相关产品推荐更多 >
万千商家帮你免费找货
0 人在求购买到急需产品
- 详细信息
- 文献和实验
- 技术资料
- 免疫原:
The antiserum was produced against synthesized peptide derived from human Histone H2BK5ac (1-50).
- 亚型:
IgG
- 形态:
Liquid
- 保存条件:
Store as concentrated solution. Centrifuge briefly prior to opening vial. For short-term storage (1-2 weeks), store at 4ºC. For long-term storage, aliquot and store at -20ºC or below. Avoid multiple freeze-thaw cycles.
- 克隆性:
Polyclonal
- 标记物:
Unconjugated
- 适应物种:
Human
- 保质期:
12 months from the shipping date of the product.
- 抗原来源:
Human
- 目录编号:
GTX88015
- 级别:
Primary Antibodies
- 库存:
Available
- 供应商:
GeneTex
- 宿主:
Rabbit
- 应用范围:
ICC/IF, IHC-P
- 浓度:
Batch dependent (Please refer to the vial label for the specific concentration.)
- 靶点:
Histone H2BK5ac (acetyl Lys5)
- 抗体英文名:
Histone H2BK5ac (acetyl Lys5) antibody
- 抗体名:
Histone H2BK5ac (acetyl Lys5) 抗体
- 规格:
100 μg
ICC/IF analysis of HeLa cells using GTX88015 Histone H2BK5ac (acetyl Lys5) antibody. The picture on the right is blocked with the synthesized peptide.
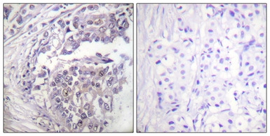
IHC-P analysis of human breast carcinoma tissue using GTX88015 Histone H2BK5ac (acetyl Lys5) antibody. The picture on the right is blocked with the synthesized peptide.
风险提示:丁香通仅作为第三方平台,为商家信息发布提供平台空间。用户咨询产品时请注意保护个人信息及财产安全,合理判断,谨慎选购商品,商家和用户对交易行为负责。对于医疗器械类产品,请先查证核实企业经营资质和医疗器械产品注册证情况。
文献和实验Histone Deacetylase Activity Assay
Histone deacetylases (HDACs) are enzymes that catalyze the removal of acetyl groups from the ɛ-amino groups of conserved lysine residues in the amino terminal tail of histones. In humans, there are 18 potential deacetylase enzymes
组蛋白是和染色体相联的最主要的蛋白质。它的作用是和染色体中的 DNA 的负电荷结合。组蛋白是比较小的碱性蛋白;在细胞正常 pH 值时,组蛋白带有正电荷,这样它们就可以和 DNA 结合,这个正电荷主要存在于碱性氨基酸 Lys 和 Arg 的 -NH3 上。其实,组蛋白约含 25% 的 Arg 和 Lys 。比其他蛋白的 Arg , Lys 的含量都多。和真核 DNA 结合的有 5 种类型的组蛋白: H1 , H2A , H2B , H3
PROTOCOL To 1.5 mL eppendorf tubes add: 200 µg of protein extract (see Western blot protocol for protein sample preps) q.s. to 300 µL with RIPA (with protease and phosphatase inhibitors). Primary antibody (amount determined
技术资料暂无技术资料 索取技术资料





![HLA-A2 antibody [BB7.2] (Azide Free)](https://img1.dxycdn.com/2022/0328/514/7874006612716700453-14.jpg!wh200)





