相关产品推荐更多 >
万千商家帮你免费找货
0 人在求购买到急需产品
- 详细信息
- 文献和实验
- 技术资料
- 免疫原:
Recombinant protein encompassing a sequence within the C-terminus region of human Ribosome binding protein 1. The exact sequence is proprietary.
- 亚型:
IgG
- 形态:
Liquid
- 保存条件:
Store as concentrated solution. Centrifuge briefly prior to opening vial. For short-term storage (1-2 weeks), store at 4ºC. For long-term storage, aliquot and store at -20ºC or below. Avoid multiple freeze-thaw cycles.
- 克隆性:
Polyclonal
- 标记物:
Unconjugated
- 适应物种:
Human, Mouse
- 保质期:
12 months from the shipping date of the product.
- 抗原来源:
Human
- 目录编号:
GTX101844
- 级别:
Primary Antibodies
- 库存:
Available
- 供应商:
GeneTex
- 宿主:
Rabbit
- 应用范围:
WB, ICC/IF, IHC-P
- 浓度:
1 mg/ml (Please refer to the vial label for the specific concentration.)
- 靶点:
Ribosome binding protein 1
- 抗体英文名:
Ribosome binding protein 1 antibody [C3], C-term
- 抗体名:
Ribosome binding protein 1 抗体 [C3], C-term
- 规格:
100 μl/25 μl
| 规格: | 100 μl | 产品价格: | ¥4000.0 |
|---|---|---|---|
| 规格: | 25 μl | 产品价格: | ¥1700.0 |
Ribosome binding protein 1 antibody validation by siRNA knock-down.
Upperpanel: Ribosome binding protein 1 antibody GTX101844
Lower panel: Vinculin antibody (GTX109749)
A. 30 μg HepG2 whole cell lysate/extract
B. 30 μg whole cell lysate/extract of RRBP1 siRNA#1-transfected HepG2 cells
C. 30 μg whole cell lysate/extract of RRBP1 siRNA#2-transfected HepG2 cells
5% SDS-PAGE
Ribosome binding protein 1 antibody (GTX101844) dilution: 1:500
Vinculin antibody (GTX109749) dilution: 1:1000
The HRP-conjugated anti-rabbit IgG antibody (GTX213110-01) was used to detect the primary antibody.
Confocal immunofluorescence analysis (Olympus FV10i) of methanol-fixed HeLa, using Ribosome binding protein 1(GTX101844) antibody (Green) at 1:500 dilution. Alpha-tubulin filaments were labeled with GTX11304 (Red) at 1:2500.
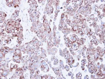
Immunohistochemical analysis of paraffin-embedded OVCAR3 xenograft, using Ribosome binding protein 1(GTX101844) antibody at 1:500 dilution.
Antigen Retrieval: Trilogy™ (EDTA based, pH 8.0) buffer, 15min
Confocal immunofluorescence analysis (Olympus FV10i) of PFA-fixed HeLa, using Ribosome binding protein 1(GTX101844) antibody (Green) at 1:500 dilution. Alpha-tubulin filaments were labeled with GTX11304 (Red) at 1:500.
Sample (30 μg of whole cell lysate)
A:NIH-3T3
5% SDS PAGE
GTX101844 diluted at 1:1000
The HRP-conjugated anti-rabbit IgG antibody (GTX213110-01) was used to detect the primary antibody.
风险提示:丁香通仅作为第三方平台,为商家信息发布提供平台空间。用户咨询产品时请注意保护个人信息及财产安全,合理判断,谨慎选购商品,商家和用户对交易行为负责。对于医疗器械类产品,请先查证核实企业经营资质和医疗器械产品注册证情况。
文献和实验Ravi A et al., Eur Respir J 2019 (PMID:31109984)
Evolution of Antibodies In Vitro by Ribosome Display
-directed mutagenesis can be easily used to introduce mutations into the selected DNA pool in each cycle, ribosome display offers an efficient “protein evolution” tool for antibody optimization. Both prokaryotic and eukaryotic cell-free systems
Overview of Protein Microarrays
. Relevant areas of research include the detection of various binding properties of proteins, the study of protein post?translational modifications, the analysis of host?microbe interactions, profiling antibody specificity, and the identification
Synchronizing Protein Transport in the Secretory Pathway
topologies. (A ) The hook is placed upstream of the IRES (internal ribosome entry site) while the reporter is downstream of it. The four cloning cassettes (A to D) enable cloning of the different domains necessary to create a reporter fusion protein
技术资料暂无技术资料 索取技术资料







![Myosin Heavy Chain 11 antibody [MYH11/2303R]](https://img1.dxycdn.com/2023/0711/451/6106825198874858761-14.jpg!wh200)


