相关产品推荐更多 >
万千商家帮你免费找货
0 人在求购买到急需产品
- 详细信息
- 询价记录
- 文献和实验
- 技术资料
- 免疫原:
Phosphopeptide containing amino acid sequence RRP[pS]YRK, conjugated to KLH.
- 亚型:
IgG
- 形态:
Liquid
- 保存条件:
Store as concentrated solution. Centrifuge briefly prior to opening vial. For short-term storage (1-2 weeks), store at 4ºC. For long-term storage, aliquot and store at -20ºC or below. Avoid multiple freeze-thaw cycles.
- 克隆性:
Polyclonal
- 标记物:
Unconjugated
- 适应物种:
Human, Mouse
- 保质期:
12 months from the shipping date of the product.
- 抗原来源:
Human
- 目录编号:
GTX10564
- 级别:
Primary Antibodies
- 库存:
Available
- 供应商:
GeneTex
- 宿主:
Rabbit
- 应用范围:
WB, ICC/IF, ChIP assay
- 浓度:
Batch dependent (Please refer to the vial label for the specific concentration.)
- 靶点:
CREB (phospho Ser129/Ser133)
- 抗体英文名:
CREB (phospho Ser129/Ser133) antibody
- 抗体名:
CREB (phospho Ser129/Ser133) 抗体
- 规格:
50 μl
ICC/IF analysis of HeLa cells using GTX10564 CREB (phospho Ser129/Ser133) antibody. Panel e is a no primary antibody control.
Green : Primary antibody
Blue : Nuclei
Red : Actin
Fixation : 4% PFA
Permeabilization : 0.25% Trito X-100 for 10 minutes
Dilution : 1:400 for 30 minutes at room temperature
ChIP analysis of 2 million HeLa cells treated with 50ng/ml of TNF alpha for one hour using GTX10564 CREB (phospho Ser129/Ser133) antibody. Normal Rabbit IgG was used as a negative IP control. The precipitated DNA was detected by PCR with primer set targeting to the promoter of I-kB, YWHAZ gene as positive control target and the inactive GAPDH used as negative control target.
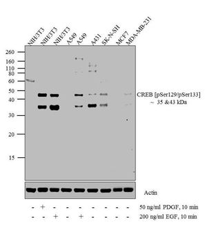
WB analysis of 20 μg of NIH/3T3 untreated (lane 1), treated for 10 minutes with 50 ng/ml of PDGF (lane 2), treated for 10 minutes with 200 ng/ml of EGF (lane 3), A549 untreated (lane 4), treated for 10 minutes with 200 ng/ml of EGF (lane 5), A431 (lane 6), SK-N-SH (lane 7), MCF7 (lane 8) and MDA-MB-231 (lane 9) cell lysate using GTX10564 CREB (phospho Ser129/Ser133) antibody.
Dilution : 1:1000
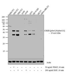
WB (peptide competition) analysis of NIH3T3 cells treated with 50ng/mL PDGF for 15 minutes (Lane 2-6) using GTX10564 CREB (phospho Ser129/Ser133) antibody prior incubated with the non-phosphopeptide corresponding to the phosphopeptide immunogen (Lane 3), a generic phosphoserine-containing peptide (Lane 4), or the phosphopeptide immunogen (Lane 5) control. The data show that only the immunogen phosphopeptide blocks the signal, demonstrating the specificity of the antibody. The membrane treated with lambda phosphatase (Lane 6) eliminates the signal further verifying that the antibody is phospho-specific.
风险提示:丁香通仅作为第三方平台,为商家信息发布提供平台空间。用户咨询产品时请注意保护个人信息及财产安全,合理判断,谨慎选购商品,商家和用户对交易行为负责。对于医疗器械类产品,请先查证核实企业经营资质和医疗器械产品注册证情况。
- 作者
- 内容
- 询问日期
文献和实验Using Phospho‐Motif Antibodies to Determine Kinase Substrates
comprising both the phosphorylated residue and the surrounding residues that determine kinase specificity, with degenerate residues taking up the remaining positions. Currently, several categories of phospho?motif antibody are commercially available
antibody. For antiphosphoCREB (IgG, 0.7 mg/ml), I use 1:5,000 - 1:20,000 dilution in 4% BSA in TBST. This should be titrated for optimal results. I incubate with primary Ab 3 hours - overnight at room temp with shaking.10. Remove the antibody solution
Optimized Protocol to Make Phospho-Specific Antibodies that Work
, not simply its level of expression. In this review, we will discuss both the design of the phosphopeptide immunogen and immunization. The affinity purification of the phospho-specific antibody as well as the methods most suitable for characterizing
技术资料暂无技术资料 索取技术资料






![BDH1 antibody [1A5]](https://img1.dxycdn.com/2022/0328/628/1112599899857500453-14.jpg!wh200)


![Desmin antibody [DES/1711]](https://img1.dxycdn.com/2022/0328/632/7409708795130700453-14.jpg!wh200)

