相关产品推荐更多 >
万千商家帮你免费找货
0 人在求购买到急需产品
- 详细信息
- 文献和实验
- 技术资料
- 免疫原:
Recombinant protein encompassing a sequence within the center region of human NFIX. The exact sequence is proprietary.
- 亚型:
IgG
- 形态:
Liquid
- 保存条件:
Store as concentrated solution. Centrifuge briefly prior to opening vial. For short-term storage (1-2 weeks), store at 4ºC. For long-term storage, aliquot and store at -20ºC or below. Avoid multiple freeze-thaw cycles.
- 克隆性:
Monoclonal
- 标记物:
Unconjugated
- 适应物种:
Mouse, Rat
- 保质期:
12 months from the shipping date of the product.
- 抗原来源:
Human
- 目录编号:
GTX636671
- 级别:
Primary Antibodies
- 库存:
Available
- 供应商:
GeneTex
- 宿主:
Rabbit
- 应用范围:
ICC/IF, IHC-P
- 浓度:
1 mg/ml (Please refer to the vial label for the specific concentration.)
- 靶点:
NFIX
- 抗体英文名:
NFIX antibody [HL1269]
- 抗体名:
NFIX 抗体 [HL1269]
- 规格:
100 μl/25 μl
| 规格: | 100 μl | 产品价格: | ¥4000.0 |
|---|---|---|---|
| 规格: | 25 μl | 产品价格: | ¥1700.0 |
NFIX antibody [HL1269] detects NFIX protein at nucleus by immunofluorescent analysis.
Sample: DIV10 rat E18 primary hippocampal neuron and glia cells were fixed in 4% PFA at RT for 15 min.
Green: NFIX stained by NFIX antibody [HL1269] (GTX636671) diluted at 1:250.
Red: Tau, a cytoskeleton marker, stained by Tau antibody [GT287] (GTX634809) diluted at 1:500.
NFIX antibody [HL1269] detects NFIX protein by immunohistochemical analysis.
Sample: Paraffin-embedded mouse tissue.
NFIX stained by NFIX antibody [HL1269] (GTX636671) diluted at 1:100.
Antigen Retrieval: Citrate buffer, pH 6.0, 15 min
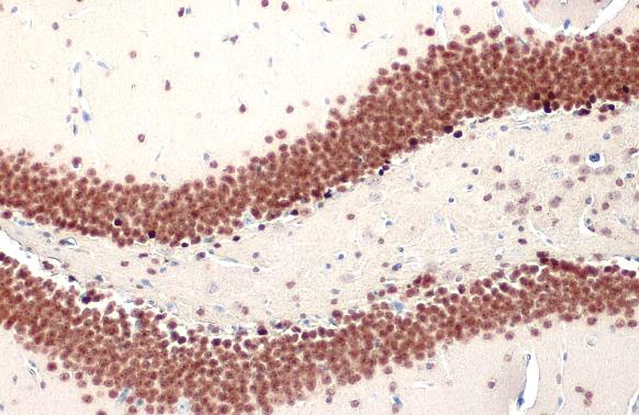
NFIX antibody [HL1269] detects NFIX protein at nucleus by immunohistochemical analysis.
Sample: Paraffin-embedded mouse brain.
NFIX stained by NFIX antibody [HL1269] (GTX636671) diluted at 1:100.
Antigen Retrieval: Citrate buffer, pH 6.0, 15 min
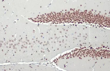
NFIX antibody [HL1269] detects NFIX protein at nucleus by immunohistochemical analysis.
Sample: Paraffin-embedded mouse brain.
NFIX stained by NFIX antibody [HL1269] (GTX636671) diluted at 1:100.
Antigen Retrieval: Citrate buffer, pH 6.0, 15 min
NFIX antibody [HL1269] detects NFIX protein at nucleus by immunohistochemical analysis.
Sample: Paraffin-embedded rat brain.
NFIX stained by NFIX antibody [HL1269] (GTX636671) diluted at 1:100.
Antigen Retrieval: Citrate buffer, pH 6.0, 15 min
风险提示:丁香通仅作为第三方平台,为商家信息发布提供平台空间。用户咨询产品时请注意保护个人信息及财产安全,合理判断,谨慎选购商品,商家和用户对交易行为负责。对于医疗器械类产品,请先查证核实企业经营资质和医疗器械产品注册证情况。
文献和实验Lightning-Link 30 seconds hands on Very Easy to use 100% Antibody Recovery No separation steps Little antibody needed Easy to Scale Up Over 40 available labels http://www.youtube.com/v/w0XmU
在于遗传背景稳定,操作方便且经济。RA 模型大致可分为诱导型和转基因型两大类,本文将针对这两大类模型进行总结和比较,以便广大学者为自己的研究选择合适的 RA 模型。 一、诱导型类风湿关节炎模型 目前,最常见的诱导型类风湿关节炎模型包括佐剂诱导关节炎(Adjuvant arthritis,AA)、胶原诱导的关节炎(Collagen-induced Arthritis, CIA)、胶原抗体诱导的关节炎(Collagen antibody-induced Arthritis, CAIA)以及其他的药物
Th17 Polarization of Mouse CD4 Cells
-dibutyrate)[Details: Sigma, cat.#P1269] FICZ (6-formylindolo[3,2-b]carbazole)[Details: Life Sciences, cat. #BML-GR206-0100] 实验步骤 1. Isolation of CD4 cells from lymph nodes 1) Harvest lymph nodes (superfical cervical
技术资料暂无技术资料 索取技术资料





![IL5 antibody [39D10] (Biotin)](https://img1.dxycdn.com/2022/0328/434/9857894175065500453-14.jpg!wh200)

![NKX2.1 antibody [8G7G3/1] (ready-to-use)](https://img1.dxycdn.com/2022/0328/988/6689164044334500453-14.jpg!wh200)


