相关产品推荐更多 >
万千商家帮你免费找货
0 人在求购买到急需产品
- 详细信息
- 文献和实验
- 技术资料
- 免疫原:
Recombinant protein encompassing a sequence within the center region of human Calsequestrin 2. The exact sequence is proprietary.
- 亚型:
IgG
- 形态:
Liquid
- 保存条件:
Store as concentrated solution. Centrifuge briefly prior to opening vial. For short-term storage (1-2 weeks), store at 4ºC. For long-term storage, aliquot and store at -20ºC or below. Avoid multiple freeze-thaw cycles.
- 克隆性:
Polyclonal
- 标记物:
Unconjugated
- 适应物种:
Human, Mouse
- 保质期:
12 months from the shipping date of the product.
- 抗原来源:
Human
- 目录编号:
GTX105914
- 级别:
Primary Antibodies
- 库存:
Available
- 供应商:
GeneTex
- 宿主:
Rabbit
- 应用范围:
WB, IHC-P
- 浓度:
0.68 mg/ml (Please refer to the vial label for the specific concentration.)
- 靶点:
Calsequestrin 2
- 抗体英文名:
Calsequestrin 2 antibody
- 抗体名:
Calsequestrin 2 抗体
- 规格:
100 μl/25 μl
| 规格: | 100 μl | 产品价格: | ¥4000.0 |
|---|---|---|---|
| 规格: | 25 μl | 产品价格: | ¥1700.0 |
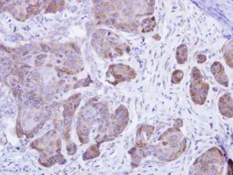
Immunohistochemical analysis of paraffin-embedded Cal27 xenograft , using Calsequestrin-2(GTX105914) antibody at 1:500 dilution.
Antigen Retrieval: Trilogy™ (EDTA based, pH 8.0) buffer, 15min
Calsequestrin-2 antibody detects Calsequestrin-2 protein at cytosol on mouse muscle by immunohistochemical analysis.
Sample: Paraffin-embedded mouse muscle.
Calsequestrin-2 antibody (GTX105914) dilution: 1:500.
Antigen Retrieval: Trilogy™ (EDTA based, pH 8.0) buffer, 15min
Calsequestrin 2 antibody detects Calsequestrin 2 protein by western blot analysis.
A. 30 μg HCT116 whole cell lysate/extract
10 % SDS-PAGE
Calsequestrin 2 antibody (GTX105914) dilution: 1:1000
风险提示:丁香通仅作为第三方平台,为商家信息发布提供平台空间。用户咨询产品时请注意保护个人信息及财产安全,合理判断,谨慎选购商品,商家和用户对交易行为负责。对于医疗器械类产品,请先查证核实企业经营资质和医疗器械产品注册证情况。
文献和实验Lee KY et al., Hum Mol Genet 2022 (PMID:35567413)
蛋白 calphotin|钙感光蛋白[感光细胞的一种钙结合蛋白] calprotectin|(肌)钙网蛋白[骨骼肌肌质网膜上的钙结合蛋白] calretinin|钙(视)网膜蛋白 calsequestrin|(肌)集钙蛋白 calspectin|钙影蛋白 calspermin|钙精蛋白[睾丸的一种钙调蛋白结合蛋白] caltractin|钙牵蛋白[一种与基粒相关的钙结合蛋白]
技术资料暂无技术资料 索取技术资料











