相关产品推荐更多 >
万千商家帮你免费找货
0 人在求购买到急需产品
- 详细信息
- 文献和实验
- 技术资料
- 免疫原:
A synthesized peptide derived from human CD168/RHAMM/RHAMM.
- 亚型:
IgG
- 形态:
Liquid
- 保存条件:
Store as concentrated solution. Centrifuge briefly prior to opening vial. For short-term storage (1-2 weeks), store at 4ºC. For long-term storage, aliquot and store at -20ºC or below. Avoid multiple freeze-thaw cycles.
- 克隆性:
Monoclonal
- 标记物:
Unconjugated
- 适应物种:
Human, Mouse
- 保质期:
12 months from the shipping date of the product.
- 抗原来源:
Human
- 目录编号:
GTX03261
- 级别:
Primary Antibodies
- 库存:
Available
- 供应商:
GeneTex
- 宿主:
Rabbit
- 应用范围:
WB, IHC-P
- 浓度:
Batch dependent (Please refer to the vial label for the specific concentration.)
- 靶点:
CD168 / RHAMM
- 抗体英文名:
CD168 / RHAMM antibody [GT1346]
- 抗体名:
CD168 / RHAMM 抗体 [GT1346]
- 规格:
100 μl
WB analysis of normal (control) and CD168 / RHAMM knockout (KO) HeLa cell lysates using GTX03261 CD168 / RHAMM antibody [GT1346].
Dilution : 1:500
Loading : 25μg per lane
WB analysis of K562 cell lysate using GTX03261 CD168 / RHAMM antibody [GT1346].
Dilution : 1:500
Loading : 25μg per lane
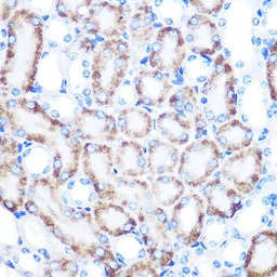
IHC-P analysis of mouse kidney tissue using GTX03261 CD168 / RHAMM antibody [GT1346].
Dilution : 1:100
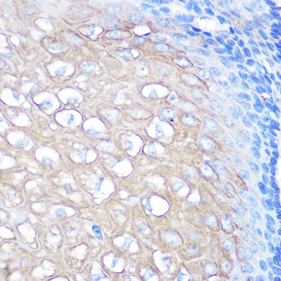
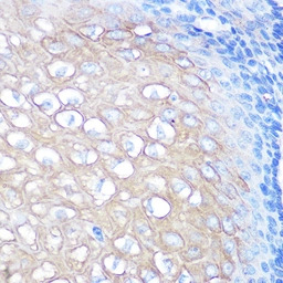
IHC-P analysis of human esophageal tissue using GTX03261 CD168 / RHAMM antibody [GT1346].
Dilution : 1:100
风险提示:丁香通仅作为第三方平台,为商家信息发布提供平台空间。用户咨询产品时请注意保护个人信息及财产安全,合理判断,谨慎选购商品,商家和用户对交易行为负责。对于医疗器械类产品,请先查证核实企业经营资质和医疗器械产品注册证情况。
文献和实验Southern Blotting(Fred Hutchinson Cancer Research Cente
with Blot Wash #1: 2 x 5' at room temp (RT). 3. Wash with Blot Wash #2: 2 x 15' at 55℃. 4. Wash with Buffer 1: briefly (1') at RT. 5. (Optional; see above) Block with Buffer 2: 30' (O/N okay) Save and store at 4℃. 6. Incubate with antibody-conjugate
Phage‐Based Expression Cloning to Identify Interacting Proteins
the interacting protein. This technique leads directly to the isolation of a cDNA encoding the interacting protein, bypassing the need for labor?intensive protein purification, microsequencing, or antibody production.
( min X….Mouse, Rat Sr Prot )。 以下是圆括号中所使用的一些简称: Bov = Bovine Ck = Chicken Gt = Goat GP = Guinea Pig Sy Hms = Syrian Hamster Hrs = Horse Hu = Human Ms = Mouse Rb = Rabbit Shp
技术资料暂无技术资料 索取技术资料






![GSK3 beta antibody [4D2]](https://img1.dxycdn.com/2022/0328/885/5850570083798600453-14.jpg!wh200)




