相关产品推荐更多 >
万千商家帮你免费找货
0 人在求购买到急需产品
- 详细信息
- 文献和实验
- 技术资料
- 免疫原:
Prokaryotic recombinant fusion protein corresponding to the A2 domain of the von Willebrand molecule.
- 亚型:
IgG2a
- 形态:
Liquid
- 保存条件:
Store as concentrated solution. Centrifuge briefly prior to opening vial. Store at 4ºC. DO NOT FREEZE.
- 克隆性:
Monoclonal
- 标记物:
Unconjugated
- 适应物种:
Human
- 保质期:
12 months from the shipping date of the product.
- 抗原来源:
Human
- 目录编号:
GTX01957
- 级别:
Primary Antibodies
- 库存:
Available
- 供应商:
GeneTex
- 宿主:
Mouse
- 应用范围:
IHC-P
- 浓度:
>21 μg/ml (Please refer to the vial label for the specific concentration.)
- 靶点:
VWF
- 抗体英文名:
VWF antibody [36B11]
- 抗体名:
VWF 抗体 [36B11]
- 规格:
500 μl
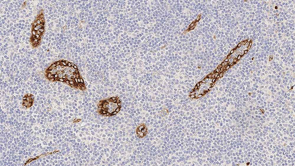
IHC-P analysis of human tonsil tissue using GTX01957 VWF antibody [36B11]. Note cytoplasmic staining of endothelial cells.
风险提示:丁香通仅作为第三方平台,为商家信息发布提供平台空间。用户咨询产品时请注意保护个人信息及财产安全,合理判断,谨慎选购商品,商家和用户对交易行为负责。对于医疗器械类产品,请先查证核实企业经营资质和医疗器械产品注册证情况。
文献和实验人可溶性CD36 分子 ( sCD36 )ELISA 试剂盒 ( 用于血清、血浆、细胞培养上清液和其它生物体液内 ) 原理 本实验采用双抗体夹心 ABC-ELISA 法。用抗人 sCD36 单抗包被于酶标板上,标准品和样品中的 sCD36与单抗结合,加入生物素化的抗人 sCD36 ,形成免疫复合物连接在板上,辣根过氧化物酶标记的 Streptavidin 与生物素结合,加入底物工作液显蓝
小鼠可溶性CD36分子(sCD36)ELISA试剂盒 说明书
上海西唐生物科技有限公司 021-55229872, 65333639 www.westang.com 小鼠可溶性CD36 分子 ( sCD36 )ELISA 试剂盒 ( 用于血清、血浆、细胞培养上清液和其它生物体液内 ) 原理 本实验采用双抗体夹心 ABC-ELISA 法。用抗小鼠 sCD36 单抗包被于酶标板上,标准品和样品中的 sCD36与单抗结合,加入生物
Antibody Staining of Ovaries 1. Dissect ovaries in EBR 2. Transfer ovaries into an Eppendorf tube and add 100 µl devitellinizing buffer and 600-µl heptane 3. Agitate gently for 10 minutes
技术资料暂无技术资料 索取技术资料







![Phosphatase orphan 2 antibody [N1C3]](https://img1.dxycdn.com/2022/0328/037/9982484567923300453-14.jpg!wh200)
![FGF2 antibody [2H11]](https://img1.dxycdn.com/2022/0328/396/3286100931758500453-14.jpg!wh200)


