相关产品推荐更多 >
万千商家帮你免费找货
0 人在求购买到急需产品
- 详细信息
- 技术资料
- 免疫原:
Carrier-protein conjugated synthetic peptide encompassing a sequence within the center region of human VPS11. The exact sequence is proprietary.
- 亚型:
IgG
- 形态:
Liquid
- 保存条件:
Store as concentrated solution. Centrifuge briefly prior to opening vial. For short-term storage (1-2 weeks), store at 4ºC. For long-term storage, aliquot and store at -20ºC or below. Avoid multiple freeze-thaw cycles.
- 克隆性:
Polyclonal
- 标记物:
Unconjugated
- 适应物种:
Human
- 保质期:
12 months from the shipping date of the product.
- 抗原来源:
Human
- 目录编号:
GTX107706
- 级别:
Primary Antibodies
- 库存:
Available
- 供应商:
GeneTex
- 宿主:
Rabbit
- 应用范围:
WB, ICC/IF, IHC-P
- 浓度:
1 mg/ml (Please refer to the vial label for the specific concentration.)
- 靶点:
VPS11
- 抗体英文名:
VPS11 antibody
- 抗体名:
VPS11 抗体
- 规格:
100 μl/25 μl
| 规格: | 100 μl | 产品价格: | ¥4000.0 |
|---|---|---|---|
| 规格: | 25 μl | 产品价格: | ¥1700.0 |
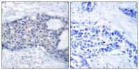
VPS11 antibody detects VPS11 protein at cytosol on Ca922 xenograft by immunohistochemical analysis.
Sample: Paraffin-embedded Ca922 xenograft.
VPS11 antibody (GTX107706) dilution: 1:500.
Antigen Retrieval: Trilogy™ (EDTA based, pH 8.0) buffer, 15min
Sample(30 μg of whole cell lysate)
A:293T
B:Hep G2(GTX27900)
7.5% SDS PAGE
GTX107706 diluted at 1:500
VPS11 antibody detects VPS11 protein at cytoplasm by immunofluorescent analysis.
Sample: HeLa cells were fixed in -20ºC 100% MeOH for 5 min.
Green: VPS11 protein stained by VPS11 antibody (GTX107706) diluted at 1:500.
Blue: Hoechst 33343 staining.
风险提示:丁香通仅作为第三方平台,为商家信息发布提供平台空间。用户咨询产品时请注意保护个人信息及财产安全,合理判断,谨慎选购商品,商家和用户对交易行为负责。对于医疗器械类产品,请先查证核实企业经营资质和医疗器械产品注册证情况。
技术资料暂无技术资料 索取技术资料





![SOX17 antibody [3H5]](https://img1.dxycdn.com/2022/0328/831/3808602422797500453-14.jpg!wh200)
![mtPAP antibody [N1C1]](https://img1.dxycdn.com/2022/0328/279/8108060106682300453-14.jpg!wh200)

![PAPP A antibody [3C8]](https://img1.dxycdn.com/2022/0328/753/4620466537024200453-14.jpg!wh200)
![ZIM2 antibody [5E12]](https://img1.dxycdn.com/2022/0328/490/6545460638287500453-14.jpg!wh200)
