相关产品推荐更多 >
万千商家帮你免费找货
0 人在求购买到急需产品
- 详细信息
- 文献和实验
- 技术资料
- 免疫原:
Recombinant protein encompassing a sequence within the center region of human GRP94. The exact sequence is proprietary.
- 亚型:
IgG
- 形态:
Liquid
- 保存条件:
Store as concentrated solution. Centrifuge briefly prior to opening vial. For short-term storage (1-2 weeks), store at 4ºC. For long-term storage, aliquot and store at -20ºC or below. Avoid multiple freeze-thaw cycles.
- 克隆性:
Polyclonal
- 标记物:
Unconjugated
- 适应物种:
Human, Mouse
- 保质期:
12 months from the shipping date of the product.
- 抗原来源:
Human
- 目录编号:
GTX103203
- 级别:
Primary Antibodies
- 库存:
Available
- 供应商:
GeneTex
- 宿主:
Rabbit
- 应用范围:
WB, ICC/IF, IHC-P, IP
- 浓度:
0.95 mg/ml (Please refer to the vial label for the specific concentration.)
- 靶点:
GRP94
- 抗体英文名:
GRP94 antibody [N1N3]
- 抗体名:
GRP94 抗体 [N1N3]
- 规格:
100 μl/25 μl
| 规格: | 100 μl | 产品价格: | ¥4000.0 |
|---|---|---|---|
| 规格: | 25 μl | 产品价格: | ¥1700.0 |
Wild-type (WT) and GRP94 knockout (KO) 293T cell extracts (30 μg) were separated by 7.5% SDS-PAGE, and the membrane was blotted with GRP94 antibody [N1N3] (GTX103203) diluted at 1:2000. The HRP-conjugated anti-rabbit IgG antibody (GTX213110-01) was used to detect the primary antibody.
Immunoprecipitation of GRP94 protein from HeLa whole cell extracts using 5 μg of GRP94 antibody [N1N3] (GTX103203).
Western blot analysis was performed using GRP94 antibody [N1N3] (GTX103203).
EasyBlot anti-Rabbit IgG (GTX221666-01) was used as a secondary reagent.
GRP94 antibody [N1N3] detects GRP94 protein at cytoplasm by immunofluorescent analysis.
Sample: HeLa cells were fixed in 4% PFA at RT for 15 min.
Green: GRP94 protein stained by GRP94 antibody [N1N3] (GTX103203) diluted at 1:500.
Blue: Hoechst 33342 staining.
Sample (30 ug of whole cell lysate)
A: H1299
B: Hela S3
7.5% SDS PAGE
GTX103203 diluted at 1:1000
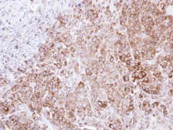
Immunohistochemical analysis of paraffin-embedded SCM-1 xenograft , using HSP90B(GTX103203) antibody at 1:500 dilution.
Antigen Retrieval: Citrate buffer, pH 6.0, 15 min
Sample (30 ug of whole cell lysate)
A: NIH-3T3
7.5% SDS PAGE
GTX103203 diluted at 1:5000
风险提示:丁香通仅作为第三方平台,为商家信息发布提供平台空间。用户咨询产品时请注意保护个人信息及财产安全,合理判断,谨慎选购商品,商家和用户对交易行为负责。对于医疗器械类产品,请先查证核实企业经营资质和医疗器械产品注册证情况。
文献和实验Chiang-Wen Lee et al., Molecules 2022 (PMID:35056691)
Arlt A et al., Orphanet J Rare Dis 2022 (PMID:35101074)
Lee CW et al., Molecules 2022;27(2)
Ram?rez-Peinado S et al., J Cell Sci 2017 (PMID:28536105)
Gatz C et al., Front Neurol 2019 (PMID:31258504)
Krishnan S et al., Virulence 2015 (PMID:26407066)
Plate L et al., Elife 2016 (PMID:27435961)
Cooley CB et al., Proc Natl Acad Sci U S A 2014 (PMID:25157167)
In the field of therapeutic recombinant proteins, monoclonal antibodies (mAbs) have achieved a rising success with more than 30 mAbs that have reached the market in the past 20 years. From a structural standpoint, one of the most important
Materials 0.1M NaHC03 pH9 DMSO NHS-Biotin (N-Hydroxysuccinimidobiotin, Sigma #H-1759) PBS Procedure Dialyze the sample against carbonate buffer. After dialysis, adjust
Monoclonal Antibody Production Protocol
the rinse twice. Add 100 ul of blocking solution to every well, leave 1 hr at room Temp or O.N at 4°C. PRIMARY ANTIBODY Add the antibody to be tested: Sup of cells = 25 ul, mix well by pipetting up and down (10 times).serum, ascites = 1:100 and a series
技术资料暂无技术资料 索取技术资料






![Respiratory Syncytial virus type A G protein antibody [HL2354]](https://custom.dxycdn.com/trademd/upload/pic/2013/11/12/A1383891150.jpg!small.t.1)

![beta Tubulin I antibody [5G3] (HRP)](https://img1.dxycdn.com/2022/0328/041/8738960259369600453-14.jpg!wh200)
![ELAVL1 / HuR antibody [GT1182]](https://img1.dxycdn.com/2022/0328/686/2037658824946700453-14.jpg!wh200)

