相关产品推荐更多 >
万千商家帮你免费找货
0 人在求购买到急需产品
- 详细信息
- 文献和实验
- 技术资料
- 免疫原:
Peptide with sequence C-SMSSADVEVARF, from the C Terminus of the protein sequence according to NP_006331.1.
- 亚型:
IgG
- 形态:
Liquid
- 保存条件:
Store as concentrated solution. Centrifuge briefly prior to opening vial. For short-term storage (1-2 weeks), store at 4ºC. For long-term storage, aliquot and store at -20ºC or below. Avoid multiple freeze-thaw cycles.
- 克隆性:
Polyclonal
- 标记物:
Unconjugated
- 适应物种:
Human
- 保质期:
12 months from the shipping date of the product.
- 抗原来源:
Human
- 目录编号:
GTX20791
- 级别:
Primary Antibodies
- 库存:
Available
- 供应商:
GeneTex
- 宿主:
Goat
- 应用范围:
WB, IHC-P
- 浓度:
0.50 mg/ml (Please refer to the vial label for the specific concentration.)
- 靶点:
This antibody will recognise only one of three reported isoforms (NP_006331.1).
- 抗体英文名:
BAIAP2 (isoform 3) antibody
- 抗体名:
BAIAP2 (isoform 3) 抗体
- 规格:
50 μg
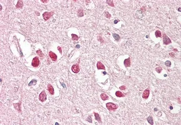
IHC-P analysis of human cortex using GTX20791 BAIAP2 (isoform 3) antibody.
Antigen retrieval : citrate buffer pH 6
Dilution : 3.75μg/ml
WB analysis of HEK293 overexpressing human BAIAP2 with DYKDDDDK tag using GTX20791 BAIAP2 (isoform 3) antibody.
Lane A : primary antibody
Lane B : Mock-transfected HEK293 probed with primary antibody
Lane C : Tag antibody
Dilution : 1μg/ml
Loading : 10μg protein in RIPA buffer
风险提示:丁香通仅作为第三方平台,为商家信息发布提供平台空间。用户咨询产品时请注意保护个人信息及财产安全,合理判断,谨慎选购商品,商家和用户对交易行为负责。对于医疗器械类产品,请先查证核实企业经营资质和医疗器械产品注册证情况。
文献和实验Evaluation of the Cardiac Isoform of 2-Macroglobulin as a Factor Inducing Cardiac Hypertrophy
is a cardiac isoform of α2 -macroglobulin belonging to the macro-globulin family. Furthermore, it has been demonstrated that direct injection of the purified 182-kDa protein intravenously (through the tail vein) into the normal animals led to the development
Generation of Antibodies That Are Externally Acting Isoform-Specific Inhibitors of Ion Channels
There is demand for isoform-specific ion channel inhibitors as tools to investigate the biology of �endogenous ion channels and validate them as targets in drug discovery programs. There is also hope that such inhibitors
Cytotoxic Tumor Targeting With scFv Antibody-Modified Liposomes
molecules on the liposome surface are maleimides that are linked to phospholipids composing the liposome bilayer membrane. We illustrate the coupling method of a functionalized single-chain antibody fragment with binding specificity to ED-B fibronectin
技术资料暂无技术资料 索取技术资料





![Perforin antibody [5B10]](https://img1.dxycdn.com/2022/0328/366/8160365239618700453-14.jpg!wh200)

![VE-Cadherin antibody [GT1369]](https://img1.dxycdn.com/2022/0329/030/4096298082347020453-14.jpg!wh200)



