相关产品推荐更多 >
万千商家帮你免费找货
0 人在求购买到急需产品
- 详细信息
- 文献和实验
- 技术资料
- 免疫原:
Recombinant protein encompassing a sequence within the center region of human Prohibitin. The exact sequence is proprietary.
- 亚型:
IgG
- 形态:
Liquid
- 保存条件:
Store as concentrated solution. Centrifuge briefly prior to opening vial. For short-term storage (1-2 weeks), store at 4ºC. For long-term storage, aliquot and store at -20ºC or below. Avoid multiple freeze-thaw cycles.
- 克隆性:
Polyclonal
- 标记物:
Unconjugated
- 适应物种:
Human, Mouse, Rat
- 保质期:
12 months from the shipping date of the product.
- 抗原来源:
Human
- 目录编号:
GTX101105
- 级别:
Primary Antibodies
- 库存:
Available
- 供应商:
GeneTex
- 宿主:
Rabbit
- 应用范围:
WB, ICC/IF, IHC-P, IP
- 浓度:
0.34 mg/ml (Please refer to the vial label for the specific concentration.)
- 靶点:
Prohibitin
- 抗体英文名:
Prohibitin antibody
- 抗体名:
Prohibitin 抗体
- 规格:
100 μl/25 μl
| 规格: | 100 μl | 产品价格: | ¥4000.0 |
|---|---|---|---|
| 规格: | 25 μl | 产品价格: | ¥1700.0 |
Non-transfected (–) and transfected (+) 293T whole cell extracts (30 μg) were separated by 12% SDS-PAGE, and the membrane was blotted with Prohibitin antibody (GTX101105) diluted at 1:2000. The HRP-conjugated anti-rabbit IgG antibody (GTX213110-01) was used to detect the primary antibody.
Sample (30 μg of whole cell lysate)
A:NIH-3T3
12% SDS PAGE
GTX101105 diluted at 1:1000
The HRP-conjugated anti-rabbit IgG antibody (GTX213110-01) was used to detect the primary antibody.
Immunohistochemical analysis of paraffin-embedded OVCAR3 xenograft, using Prohibitin(GTX101105) antibody at 1:500 dilution.
Antigen Retrieval: Trilogy™ (EDTA based, pH 8.0) buffer, 15min
Prohibitin antibody detects Prohibitin protein at mitochondria by immunofluorescent analysis.
Sample: HeLa cells were fixed in 4% PFA at RT for 15 min.
Green: Prohibitin protein stained by Prohibitin antibody (GTX101105) diluted at 1:500.
Red: Phalloidin, a cytoskeleton marker, diluted at 1:100.
Blue: Hoechst 33342 staining.
Confocal immunofluorescence analysis (Olympus FV10i) of methanol-fixed HeLa, using Prohibitin(GTX101105) antibody (Green) at 1:500 dilution. Alpha-tubulin filaments were labeled with GTX11304 (Red) at 1:2000.
Immunoprecipitation of Prohibitin protein from 293T whole cell extracts using 5 μg of Prohibitin antibody (GTX101105).
Western blot analysis was performed using Prohibitin antibody (GTX101105).
EasyBlot anti-Rabbit IgG (GTX221666-01) was used as a secondary reagent.
Various whole cell extracts (30 μg) were separated by 12% SDS-PAGE, and the membrane was blotted with Prohibitin antibody (GTX101105) diluted at 1:1000. The HRP-conjugated anti-rabbit IgG antibody (GTX213110-01) was used to detect the primary antibody.
Prohibitin antibody detects PHB protein by western blot analysis.
A. 30 μg PC-12 whole cell lysate/extract
12% SDS-PAGE
Prohibitin antibody (GTX101105) dilution: 1:1000
The HRP-conjugated anti-rabbit IgG antibody (GTX213110-01) was used to detect the primary antibody.
Prohibitin antibody detects Prohibitin protein at cytoplasm in rat liver by immunohistochemical analysis.
Sample: Paraffin-embedded rat liver.
Prohibitin antibody (GTX101105) diluted at 1:500.
Antigen Retrieval: Citrate buffer, pH 6.0, 15 min
Prohibitin antibody detects Prohibitin protein at cytoplasm in mouse intestine by immunohistochemical analysis.
Sample: Paraffin-embedded mouse intestine.
Prohibitin antibody (GTX101105) diluted at 1:500.
Antigen Retrieval: Citrate buffer, pH 6.0, 15 min
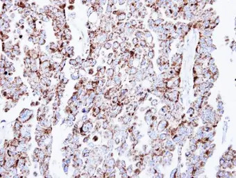
Prohibitin antibody detects Prohibitin protein at mitochondria by immunohistochemical analysis.
Sample: Paraffin-embedded mouse liver.
Prohibitin stained by Prohibitin antibody (GTX101105) diluted at 1:500.
Antigen Retrieval: Citrate buffer, pH 6.0, 15 min
风险提示:丁香通仅作为第三方平台,为商家信息发布提供平台空间。用户咨询产品时请注意保护个人信息及财产安全,合理判断,谨慎选购商品,商家和用户对交易行为负责。对于医疗器械类产品,请先查证核实企业经营资质和医疗器械产品注册证情况。
文献和实验Chiu YC et al., Biochem Biophys Rep 2021 (PMID:34786493)
Fang CH et al., J Biomed Sci 2020 (PMID:32169072)
Heng-Hsiung Wu et al., Journal of Food and Drug Analysis 2019 (Epub)
Moriggi M et al., Proteomics 2017 (PMID:29027377)
Yurugi H et al., Oncogene 2017 (PMID:28414306)
Chou HC et al., Arch Biochem Biophys 2014 (PMID:24384558)
Generation of Antibody Molecules Through Antibody Engineering
been overcome to a large extent using genetic-engineering techniques to produce chimeric mouse/human and completely human antibodies. Such an approach is particularly suitable because of the domain structure of the antibody molecule ( 2 ), where functional
The importance of antibody molecules was first recognized in the 1890s, when it was shown that immunity to tetanus and diphtheria was caused by antibodies against the bacterial exotoxins (1 ). Around the same time, it was shown that antisera
General comments: Antibodies, like most proteins, do not like to be freeze-thawed. Avoid repetitive freezing of your solution. The best way to store your antibody is to keep a high protein concentration (>1 mg/ml), add some protease
技术资料暂无技术资料 索取技术资料





![Pancreatic Lipase antibody [N1C1]](https://img1.dxycdn.com/2022/0328/541/5356766592318200453-14.jpg!wh200)


![NQO2 antibody [AT1E3]](https://img1.dxycdn.com/2022/0328/074/5873329771310500453-14.jpg!wh200)


