相关产品推荐更多 >
万千商家帮你免费找货
0 人在求购买到急需产品
- 详细信息
- 文献和实验
- 技术资料
- 免疫原:
Recombinant protein encompassing a sequence within the center region of human Prohibitin 2. The exact sequence is proprietary.
- 亚型:
IgG
- 形态:
Liquid
- 保存条件:
Store as concentrated solution. Centrifuge briefly prior to opening vial. For short-term storage (1-2 weeks), store at 4ºC. For long-term storage, aliquot and store at -20ºC or below. Avoid multiple freeze-thaw cycles.
- 克隆性:
Polyclonal
- 标记物:
Unconjugated
- 适应物种:
Human, Mouse, Rat
- 保质期:
12 months from the shipping date of the product.
- 抗原来源:
Human
- 目录编号:
GTX102100
- 级别:
Primary Antibodies
- 库存:
Available
- 供应商:
GeneTex
- 宿主:
Rabbit
- 应用范围:
WB, ICC/IF, IHC-P
- 浓度:
0.66 mg/ml (Please refer to the vial label for the specific concentration.)
- 靶点:
Prohibitin 2
- 抗体英文名:
Prohibitin 2 antibody
- 抗体名:
Prohibitin 2 抗体
- 规格:
100 μl/25 μl
| 规格: | 100 μl | 产品价格: | ¥4000.0 |
|---|---|---|---|
| 规格: | 25 μl | 产品价格: | ¥1700.0 |
Sample (30 μg of whole cell lysate)
A: H1299
B: HeLa
10% SDS PAGE
GTX102100 diluted at 1:1000
The HRP-conjugated anti-rabbit IgG antibody (GTX213110-01) was used to detect the primary antibody.
Prohibitin 2 antibody detects Prohibitin 2 protein at cytoplasm and nucleus on mouse urinary bladder by immunohistochemical analysis.
Sample: Paraffin-embedded mouse urinary bladder .
Prohibitin 2 antibody (GTX102100) diluted at 1:500.
Antigen Retrieval: Trilogy™ (EDTA based, pH 8.0) buffer, 15min
Sample (50 μg of whole cell lysate)
A: Mouse brain
12% SDS PAGE
GTX102100 diluted at 1:1000
The HRP-conjugated anti-rabbit IgG antibody (GTX213110-01) was used to detect the primary antibody.
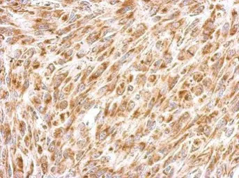
Prohibitin 2 antibody detects PHB2 protein at cytosol on U87 xenograft by immunohistochemical analysis.
Sample: Paraffin-embedded U87 xenograft.
Prohibitin 2 antibody (GTX102100) dilution: 1:500.
Antigen Retrieval: Trilogy™ (EDTA based, pH 8.0) buffer, 15min
Immunofluorescence analysis of PFA-fixed A431, using REA (GTX102100) antibody at 1:200 dilution.
风险提示:丁香通仅作为第三方平台,为商家信息发布提供平台空间。用户咨询产品时请注意保护个人信息及财产安全,合理判断,谨慎选购商品,商家和用户对交易行为负责。对于医疗器械类产品,请先查证核实企业经营资质和医疗器械产品注册证情况。
文献和实验Martinez E et al., J Nutr Biochem 2013 (PMID:23318136)
Heng-Hsiung Wu et al., Journal of Food and Drug Analysis 2019 (Epub)
Liu YH et al., Phytomedicine 2018 (PMID:30097117)
Martinez E et al., Int J Biochem Cell Biol 2015 (PMID:25486180)
技术资料暂无技术资料 索取技术资料





![P2Y12 antibody [N1], N-term](https://img1.dxycdn.com/2023/0711/255/2344116916935858761-14.jpg!wh200)

![LHX8 antibody [N1C2]](https://img1.dxycdn.com/2023/0516/045/6925717576889828561-14.jpg!wh200)
![Integrin beta 1 / CD29 antibody [TS2/16]](https://img1.dxycdn.com/2023/0711/451/6106825198874858761-14.jpg!wh200)

