相关产品推荐更多 >
万千商家帮你免费找货
0 人在求购买到急需产品
- 详细信息
- 技术资料
- 免疫原:
Recombinant protein encompassing a sequence within the center region of human PGP9.5. The exact sequence is proprietary.
- 亚型:
IgG
- 形态:
Liquid
- 保存条件:
Store as concentrated solution. Centrifuge briefly prior to opening vial. For short-term storage (1-2 weeks), store at 4ºC. For long-term storage, aliquot and store at -20ºC or below. Avoid multiple freeze-thaw cycles.
- 克隆性:
Polyclonal
- 标记物:
Unconjugated
- 适应物种:
Human, Mouse, Rat
- 保质期:
12 months from the shipping date of the product.
- 抗原来源:
Human
- 目录编号:
GTX101093
- 级别:
Primary Antibodies
- 库存:
Available
- 供应商:
GeneTex
- 宿主:
Rabbit
- 应用范围:
WB, IHC-P, IHC-Fr
- 浓度:
0.56 mg/ml (Please refer to the vial label for the specific concentration.)
- 靶点:
PGP9.5
- 抗体英文名:
PGP9.5 antibody
- 抗体名:
PGP9.5 抗体
- 规格:
100 μl/25 μl
| 规格: | 100 μl | 产品价格: | ¥4000.0 |
|---|---|---|---|
| 规格: | 25 μl | 产品价格: | ¥1700.0 |
Rat tissue extract (50 μg) was separated by 12% SDS-PAGE, and the membrane was blotted with PGP9.5 antibody (GTX101093) diluted at 1:1000.
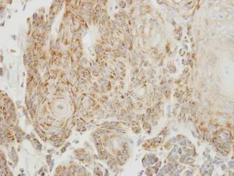
Immunohistochemical analysis of paraffin-embedded human oral cancer, using PGP9.5(GTX101093) antibody at 1:100 dilution.
Antigen Retrieval: Trilogy™ (EDTA based, pH 8.0) buffer, 15min
Sample (50 ug of whole cell lysate)
A: Mouse brain
12% SDS PAGE
GTX101093 diluted at 1:1000
Whole cell extract (30 μg) was separated by 12% SDS-PAGE, and the membrane was blotted with PGP9.5 antibody (GTX101093) diluted at 1:1000. The HRP-conjugated anti-rabbit IgG antibody (GTX213110-01) was used to detect the primary antibody.
PGP9.5 antibody detects PGP9.5 protein expression by immunohistochemical analysis.
Sample: Frozen sectioned E13.5 Rat brain.
Green: PGP9.5 protein stained by PGP9.5 antibody (GTX101093) diluted at 1:250.
Red: beta Tubulin 3/ TUJ1, a mature neuron marker, stained by beta Tubulin 3/ TUJ1 antibody [GT11710] (GTX631836) diluted at 1:500.
Blue: Fluoroshield with DAPI (GTX30920).
风险提示:丁香通仅作为第三方平台,为商家信息发布提供平台空间。用户咨询产品时请注意保护个人信息及财产安全,合理判断,谨慎选购商品,商家和用户对交易行为负责。对于医疗器械类产品,请先查证核实企业经营资质和医疗器械产品注册证情况。
技术资料暂无技术资料 索取技术资料







![nm23-H1 antibody [4B2]](https://img1.dxycdn.com/2022/0328/543/6762102797467500453-14.jpg!wh200)


