相关产品推荐更多 >
万千商家帮你免费找货
0 人在求购买到急需产品
- 详细信息
- 文献和实验
- 技术资料
- 免疫原:
Recombinant protein encompassing a sequence within the C-terminus region of human Annexin VI. The exact sequence is proprietary.
- 亚型:
IgG
- 形态:
Liquid
- 保存条件:
Store as concentrated solution. Centrifuge briefly prior to opening vial. For short-term storage (1-2 weeks), store at 4ºC. For long-term storage, aliquot and store at -20ºC or below. Avoid multiple freeze-thaw cycles.
- 克隆性:
Polyclonal
- 标记物:
Unconjugated
- 适应物种:
Human, Mouse
- 保质期:
12 months from the shipping date of the product.
- 抗原来源:
Human
- 目录编号:
GTX101604
- 级别:
Primary Antibodies
- 库存:
Available
- 供应商:
GeneTex
- 宿主:
Rabbit
- 应用范围:
WB, IHC-P
- 浓度:
0.179 mg/ml (Please refer to the vial label for the specific concentration.)
- 靶点:
Annexin VI
- 抗体英文名:
Annexin VI antibody [C2C3], C-term
- 抗体名:
Annexin VI 抗体 [C2C3], C-term
- 规格:
100 μl/25 μl
| 规格: | 100 μl | 产品价格: | ¥4000.0 |
|---|---|---|---|
| 规格: | 25 μl | 产品价格: | ¥1700.0 |
Sample (30 ug of whole cell lysate)
A:NIH-3T3
7.5% SDS PAGE
GTX101604 diluted at 1:1000
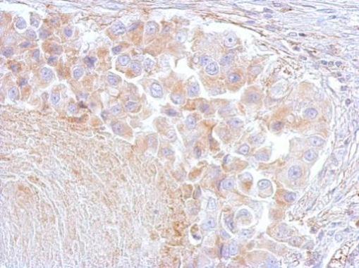
Annexin VI antibody [C2C3], C-term detects ANXA6 protein at cytosol on human breast by immunohistochemical analysis.
Sample: Paraffin-embedded breast.
Annexin VI antibody [C2C3], C-term (GTX101604) dilution: 1:500.
Sample(30 μg of whole cell lysate)
A:H1299
7.5% SDS PAGE
GTX101604 diluted at 1:1500
风险提示:丁香通仅作为第三方平台,为商家信息发布提供平台空间。用户咨询产品时请注意保护个人信息及财产安全,合理判断,谨慎选购商品,商家和用户对交易行为负责。对于医疗器械类产品,请先查证核实企业经营资质和医疗器械产品注册证情况。
文献和实验| ChemPort | 43. Eberhard, D. A., Brown, M. D. & VandenBerg, S. R. Alterations of annexin expression in pathological neuronal and glial reactions. Immunohistochemical localization of annexins I, II (p36 and p11 subunits), IV, and VI in the human
【资源】全面归类网址:毕赤酵母表达各种来源蛋白(细菌,真菌,植物,人类等)
europaea (olive tree) aeroallergen Ole e 1S, 60 mg/L, α-MF[115, 334, 391]Olea europaea 1,3-β-glucanase Ole e 9 C-term.seg.S, 100 mg/L, α-MF, active486Oleaceae sp. (lilac and privet) pollen allergensS, 30 mg/L, reactive481Pepper endo-b-1,4-glucanase cCel1S
[资源] 所有的看家基因(housekeeping genes)列表+引物设计服务
1, mRNA 8138 NM_004689 Homo sapiens metastasis associated 1 (MTA1), mRNA 506 NM_001848 Homo sapiens collagen, type VI, alpha 1 (COL6A1), mRNA 757 NM_004068 Homo sapiens adaptor-related protein complex 2, mu 1 subunit (AP2M1), mRNA 2188 NM
技术资料暂无技术资料 索取技术资料






![Synaptojanin 1 antibody [5H1]](https://img1.dxycdn.com/2022/0328/178/8652486132107500453-14.jpg!wh200)
![CD9 antibody [EM-04] (APC)](https://img1.dxycdn.com/2022/0328/578/4443176059306500453-14.jpg!wh200)



