相关产品推荐更多 >
万千商家帮你免费找货
0 人在求购买到急需产品
- 详细信息
- 文献和实验
- 技术资料
- 免疫原:
Recombinant protein encompassing a sequence within the center region of human MIF. The exact sequence is proprietary.
- 亚型:
IgG
- 形态:
Liquid
- 保存条件:
Store as concentrated solution. Centrifuge briefly prior to opening vial. For short-term storage (1-2 weeks), store at 4ºC. For long-term storage, aliquot and store at -20ºC or below. Avoid multiple freeze-thaw cycles.
- 克隆性:
Polyclonal
- 标记物:
Unconjugated
- 适应物种:
Human, Mouse, Rat
- 保质期:
12 months from the shipping date of the product.
- 抗原来源:
Human
- 目录编号:
GTX101162
- 级别:
Primary Antibodies
- 库存:
Available
- 供应商:
GeneTex
- 宿主:
Rabbit
- 应用范围:
WB, ICC/IF, IHC-P, IHC-Fr, ELISA, Sandwich ELISA
- 浓度:
1 mg/ml (Please refer to the vial label for the specific concentration.)
- 靶点:
MIF
- 抗体英文名:
MIF antibody [N1C3]
- 抗体名:
MIF 抗体 [N1C3]
- 规格:
100 μl/25 μl
| 规格: | 100 μl | 产品价格: | ¥4000.0 |
|---|---|---|---|
| 规格: | 25 μl | 产品价格: | ¥1700.0 |
Sample (30 μg of whole cell lysate)
A: Molt-4 (GTX27912)
15% SDS PAGE
GTX101162 diluted at 1:1000
The HRP-conjugated anti-rabbit IgG antibody (GTX213110-01) was used to detect the primary antibody.
Various tissue extracts (50 μg) were separated by 15% SDS-PAGE, and the membrane was blotted with MIF antibody [N1C3] (GTX101162) diluted at 1:1000. The HRP-conjugated anti-rabbit IgG antibody (GTX213110-01) was used to detect the primary antibody, and the signal was developed with Trident ECL plus-Enhanced.
ELISA detection of MIF using GTX101162 for capture at a concentration of 5 μg/mL and GTX89535 for detection at a concentration of 1.5 μg/mL.
MIF antibody [N1C3] detects MIF protein at cytoplasm in mouse brain by immunohistochemical analysis.
Sample: Paraffin-embedded mouse brain.
MIF antibody [N1C3] (GTX101162) diluted at 1:500.
Antigen Retrieval: Trilogy™ (EDTA based, pH 8.0) buffer, 15min
Immunofluorescence analysis of methanol-fixed HeLa, using MIF(GTX101162) antibody at 1:200 dilution.
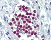
MIF antibody [N1C3] detects MIF protein at cytoplasm in rat brain by immunohistochemical analysis.
Sample: Paraffin-embedded rat brain.
MIF antibody [N1C3] (GTX101162) diluted at 1:500.
Antigen Retrieval: Trilogy™ (EDTA based, pH 8.0) buffer, 15min
风险提示:丁香通仅作为第三方平台,为商家信息发布提供平台空间。用户咨询产品时请注意保护个人信息及财产安全,合理判断,谨慎选购商品,商家和用户对交易行为负责。对于医疗器械类产品,请先查证核实企业经营资质和医疗器械产品注册证情况。
文献和实验Murata R et al., Pharmaceutics 2022 (PMID:35335938)
Chen LL et al., Evid Based Complement Alternat Med 2021 (PMID:34976095)
Yulizal OK et al., J Adv Vet Anim Res 2020 (PMID:32607351)
Movila A et al., J Bone Miner Res 2016 (PMID:27082509)
技术资料暂无技术资料 索取技术资料


![MIF antibody [N1C3]](https://img1.dxycdn.com/2022/0328/049/0343222841083200453-14.jpg)




![CD11b antibody [L1]](https://img1.dxycdn.com/2022/0328/935/9888352164332700453-14.jpg!wh200)

![Transferrin antibody [2F2]](https://img1.dxycdn.com/2022/0328/925/8655397206769600453-14.jpg!wh200)
