相关产品推荐更多 >
万千商家帮你免费找货
0 人在求购买到急需产品
- 详细信息
- 文献和实验
- 技术资料
- 免疫原:
Purified canine cardiac calsequestrin.
- 亚型:
IgG
- 形态:
Liquid
- 保存条件:
Store as concentrated solution. Centrifuge briefly prior to opening vial. For short-term storage (1-2 weeks), store at 4ºC. For long-term storage, aliquot and store at -20ºC or below. Avoid multiple freeze-thaw cycles.
- 克隆性:
Polyclonal
- 标记物:
Unconjugated
- 适应物种:
Human, Mouse, Rat, Rabbit, Sheep, Dog
- 保质期:
12 months from the shipping date of the product.
- 抗原来源:
Dog
- 目录编号:
GTX23516
- 级别:
Primary Antibodies
- 库存:
Available
- 供应商:
GeneTex
- 宿主:
Rabbit
- 应用范围:
WB, ICC/IF, IHC-P, IP, IHC
- 靶点:
This antibody recognizes both cardiac and skeletal muscle calsequestrin.
- 抗体英文名:
Calsequestrin antibody
- 抗体名:
Calsequestrin 抗体
- 规格:
100 μl
WB analysis of 25 ug of RD (Lane 1), L6 (Lane 2) and mouse heart (Lane 3) cell lysates using GTX23516 Calsequestrin antibody.
Dilution : 1:5000
IHC-P analysis of human skeletal muscle using GTX23516 Calsequestrin antibody.
Right : Primary antibody
Left : Negative control without primary antibody
Antigen retrieval : 10mM sodium citrate (pH 6.0) microwaved for 8-15 min
Dilution : 1:200
ICC/IF analysis of C2C12 cells using GTX23516 Calsequestrin antibody. Cells were probed without (left) or with(right) an antibody.
Green : Primary antibody
Blue : Nuclei
Red : Actin
Fixation : Formalin
Permeabilization : 0.1% Triton X-100 in TBS for 5-10 minute
Dilution : 1:100 incubated overnight at 4 ºC
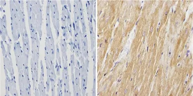
IHC-P analysis of human heart tissue using GTX23516 Calsequestrin antibody.
Right : Primary antibody
Left : Negative control without primary antibody
Antigen retrieval : 10mM sodium citrate (pH 6.0) microwaved for 8-15 min
Dilution : 1:200
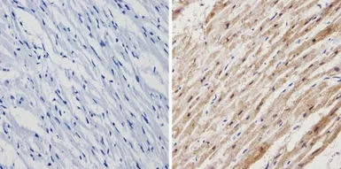
IHC-P analysis of mouse heart tissue using GTX23516 Calsequestrin antibody.
Right : Primary antibody
Left : Negative control without primary antibody
Antigen retrieval : 10mM sodium citrate (pH 6.0) microwaved for 8-15 min
Dilution : 1:200
风险提示:丁香通仅作为第三方平台,为商家信息发布提供平台空间。用户咨询产品时请注意保护个人信息及财产安全,合理判断,谨慎选购商品,商家和用户对交易行为负责。对于医疗器械类产品,请先查证核实企业经营资质和医疗器械产品注册证情况。
文献和实验存在于肌细胞网质体中的一种钙结合蛋白质。约占膜蛋白之10%,是分子量 4万 5千的酸性蛋白, 1分子可与 43个 Ca2 结合。 KD , Ca2 = 4μ M。在肌细胞网质体膜内腔松弛地结合而存在着,认为在从肌细胞质通过主动运输保持吸进 Ca2 的方面起作用。用低浓度的脱氧胆酸从兔骨骼肌细胞内质网中抽提出,是由 MeLennan等( 1971)首先提纯的。
Generation of Antibody Molecules Through Antibody Engineering
been overcome to a large extent using genetic-engineering techniques to produce chimeric mouse/human and completely human antibodies. Such an approach is particularly suitable because of the domain structure of the antibody molecule ( 2 ), where functional
The importance of antibody molecules was first recognized in the 1890s, when it was shown that immunity to tetanus and diphtheria was caused by antibodies against the bacterial exotoxins (1 ). Around the same time, it was shown that antisera
技术资料暂无技术资料 索取技术资料








