相关产品推荐更多 >
万千商家帮你免费找货
0 人在求购买到急需产品
- 详细信息
- 文献和实验
- 技术资料
- 免疫原:
Purified recombinant fragment of human HSP90AA1 expressed in E. Coli.
- 亚型:
IgG1
- 形态:
Liquid
- 保存条件:
Store as concentrated solution. Centrifuge briefly prior to opening vial. For short-term storage (1-2 weeks), store at 4ºC. For long-term storage, aliquot and store at -20ºC or below. Avoid multiple freeze-thaw cycles.
- 克隆性:
Monoclonal
- 标记物:
Unconjugated
- 适应物种:
Human, Mouse, Monkey
- 保质期:
12 months from the shipping date of the product.
- 抗原来源:
Human
- 目录编号:
GTX60587
- 级别:
Primary Antibodies
- 库存:
Available
- 供应商:
GeneTex
- 宿主:
Mouse
- 应用范围:
WB, IHC-P, FACS, ELISA
- 浓度:
1 mg/ml (Please refer to the vial label for the specific concentration.)
- 靶点:
Hsp90 alpha
- 抗体英文名:
Hsp90 alpha antibody [5G5]
- 抗体名:
Hsp90 alpha 抗体 [5G5]
- 规格:
100 μg
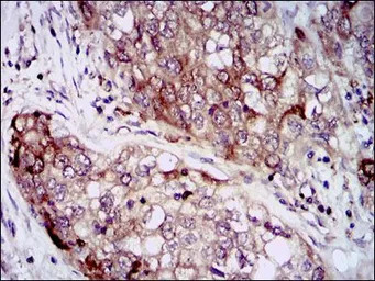
IHC-P analysis of lung cancer tissue using GTX60587 Hsp90 alpha antibody [5G5].
FACS analysis of HeLa cells using GTX60587 Hsp90 alpha antibody [5G5].
Green : Hsp90 alpha
Red : negative control
ELISA analysis of antigen using GTX60587 Hsp90 alpha antibody [5G5].
Black : Control antigen 100ng
Purple : Antigen 10ng
Blue : Antigen 50ng
Red : Antigen 100ng
WB analysis of human Hsp90 alpha (AA: 275-484) recombinant protein using GTX60587 Hsp90 alpha antibody [5G5].
WB analysis of NIH3T3 (1), HeLa (2), HCT116(3), HL-60 (4) and C0S7 (5) cell lysate using GTX60587 Hsp90 alpha antibody [5G5].
IHC-P analysis of bladder cancer tissue using GTX60587 Hsp90 alpha antibody [5G5].
风险提示:丁香通仅作为第三方平台,为商家信息发布提供平台空间。用户咨询产品时请注意保护个人信息及财产安全,合理判断,谨慎选购商品,商家和用户对交易行为负责。对于医疗器械类产品,请先查证核实企业经营资质和医疗器械产品注册证情况。
文献和实验Kumar P et al., Cancer Rep (Hoboken) 2020 (PMID:32761892)
In situ hybridisation to alpha satellite sequences (chromosome specific)
Alpha satellite sequences, whilst highly repetitive, are specific to each individual chromosome. These sequences flank the centromeres and can present a target measured in megabases. In this protocol a biotin or digoxigenin labelled DNA
上海西唐生物科技有限公司 021-55229872, 65333639 www.westang.com 人热休克蛋白90 ( HSP90 )ELISA 试剂盒 原理 本实验采用双抗体夹心 ABC-ELISA 法。用抗人 HSP90 单抗包被于酶标板上,标准品和样品中的 HSP90与单抗结合,加入生物素化的抗人 HSP90 ,形成免疫复合物连接在板上,辣根
marrow. The prime suspect: an adhesion molecule called alpha2 integrin. The molecule showed increased expression on memory cells, and its ligand is predominantly expressed in bone marrow tissue. Also, when the researchers blocked alpha2 integrin
技术资料暂无技术资料 索取技术资料







![SF3B1 antibody [JB40-32]](https://img1.dxycdn.com/2023/0711/451/6106825198874858761-14.jpg!wh200)

