相关产品推荐更多 >
万千商家帮你免费找货
0 人在求购买到急需产品
- 详细信息
- 文献和实验
- 技术资料
- 免疫原:
Recombinant protein encompassing a sequence within the C-terminus region of human alpha Glucosidase II. The exact sequence is proprietary.
- 亚型:
IgG
- 形态:
Liquid
- 保存条件:
Store as concentrated solution. Centrifuge briefly prior to opening vial. For short-term storage (1-2 weeks), store at 4ºC. For long-term storage, aliquot and store at -20ºC or below. Avoid multiple freeze-thaw cycles.
- 克隆性:
Polyclonal
- 标记物:
Unconjugated
- 适应物种:
Human
- 保质期:
12 months from the shipping date of the product.
- 抗原来源:
Human
- 目录编号:
GTX102205
- 级别:
Primary Antibodies
- 库存:
Available
- 供应商:
GeneTex
- 宿主:
Rabbit
- 应用范围:
WB, IHC-P
- 浓度:
1.03 mg/ml (Please refer to the vial label for the specific concentration.)
- 靶点:
alpha Glucosidase II
- 抗体英文名:
alpha Glucosidase II antibody [C2C3], C-term
- 抗体名:
alpha Glucosidase II 抗体 [C2C3], C-term
- 规格:
100 μl/25 μl
| 规格: | 100 μl | 产品价格: | ¥4000.0 |
|---|---|---|---|
| 规格: | 25 μl | 产品价格: | ¥1700.0 |
Wild-type (WT) and alpha Glucosidase II knockout (KO) HeLa cell extracts (30 μg) were separated by 7.5% SDS-PAGE, and the membrane was blotted with alpha Glucosidase II antibody [C2C3], C-term (GTX102205) diluted at 1:500. The HRP-conjugated anti-rabbit IgG antibody (GTX213110-01) was used to detect the primary antibody.
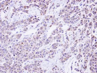
Immunohistochemical analysis of paraffin-embedded SG xenograft , using alpha Glucosidase II(GTX102205) antibody at 1:500 dilution.
Antigen Retrieval: Citrate buffer, pH 6.0, 15 min
Sample (30 ug of whole cell lysate)
A: Hela
B: Molt-4 (GTX27912)
7.5% SDS PAGE
GTX102205 diluted at 1:1000
风险提示:丁香通仅作为第三方平台,为商家信息发布提供平台空间。用户咨询产品时请注意保护个人信息及财产安全,合理判断,谨慎选购商品,商家和用户对交易行为负责。对于医疗器械类产品,请先查证核实企业经营资质和医疗器械产品注册证情况。
文献和实验In situ hybridisation to alpha satellite sequences (chromosome specific)
Alpha satellite sequences, whilst highly repetitive, are specific to each individual chromosome. These sequences flank the centromeres and can present a target measured in megabases. In this protocol a biotin or digoxigenin labelled DNA
from OMIM List of mutation databases from IMT (Finland) ADB - Albinism db (Mutations in human genes causing albinism) Alpha-glucosidase - Information about human acid alpha-glucosidase (GSD-II) AR mutations - Human androgen receptor
in detail here. The first protocol is essentially a dual-pulldown assay employing Flag-tagged DNMT3A or antibody of choice for an endogenous protein and 5' biotin linked antisense RNA (Figure 1a), while the second protocol is a triple pulldown assay which essentially expands
技术资料暂无技术资料 索取技术资料









![MMP1 antibody [GT2649]](https://img1.dxycdn.com/2022/0329/053/4987375173587020453-14.jpg!wh200)

