相关产品推荐更多 >
万千商家帮你免费找货
0 人在求购买到急需产品
- 详细信息
- 文献和实验
- 技术资料
- 免疫原:
Recombinant protein encompassing a sequence within the center region of human Acylglycerol kinase. The exact sequence is proprietary.
- 亚型:
IgG
- 形态:
Liquid
- 保存条件:
Store as concentrated solution. Centrifuge briefly prior to opening vial. For short-term storage (1-2 weeks), store at 4ºC. For long-term storage, aliquot and store at -20ºC or below. Avoid multiple freeze-thaw cycles.
- 克隆性:
Polyclonal
- 标记物:
Unconjugated
- 适应物种:
Human, Mouse
- 保质期:
12 months from the shipping date of the product.
- 抗原来源:
Human
- 目录编号:
GTX107413
- 级别:
Primary Antibodies
- 库存:
Available
- 供应商:
GeneTex
- 宿主:
Rabbit
- 应用范围:
WB, ICC/IF, IHC-P
- 浓度:
0.84 mg/ml (Please refer to the vial label for the specific concentration.)
- 靶点:
Acylglycerol kinase
- 抗体英文名:
Acylglycerol kinase antibody
- 抗体名:
Acylglycerol kinase 抗体
- 规格:
100 μl/25 μl
| 规格: | 100 μl | 产品价格: | ¥4000.0 |
|---|---|---|---|
| 规格: | 25 μl | 产品价格: | ¥1700.0 |
Non-transfected (–) and transfected (+) 293T whole cell extracts (30 μg) were separated by 10% SDS-PAGE, and the membrane was blotted with Acylglycerol kinase antibody (GTX107413) diluted at 1:500. The HRP-conjugated anti-rabbit IgG antibody (GTX213110-01) was used to detect the primary antibody.
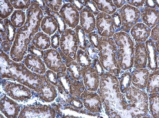
Acylglycerol kinase antibody detects Acylglycerol kinase protein at mitochondria on mouse kidney by immunohistochemical analysis.
Sample: Paraffin-embedded mouse kidney.
Acylglycerol kinase antibody (GTX107413) diluted at 1:500.
Antigen Retrieval: Trilogy™ (EDTA based, pH 8.0) buffer, 15min
Sample(30 μg of whole cell lysate)
A:A431(GTX27909)
B:H1299
10% SDS PAGE
GTX107413 diluted at 1:500
The HRP-conjugated anti-rabbit IgG antibody (GTX213110-01) was used to detect the primary antibody.
Mouse tissue extract (30 μg) was separated by 10% SDS-PAGE, and the membrane was blotted with Acylglycerol kinase antibody (GTX107413) diluted at 1:1000. The HRP-conjugated anti-rabbit IgG antibody (GTX213110-01) was used to detect the primary antibody.
Acylglycerol kinase antibody detects Acylglycerol kinase protein by western blot analysis.
A. 50 μg mouse heart lysate/extract
10% SDS-PAGE
Acylglycerol kinase antibody (GTX107413) dilution: 1:1000
The HRP-conjugated anti-rabbit IgG antibody (GTX213110-01) was used to detect the primary antibody.
Various whole cell extracts (30 μg) were separated by 10% SDS-PAGE, and the membrane was blotted with Acylglycerol kinase antibody (GTX107413) diluted at 1:500. The HRP-conjugated anti-rabbit IgG antibody (GTX213110-01) was used to detect the primary antibody.
Immunofluorescence analysis of methanol-fixed Hep3B, using Acylglycerol kinase(GTX107413) antibody at 1:500 dilution.
Acylglycerol kinase antibody detects Acylglycerol kinase protein at mitochondria on mouse liver by immunohistochemical analysis.
Sample: Paraffin-embedded mouse liver.
Acylglycerol kinase antibody (GTX107413) diluted at 1:500.
Antigen Retrieval: Trilogy™ (EDTA based, pH 8.0) buffer, 15min
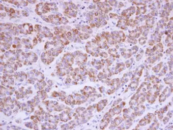
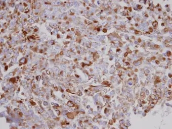
Acylglycerol kinase antibody detects Acylglycerol kinase protein at cytoplasm in human hepatocellular carcinoma by immunohistochemical analysis.
Sample: Paraffin-embedded human hepatocellular carcinoma.
Acylglycerol kinase antibody (GTX107413) diluted at 1:500.
Antigen Retrieval: Trilogy™ (EDTA based, pH 8.0) buffer, 15min
Acylglycerol kinase antibody detects Acylglycerol kinase protein at cytoplasm on mouse heart by immunohistochemical analysis.
Sample: Paraffin-embedded mouse heart.
Acylglycerol kinase antibody (GTX107413) diluted at 1:500.
Antigen Retrieval: Trilogy™ (EDTA based, pH 8.0) buffer, 15min
Immunohistochemical analysis of paraffin-embedded H1299 xenograft, using Acylglycerol kinase(GTX107413) antibody at 1:100 dilution.
Antigen Retrieval: Trilogy™ (EDTA based, pH 8.0) buffer, 15min
风险提示:丁香通仅作为第三方平台,为商家信息发布提供平台空间。用户咨询产品时请注意保护个人信息及财产安全,合理判断,谨慎选购商品,商家和用户对交易行为负责。对于医疗器械类产品,请先查证核实企业经营资质和医疗器械产品注册证情况。
文献和实验Huang S et al., J Cell Mol Med 2020 (PMID:32827244)
Mayr JA et al., Am J Hum Genet 2012 (PMID:22284826)
Antibody Techniques Used in the Study of Anaplastic Lymphoma Kinase-Positive ALCL
of leukemia and lymphoma pathology. The use of antibodies specific for anaplastic lymphoma kinase (ALK) protein has permitted the identification of the tumor entity ALK-positive from the poorly defined morphological category of anaplastic large cell lymphoma
PROTOCOL To 1.5 mL eppendorf tubes add: 200 µg of protein extract (see Western blot protocol for protein sample preps) q.s. to 300 µL with RIPA (with protease and phosphatase inhibitors). Primary antibody (amount determined
affinity) and the other is an IP kinase reaction. Substrate/Antibody, Lysate Interaction: 1. For GST c-Jun substrate interaction the quantity of protein on the beads is variable with the batch made (make fresh at least once a week). Generally
技术资料暂无技术资料 索取技术资料









![TUFM antibody [N3C3]](https://img1.dxycdn.com/2022/0328/647/3845975209134200453-14.jpg!wh200)

