) were separated by 12% SDS-PAGE, and the membrane was blotted with N-RAS antibody (GTX108598) diluted at 1:1000. The HRP-conjugated anti-rabbit IgG antibody (GTX213110-01) was used to detect the primary antibody, and the signal was developed with Trident ECL plus-Enhanced.
Non-transfected (–) and transfected (+) 293T whole cell extracts (30 μg) were separated by 12% SDS-PAGE, and the membrane was blotted with N-RAS antibody (GTX108598) diluted at 1:5000. The HRP-conjugated anti-rabbit IgG antibody (GTX213110-01) was used to detect the primary antibody.
风险提示:丁香通仅作为第三方平台,为商家信息发布提供平台空间。用户咨询产品时请注意保护个人信息及财产安全,合理判断,谨慎选购商品,商家和用户对交易行为负责。对于医疗器械类产品,请先查证核实企业经营资质和医疗器械产品注册证情况。
文献和实验Tsuboi M et al., J Biol Chem 2017 (PMID:28912272)
Chen CC et al., Cell Signal 2015 (PMID:26208883)
Chen CC et al., J Agric Food Chem 2015 (PMID:25569448)
Wu HT et al., Am J Chin Med 2020 (PMID:32668964)
研究人员的论文发表之路往往很难一帆风顺,也就是说,通常情况下,很少有论文一经投稿、审稿就直接被录用发表。 一般来说,在审稿后收到「小修(minor revision)」的修改意见,已经可谓是十分令人兴奋、皆大欢喜的情况了,论文已在很大程度上接近了被录用发表。然而,更多时候,稿件在经历同行评审之后,可能会连同大量的修改意见一起被返回给作者修改,也就是「大修(major revision)」,这意味着稿件难免要面临一番大动干戈、脱胎换骨的修改,即便如此,依然不能保证修改后的稿件能被顺利录用发表
Ras是大鼠肉瘤(rat sarcoma,Ras)的英文缩写。Ras蛋白是原癌基因 c—ras的表达产物,相对分子质量为21kDa,属单体 GTP结合蛋白,具有弱的 GTP酶活性。Ras蛋白的活性状态对细胞的生长、分化、细胞骨架、蛋白质运输和分泌等都具有影响,其活性则是通过与GTP或GDP的结合进行调节。 Ras的活性受两个蛋白的控制,一个是鸟苷交换因子(guanine nucleotide exchange factor, GEF),它的作用是促使GDP从Ras蛋白
In the field of therapeutic recombinant proteins, monoclonal antibodies (mAbs) have achieved a rising success with more than 30 mAbs that have reached the market in the past 20 years. From a structural standpoint, one of the most important
技术资料暂无技术资料 索取技术资料







![RIP2 antibody [C1C3]](https://img1.dxycdn.com/2022/0328/830/9719770771759200453-14.jpg!wh200)



