相关产品推荐更多 >
万千商家帮你免费找货
0 人在求购买到急需产品
- 详细信息
- 文献和实验
- 技术资料
- 免疫原:
Recombinant protein encompassing a sequence within the center region of human NRF1. The exact sequence is proprietary.
- 亚型:
IgG
- 形态:
Liquid
- 保存条件:
Store as concentrated solution. Centrifuge briefly prior to opening vial. For short-term storage (1-2 weeks), store at 4ºC. For long-term storage, aliquot and store at -20ºC or below. Avoid multiple freeze-thaw cycles.
- 克隆性:
Polyclonal
- 标记物:
Unconjugated
- 适应物种:
Human, Mouse, Rat
- 保质期:
12 months from the shipping date of the product.
- 抗原来源:
Human
- 目录编号:
GTX103179
- 级别:
Primary Antibodies
- 库存:
Available
- 供应商:
GeneTex
- 宿主:
Rabbit
- 应用范围:
WB, ICC/IF, IHC-P, IP
- 浓度:
1.32 mg/ml (Please refer to the vial label for the specific concentration.)
- 靶点:
NRF1
- 抗体英文名:
NRF1 antibody
- 抗体名:
NRF1 抗体
- 规格:
100 μl/25 μl
| 规格: | 100 μl | 产品价格: | ¥4000.0 |
|---|---|---|---|
| 规格: | 25 μl | 产品价格: | ¥1700.0 |
NRF1 antibody immunoprecipitates NRF1 protein in IP experiments.
IP samples: 293T whole cell extract
A. Control with 4 μg of preimmune Rabbit IgG
B. Immunoprecipitation of NRF1 protein by 4 μg NRF1 antibody (GTX103179)
10 % SDS-PAGE
The immunoprecipitated NRF1 protein was detected by NRF1 antibody (GTX103179) diluted at 1:1000.
[EasyBlot anti-rabbit IgG (GTX221666-01) was used as a secondary reagent]
NRF1 antibody detects NRF1 protein at nucleus by immunofluorescent analysis.
Sample: HeLa cells were fixed in 4% PFA at RT for 15 min.
Green: NRF1 stained by NRF1 antibody (GTX103179) diluted at 1:500.
Red: alpha Tubulin, a cytoskeleton marker, stained by alpha Tubulin antibody [GT114] (GTX628802) diluted at 1:1000.
Scale bar= 10μm.
NRF1 antibody detects NRF1 protein by western blot analysis.
A. 30 μg 293T whole cell lysate/extract
B. 30 μg 293T nuclear lysate/extract
C. 30 μg A431 whole cell lysate/extract |
D. 30 μg A431 nuclear lysate/extract
E. 30 μg HeLa whole cell lysate/extract
F. 30 μg HeLa nuclear lysate/extract
G. 30 μg HepG2 whole cell lysate/extract
H. 30 μg HepG2 nuclear lysate/extract
10 % SDS-PAGE
NRF1 antibody (GTX103179) dilution: 1:1000
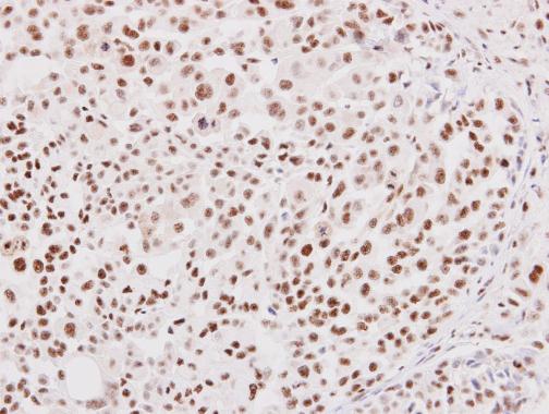
NRF1 antibody detects NRF1 protein at nucleus on human lung adenocarcinoma by immunohistochemical analysis.
Sample: Paraffin-embedded human lung adenocarcinoma.
NRF1 antibody (GTX103179) diluted at 1:250.
Antigen Retrieval: Trilogy™ (EDTA based, pH 8.0) buffer, 15min
NRF1 antibody detects NRF1 protein at nucleus by immunohistochemical analysis.
Sample: Paraffin-embedded mouse intestine.
NRF1 stained by NRF1 antibody (GTX103179) diluted at 1:500.
Antigen Retrieval: Citrate buffer, pH 6.0, 15 min
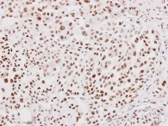
NRF1 antibody detects NRF1 protein at nucleus on mouse colon by immunohistochemical analysis.
Sample: Paraffin-embedded mouse colon.
NRF1 antibody (GTX103179) dilution: 1:500.
Antigen Retrieval: Trilogy™ (EDTA based, pH 8.0) buffer, 15min
NRF1 antibody detects NRF1 protein at nucleus on mouse colon by immunohistochemical analysis.
Sample: Paraffin-embedded mouse colon.
NRF1 antibody (GTX103179) dilution: 1:500.
Antigen Retrieval: Trilogy™ (EDTA based, pH 8.0) buffer, 15min
风险提示:丁香通仅作为第三方平台,为商家信息发布提供平台空间。用户咨询产品时请注意保护个人信息及财产安全,合理判断,谨慎选购商品,商家和用户对交易行为负责。对于医疗器械类产品,请先查证核实企业经营资质和医疗器械产品注册证情况。
文献和实验Lee CT et al., J Steroid Biochem Mol Biol 2018 (PMID:30194976)
Zhang Y et al., Am J Physiol Regul Integr Comp Physiol 2017 (PMID:28931544)
Chen YH et al., PLoS One 2014 (PMID:24475013)
Chen YH et al., PLoS One 2016 (PMID:27124120)
Chiang MC et al., Exp Cell Res 2015 (PMID:26362846)
Mesquita PHC et al., bioRxiv 2023 (PMID:37066356)
Mesquita PHC et al., Physiol Rep 2022 (PMID:36543327)
Jia-Wei Chen et al., Front Cell Neurosci 2022 (PMID:35210991)
Mesquita PHC et al., Physiol Rep 2020 (PMID:32748504)
Ma B et al., Nat Commun 2019 (PMID:30833558)
Liu XM et al., Am J Physiol Heart Circ Physiol 2013 (PMID:23604711)
Generation of Antibody Molecules Through Antibody Engineering
been overcome to a large extent using genetic-engineering techniques to produce chimeric mouse/human and completely human antibodies. Such an approach is particularly suitable because of the domain structure of the antibody molecule ( 2 ), where functional
The importance of antibody molecules was first recognized in the 1890s, when it was shown that immunity to tetanus and diphtheria was caused by antibodies against the bacterial exotoxins (1 ). Around the same time, it was shown that antisera
General comments: Antibodies, like most proteins, do not like to be freeze-thawed. Avoid repetitive freezing of your solution. The best way to store your antibody is to keep a high protein concentration (>1 mg/ml), add some protease
技术资料暂无技术资料 索取技术资料










