相关产品推荐更多 >
万千商家帮你免费找货
0 人在求购买到急需产品
- 详细信息
- 文献和实验
- 技术资料
- 免疫原:
Recombinant protein encompassing a sequence within the C-terminus region of human Ribosome binding protein 1. The exact sequence is proprietary.
- 亚型:
IgG
- 形态:
Liquid
- 保存条件:
Store as concentrated solution. Centrifuge briefly prior to opening vial. For short-term storage (1-2 weeks), store at 4ºC. For long-term storage, aliquot and store at -20ºC or below. Avoid multiple freeze-thaw cycles.
- 克隆性:
Polyclonal
- 标记物:
Unconjugated
- 适应物种:
Human, Mouse
- 保质期:
12 months from the shipping date of the product.
- 抗原来源:
Human
- 目录编号:
GTX101844
- 级别:
Primary Antibodies
- 库存:
Available
- 供应商:
GeneTex
- 宿主:
Rabbit
- 应用范围:
WB, ICC/IF, IHC-P
- 浓度:
1 mg/ml (Please refer to the vial label for the specific concentration.)
- 靶点:
Ribosome binding protein 1
- 抗体英文名:
Ribosome binding protein 1 antibody [C3], C-term
- 抗体名:
Ribosome binding protein 1 抗体 [C3], C-term
- 规格:
100 μl/25 μl
| 规格: | 100 μl | 产品价格: | ¥4000.0 |
|---|---|---|---|
| 规格: | 25 μl | 产品价格: | ¥1700.0 |
Ribosome binding protein 1 antibody validation by siRNA knock-down.
Upperpanel: Ribosome binding protein 1 antibody GTX101844
Lower panel: Vinculin antibody (GTX109749)
A. 30 μg HepG2 whole cell lysate/extract
B. 30 μg whole cell lysate/extract of RRBP1 siRNA#1-transfected HepG2 cells
C. 30 μg whole cell lysate/extract of RRBP1 siRNA#2-transfected HepG2 cells
5% SDS-PAGE
Ribosome binding protein 1 antibody (GTX101844) dilution: 1:500
Vinculin antibody (GTX109749) dilution: 1:1000
The HRP-conjugated anti-rabbit IgG antibody (GTX213110-01) was used to detect the primary antibody.
Confocal immunofluorescence analysis (Olympus FV10i) of methanol-fixed HeLa, using Ribosome binding protein 1(GTX101844) antibody (Green) at 1:500 dilution. Alpha-tubulin filaments were labeled with GTX11304 (Red) at 1:2500.
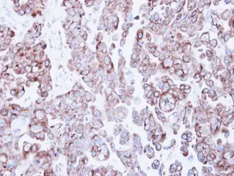
Immunohistochemical analysis of paraffin-embedded OVCAR3 xenograft, using Ribosome binding protein 1(GTX101844) antibody at 1:500 dilution.
Antigen Retrieval: Trilogy™ (EDTA based, pH 8.0) buffer, 15min
Confocal immunofluorescence analysis (Olympus FV10i) of PFA-fixed HeLa, using Ribosome binding protein 1(GTX101844) antibody (Green) at 1:500 dilution. Alpha-tubulin filaments were labeled with GTX11304 (Red) at 1:500.
Sample (30 μg of whole cell lysate)
A:NIH-3T3
5% SDS PAGE
GTX101844 diluted at 1:1000
The HRP-conjugated anti-rabbit IgG antibody (GTX213110-01) was used to detect the primary antibody.
风险提示:丁香通仅作为第三方平台,为商家信息发布提供平台空间。用户咨询产品时请注意保护个人信息及财产安全,合理判断,谨慎选购商品,商家和用户对交易行为负责。对于医疗器械类产品,请先查证核实企业经营资质和医疗器械产品注册证情况。
文献和实验Ravi A et al., Eur Respir J 2019 (PMID:31109984)
技术资料暂无技术资料 索取技术资料


![Ribosome binding protein 1 antibody [C3], C-term](https://img1.dxycdn.com/2022/0328/360/3404962848934200453-14.jpg)


![Influenza A virus NS1 (nonstructural protein) antibody [HL2130]](https://img1.dxycdn.com/2023/0605/247/8632041231441755661-14.jpg!wh200)



![CD44v6 antibody [CD44v6/1246]](https://img1.dxycdn.com/2022/0328/785/4567351170689600453-14.jpg!wh200)
