相关产品推荐更多 >
万千商家帮你免费找货
0 人在求购买到急需产品
- 详细信息
- 文献和实验
- 技术资料
- 免疫原:
Recombinant protein encompassing a sequence within the N-terminus region of human TET2. The exact sequence is proprietary.
- 亚型:
IgG
- 形态:
Liquid
- 保存条件:
Store as concentrated solution. Centrifuge briefly prior to opening vial. For short-term storage (1-2 weeks), store at 4ºC. For long-term storage, aliquot and store at -20ºC or below. Avoid multiple freeze-thaw cycles.
- 克隆性:
Polyclonal
- 标记物:
Unconjugated
- 适应物种:
Human, Mouse
- 保质期:
12 months from the shipping date of the product.
- 抗原来源:
Human
- 目录编号:
GTX124205
- 级别:
Primary Antibodies
- 库存:
Available
- 供应商:
GeneTex
- 宿主:
Rabbit
- 应用范围:
WB, ICC/IF, IHC-P, IP, ChIP assay
- 浓度:
1.55 mg/ml (Please refer to the vial label for the specific concentration.)
- 靶点:
TET2
- 抗体英文名:
TET2 antibody [N2-2], N-term
- 抗体名:
TET2 抗体 [N2-2], N-term
- 规格:
100 μl/25 μl
| 规格: | 100 μl | 产品价格: | ¥4000.0 |
|---|---|---|---|
| 规格: | 25 μl | 产品价格: | ¥1700.0 |
Wild-type (WT) and TET2 knockout (KO) HeLa cell extracts (30 μg) were separated by 5% SDS-PAGE, and the membrane was blotted with TET2 antibody [N2-2], N-term (GTX124205) diluted at 1:500. The HRP-conjugated anti-rabbit IgG antibody (GTX213110-01) was used to detect the primary antibody.
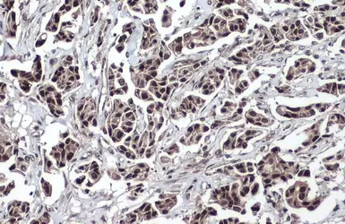
TET2 antibody [N2-2], N-term detects TET2 protein at nucleus by immunohistochemical analysis.
Sample: Paraffin-embedded human breast carcinoma.
TET2 stained by TET2 antibody [N2-2], N-term (GTX124205) diluted at 1:500.
Antigen Retrieval: Citrate buffer, pH 6.0, 15 min
TET2 antibody [N2-2], N-term detects TET2 protein at nucleus by immunofluorescent analysis.
Sample: HeLa cells were fixed in 4% PFA at RT for 15 min.
Green: TET2 stained by TET2 antibody [N2-2], N-term (GTX124205) diluted at 1:500.
Red: alpha Tubulin, a cytoskeleton marker, stained by alpha Tubulin antibody [GT114] (GTX628802) diluted at 1:1000.
Various whole cell extracts (30 μg) were separated by 5% SDS-PAGE, and the membrane was blotted with TET2 antibody [N2-2], N-term (GTX124205) diluted at 1:500. The HRP-conjugated anti-rabbit IgG antibody (GTX213110-01) was used to detect the primary antibody.
Cross-linked ChIP was performed with U2OS chromatin extract and 5 μg of either control rabbit IgG or anti-TET2 antibody. The precipitated DNA was detected by PCR with primer set targeting to CCND2.
TET2 antibody [N2-2], N-term detects TET2 protein at nucleus by immunohistochemical analysis.
Sample: Paraffin-embedded human breast carcinoma.
TET2 stained by TET2 antibody [N2-2], N-term (GTX124205) diluted at 1:500.
Antigen Retrieval: Citrate buffer, pH 6.0, 15 min
Immunoprecipitation of TET2 protein from 293T whole cell extracts using 5 μg of TET2 antibody [N2-2], N-term (GTX124205).
Western blot analysis was performed using TET2 antibody [N2-2], N-term (GTX124205) diluted at 1:500.
EasyBlot HRP-conjugated anti rabbit IgG antibody (GTX221666-01) was used to detect the primary antibody.
TET2 antibody [N2-2], N-term detects TET2 protein on human cervical carcinoma by immunohistochemical analysis.
Sample: Paraffin-embedded cervical carcinoma.
TET2 antibody [N2-2], N-term (GTX124205) dilution: 1:500.
Antigen Retrieval: Trilogy™ (EDTA based, pH 8.0) buffer, 15min
TET2 antibody detects TET2 protein by western blot analysis.
A. 30 μg 293T whole cell lysate/extract
B. 30 μg whole cell lysate/extract of DDDDK-human TET2-transfected 293T cells
5% SDS-PAGE
TET2 antibody (GTX124205) dilution: 1:5000
The HRP-conjugated anti-rabbit IgG antibody (GTX213110-01) was used to detect the primary antibody.
风险提示:丁香通仅作为第三方平台,为商家信息发布提供平台空间。用户咨询产品时请注意保护个人信息及财产安全,合理判断,谨慎选购商品,商家和用户对交易行为负责。对于医疗器械类产品,请先查证核实企业经营资质和医疗器械产品注册证情况。
文献和实验Yamashita H et al., Virchows Arch 2021 (PMID:34905094)
Chen W et al., Cell Rep 2021 (PMID:34731622)
Williamson SM et al., J Insect Physiol 2021 (PMID:34411584)
Wu SL et al., Genomics Proteomics Bioinformatics 2021 (PMID:33716151)
Huang F et al., Aging (Albany NY) 2020 (PMID:32726753)
Gu Y et al., FASEB J 2020 (PMID:32729950)
Xu Y et al., Front Endocrinol (Lausanne) 2020 (PMID:32774324)
Pei YF et al., Am J Pathol 2019 (PMID:30735628)
Chatterjee B et al., Biochim Biophys Acta Gene Regul Mech 2018 (PMID:30300721)
Sun J et al., Cell Stem Cell 2018 (PMID:30146412)
Zhou Y et al., Cell Physiol Biochem 2018 (PMID:29558748)
Ancey P et al., Stem Cell Reporters 2017 9()
Ni K et al., Hum Reprod 2016 (PMID:27141042)
Mahaira LG et al., Stem Cells Dev 2014 (PMID:24915579)
Tung Chao et al., Autophagy 2021 (PMID:33465003)
Shirui Huang et al., Cancer Cell Int 2021 (PMID:33926470)
N2 supplement的配置和N2 Supplement操作手册
as a substitute for the N-1 Bottenstein formulation. N-2 medium appears to be selective for neuronal Cell lines and does not support the growth of nonneuronal cell lines. N2 Supplement作用特点以及protocol 应用 •无血清培养 •血清替代品 •神经细胞 瘤生长
In the field of therapeutic recombinant proteins, monoclonal antibodies (mAbs) have achieved a rising success with more than 30 mAbs that have reached the market in the past 20 years. From a structural standpoint, one of the most important
Restriction Map and Multiple Cloning Site of pEGFP-N2. (Unique restriction sites are in color or bold.) The Not I site follows the EGFP stop codon. The Nhe I site cannot be used for fusions since it contains an in-frame stop codon
技术资料暂无技术资料 索取技术资料







![CYP4F11 antibody [N1N3]](https://img1.dxycdn.com/2022/0328/953/5423597435981300453-14.jpg!wh200)



