相关产品推荐更多 >
万千商家帮你免费找货
0 人在求购买到急需产品
- 详细信息
- 文献和实验
- 技术资料
- 免疫原:
Nuclear matrix extract from MDCK cells.
- 亚型:
IgG1
- 形态:
Liquid
- 保存条件:
Store as concentrated solution. Centrifuge briefly prior to opening vial. For short-term storage (1-2 weeks), store at 4ºC. For long-term storage, aliquot and store at -20ºC or below. Avoid multiple freeze-thaw cycles.
- 克隆性:
Monoclonal
- 标记物:
Unconjugated
- 适应物种:
Human
- 保质期:
12 months from the shipping date of the product.
- 抗原来源:
Human
- 目录编号:
GTX14966
- 级别:
Primary Antibodies
- 库存:
Available
- 供应商:
GeneTex
- 宿主:
Mouse
- 应用范围:
WB, ICC/IF, IP, ELISA
- 靶点:
We do not recommend use of this product for Mouse,Rat.
- 抗体英文名:
Nucleolin antibody [4i51]
- 抗体名:
Nucleolin 抗体 [4i51]
- 规格:
25 μl
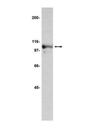
WB analysis of HeLa nuclear extract using GTX14966 Nucleolin antibody [4i51].
Dilution : 1:5000
风险提示:丁香通仅作为第三方平台,为商家信息发布提供平台空间。用户咨询产品时请注意保护个人信息及财产安全,合理判断,谨慎选购商品,商家和用户对交易行为负责。对于医疗器械类产品,请先查证核实企业经营资质和医疗器械产品注册证情况。
文献和实验spreading, we developed a method engaging integrin signaling by use of an immobilized anti-integrin monoclonal antibody (mab) directed against the fibronectin (FN) receptor integrin α5β1. ECV 304 cells were plated onto FN or immobilized mab JBS5 (anti
HIV-1-Specific Antibody-Dependent Cellular Cytotoxicity (ADCC)
-1-infected cells thereby decreasing viral load (1 –5 ) . The effector cells for ADCC are natural killer (NK) cells, that mediate lysis in a non-MHC restricted fashion. NK cells expressing CD16+ low affinity Fc-receptors bind to antibody which specifically
ELISA Procedure for Measuring Serum Antibody Titer
Immunoassays are a powerful technique for detecting and measuring antigens and antibodies. Immunoassays can be classified three ways based on the steps involved: antibody capture antigen capture two-antibody sandwich Many types of immunoassays
技术资料暂无技术资料 索取技术资料





![Neurotrophin 4 antibody [31A1]](https://img1.dxycdn.com/2022/0328/938/0795621945689400453-14.jpg!wh200)





