相关产品推荐更多 >
万千商家帮你免费找货
0 人在求购买到急需产品
- 详细信息
- 文献和实验
- 技术资料
- 免疫原:
Recombinant protein encompassing a sequence within the center region of human PDI. The exact sequence is proprietary.
- 亚型:
IgG
- 形态:
Liquid
- 保存条件:
Store as concentrated solution. Centrifuge briefly prior to opening vial. For short-term storage (1-2 weeks), store at 4ºC. For long-term storage, aliquot and store at -20ºC or below. Avoid multiple freeze-thaw cycles.
- 克隆性:
Polyclonal
- 标记物:
Unconjugated
- 适应物种:
Human, Mouse, Rat
- 保质期:
12 months from the shipping date of the product.
- 抗原来源:
Human
- 目录编号:
GTX101468
- 级别:
Primary Antibodies
- 库存:
Available
- 供应商:
GeneTex
- 宿主:
Rabbit
- 应用范围:
WB, ICC/IF, IHC-P, EM
- 浓度:
1 mg/ml (Please refer to the vial label for the specific concentration.)
- 靶点:
PDI
- 抗体英文名:
PDI antibody [N1N3]
- 抗体名:
PDI 抗体 [N1N3]
- 规格:
100 μl/25 μl
| 规格: | 100 μl | 产品价格: | ¥4000.0 |
|---|---|---|---|
| 规格: | 25 μl | 产品价格: | ¥1700.0 |
Sample(30 μg of whole cell lysate)
A:293T
B:A431(GTX27909)
C:H1299
7.5% SDS PAGE
GTX101468 diluted at 1:500
Immunofluorescence analysis of methanol-fixed A431, using PDI(GTX101468) antibody at 1:200 dilution.
PDI antibody [N1N3] detects PDI protein at endoplasmic reticulum by immunofluorescent analysis.
Sample: HeLa cells were fixed in 4% PFA at RT for 15 min.
Green: PDI protein stained by PDI antibody [N1N3] (GTX101468) diluted at 1:100.
Red: phalloidin, a cytoskeleton marker, stained by phalloidin (invitrogen, A12380) diluted at 1:200.
Blue: Hoechst 33342 staining.
Sample (20 ug of whole cell lysate)
A: mouse liver
7.5% SDS PAGE
GTX101468 diluted at 1:10000
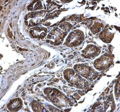
PDI antibody [N1N3] detects PDI protein at cytosol and membrane on mouse colon by immunohistochemical analysis.
Sample: Paraffin-embedded mouse colon.
PDI antibody [N1N3] (GTX101468) dilution: 1:500.
Antigen Retrieval: Trilogy™ (EDTA based, pH 8.0) buffer, 15min
Immunohistochemical analysis of paraffin-embedded H520 xenograft, using PDI(GTX101468) antibody at 1:100 dilution.
Antigen Retrieval: Trilogy™ (EDTA based, pH 8.0) buffer, 15min
风险提示:丁香通仅作为第三方平台,为商家信息发布提供平台空间。用户咨询产品时请注意保护个人信息及财产安全,合理判断,谨慎选购商品,商家和用户对交易行为负责。对于医疗器械类产品,请先查证核实企业经营资质和医疗器械产品注册证情况。
文献和实验Lee LC et al., J Neural Transm 2014 (PMID:24413982)
Chen JY et al., J Nutr Biochem 2013 (PMID:24011924)
Giordano F et al., Cell 2013 (PMID:23791178)
Shi-Chen Ou D et al., Cell Res 2011 (PMID:21221131)
Leu JG et al., Life (Basel) 2021 (PMID:34947939)
In the field of therapeutic recombinant proteins, monoclonal antibodies (mAbs) have achieved a rising success with more than 30 mAbs that have reached the market in the past 20 years. From a structural standpoint, one of the most important
Materials 0.1M NaHC03 pH9 DMSO NHS-Biotin (N-Hydroxysuccinimidobiotin, Sigma #H-1759) PBS Procedure Dialyze the sample against carbonate buffer. After dialysis, adjust
Monoclonal Antibody Production Protocol
the rinse twice. Add 100 ul of blocking solution to every well, leave 1 hr at room Temp or O.N at 4°C. PRIMARY ANTIBODY Add the antibody to be tested: Sup of cells = 25 ul, mix well by pipetting up and down (10 times).serum, ascites = 1:100 and a series
技术资料暂无技术资料 索取技术资料






![TCR V beta 3.1 antibody [8F10] (FITC)](https://img1.dxycdn.com/2022/0328/043/8143983471575500453-14.jpg!wh200)

![Tau (phospho Thr181) antibody [HL2497]](https://custom.dxycdn.com/trademd/upload/pic/2013/11/12/A1383891150.jpg!small.t.1)
![VWF antibody [36B11]](https://img1.dxycdn.com/2022/0328/644/9103555197718700453-14.jpg!wh200)

