相关产品推荐更多 >
万千商家帮你免费找货
0 人在求购买到急需产品
- 详细信息
- 技术资料
- 免疫原:
Carrier-protein conjugated synthetic peptide encompassing a sequence within the C-terminus region of human HLA-DMB. The exact sequence is proprietary.
- 亚型:
IgG
- 形态:
Liquid
- 保存条件:
Store as concentrated solution. Centrifuge briefly prior to opening vial. For short-term storage (1-2 weeks), store at 4ºC. For long-term storage, aliquot and store at -20ºC or below. Avoid multiple freeze-thaw cycles.
- 克隆性:
Polyclonal
- 标记物:
Unconjugated
- 适应物种:
Human
- 保质期:
12 months from the shipping date of the product.
- 抗原来源:
Human
- 目录编号:
GTX108492
- 级别:
Primary Antibodies
- 库存:
Available
- 供应商:
GeneTex
- 宿主:
Rabbit
- 应用范围:
WB, IHC-P
- 浓度:
1 mg/ml (Please refer to the vial label for the specific concentration.)
- 靶点:
HLA-DMB
- 抗体英文名:
HLA-DMB antibody [C2C3], C-term
- 抗体名:
HLA-DMB 抗体 [C2C3], C-term
- 规格:
100 μl/25 μl
| 规格: | 100 μl | 产品价格: | ¥4000.0 |
|---|---|---|---|
| 规格: | 25 μl | 产品价格: | ¥1700.0 |
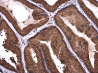
Immunohistochemical analysis of paraffin-embedded human colon carcinoma, using HLA-DMB(GTX108492) antibody at 1:250 dilution.
Antigen Retrieval: Trilogy™ (EDTA based, pH 8.0) buffer, 15min
Western Blot analysis of HLA-DMB expression in transfected 293T cell line by HLA-DMB polyclonal antibody.
A:Non-transfected lysate.
B:HLA-DMB transfected lysate.
12% SDS PAGE
GTX108492 diluted at 1:500
风险提示:丁香通仅作为第三方平台,为商家信息发布提供平台空间。用户咨询产品时请注意保护个人信息及财产安全,合理判断,谨慎选购商品,商家和用户对交易行为负责。对于医疗器械类产品,请先查证核实企业经营资质和医疗器械产品注册证情况。
技术资料暂无技术资料 索取技术资料


![HLA-DMB antibody [C2C3], C-term](https://img1.dxycdn.com/2022/0328/107/7991488266157200453-14.jpg)


![CARM1 antibody [3H2]](https://img1.dxycdn.com/2022/0328/248/2549005482626500453-14.jpg!wh200)
![TIGD1 antibody [C3], C-term](https://img1.dxycdn.com/2022/0328/957/9644695954096200453-14.jpg!wh200)
![p57 Kip2 antibody [KP10]](https://img1.dxycdn.com/2022/0328/964/3361442440370700453-14.jpg!wh200)

![Melan A antibody [A103]](https://img1.dxycdn.com/2022/0328/066/1086932701358300453-14.jpg!wh200)
