相关产品推荐更多 >
万千商家帮你免费找货
0 人在求购买到急需产品
- 详细信息
- 文献和实验
- 技术资料
- 免疫原:
Carrier-protein conjugated synthetic peptide encompassing a sequence within the C-terminus region of human Cav beta 4. The exact sequence is proprietary.
- 亚型:
IgG
- 形态:
Liquid
- 保存条件:
Store as concentrated solution. Centrifuge briefly prior to opening vial. For short-term storage (1-2 weeks), store at 4ºC. For long-term storage, aliquot and store at -20ºC or below. Avoid multiple freeze-thaw cycles.
- 克隆性:
Polyclonal
- 标记物:
Unconjugated
- 适应物种:
Human, Mouse
- 保质期:
12 months from the shipping date of the product.
- 抗原来源:
Human
- 目录编号:
GTX100202
- 级别:
Primary Antibodies
- 库存:
Available
- 供应商:
GeneTex
- 宿主:
Rabbit
- 应用范围:
WB, ICC/IF, IHC-P, IHC-Fr
- 浓度:
1 mg/ml (Please refer to the vial label for the specific concentration.)
- 靶点:
Cav beta 4
- 抗体英文名:
Cav beta 4 antibody [C3], C-term
- 抗体名:
Cav beta 4 抗体 [C3], C-term
- 规格:
100 μl/25 μl
| 规格: | 100 μl | 产品价格: | ¥4000.0 |
|---|---|---|---|
| 规格: | 25 μl | 产品价格: | ¥1700.0 |
CACNB4 antibody [C3], C-term detects CACNB4 protein at cytoplasm by immunofluorescent analysis.
Sample: HeLa cells were fixed in 4% PFA at RT for 15 min.
Green: CACNB4 protein stained by CACNB4 antibody [C3], C-term (GTX100202) diluted at 1:500.
Blue: Hoechst 33342 staining.
Sample (30 ug of whole cell lysate)
A: 293T
B: HepG2
C: A375
7.5% SDS PAGE
GTX100202 diluted at 1:5000
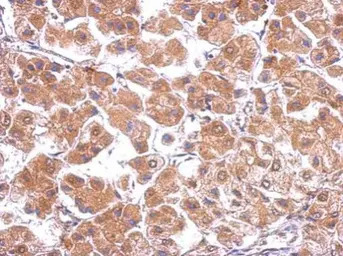
Immunohistochemical analysis of paraffin-embedded human hepatoma, using CACNB4(GTX100202) antibody at 1:500 dilution.
Antigen Retrieval: Trilogy™ (EDTA based, pH 8.0) buffer, 15min
Sample (50 ug of whole cell lysate)
A: mouse cerebellum
7.5% SDS PAGE
GTX100202 diluted at 1:1000
Cav beta 4 antibody [C3], C-term detects Cav beta 4 protein expression by immunohistochemical analysis.
Sample: Frozen-sectioned adult mouse cerebellum.
Green: Cav beta 4 protein stained by Cav beta 4 antibody [C3], C-term (GTX100202) diluted at 1:250.
Blue: Fluoroshield with DAPI (GTX30920).
风险提示:丁香通仅作为第三方平台,为商家信息发布提供平台空间。用户咨询产品时请注意保护个人信息及财产安全,合理判断,谨慎选购商品,商家和用户对交易行为负责。对于医疗器械类产品,请先查证核实企业经营资质和医疗器械产品注册证情况。
文献和实验1E C-term Antibody AP8428a PTPIA2 N-term Antibody AP8437a DUSP6 N-term Antibody AP8457a PPM1E N-term Antibody AP8427a PTPIA2beta N-term Antibody AP8438b DUSP7 C-term Antibody AP8447b PPM1F C-term Antibody AP8417a PTPkappa N-term Antibody AP
[资源] 所有的看家基因(housekeeping genes)列表+引物设计服务
are in popular use as reference in real-time PCR. *NM_001101 Homo sapiens actin, beta (ACTB ), mRNA 6988 *NM_000034 Homo sapiens aldolase A,fructose-bisphosphate (ALDOA), mRNA 3425 *NM_002046 Homo sapiens glyceraldehyde-3-phosphate dehydrogenase
,亲合力增高Kd为10-8M。IgG与Clq结合点位于CH2功能区中最后一个β折叠股318~322位氨基酸残基(Glu-x-Lys-x-Lys)。IgM倍以上。人类天然的抗A和抗B血型抗体为IgM,血型不符合引韦的输血反应发生快而且严重。 2.凝聚的IgA、IgG4和IgE等可通过替代途径活化补体。 (三)结合Fc受体 不同细胞表面具有不同Ig的Fc受体,分别用FcγR、FcεR、FcαR等来表示。当Ig与相应抗原
技术资料暂无技术资料 索取技术资料





![CD200R antibody [OX-110]](https://img1.dxycdn.com/2022/0328/982/6234549240024400453-14.jpg!wh200)



![Wilms Tumor 1 antibody [WT49]](https://img1.dxycdn.com/2022/0328/102/7596108534818700453-14.jpg!wh200)

