相关产品推荐更多 >
万千商家帮你免费找货
0 人在求购买到急需产品
- 详细信息
- 文献和实验
- 技术资料
- 免疫原:
A synthesized peptide derived from human Ki67 around the phosphorylation site of Thr1335.
- 亚型:
IgG
- 形态:
Liquid
- 保存条件:
Store as concentrated solution. Centrifuge briefly prior to opening vial. For short-term storage (1-2 weeks), store at 4ºC. For long-term storage, aliquot and store at -20ºC or below. Avoid multiple freeze-thaw cycles.
- 克隆性:
Polyclonal
- 标记物:
Unconjugated
- 适应物种:
Human, Mouse, Rat
- 保质期:
12 months from the shipping date of the product.
- 抗原来源:
Human
- 目录编号:
GTX03435
- 级别:
Primary Antibodies
- 库存:
Available
- 供应商:
GeneTex
- 宿主:
Rabbit
- 应用范围:
WB, IHC-P
- 浓度:
1 mg/ml (Please refer to the vial label for the specific concentration.)
- 靶点:
Ki67 (phospho Thr1335)
- 抗体英文名:
Ki67 (phospho Thr1335) antibody
- 抗体名:
Ki67 (phospho Thr1335) 抗体
- 规格:
100 μl
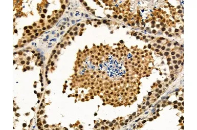
IHC-P analysis of rat testis tissue using GTX03435 Ki67 (phospho Thr1335) antibody.
Antigen retireval : Heat mediated antigen retrieval step in citrate buffer was performed.
Dilution : 1:100
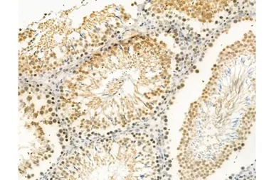
IHC-P analysis of mouse testis tissue using GTX03435 Ki67 (phospho Thr1335) antibody.
Antigen retireval : Heat mediated antigen retrieval step in citrate buffer was performed.
Dilution : 1:100
IHC-P analysis of mouse heart tissue using GTX03435 Ki67 (phospho Thr1335) antibody.
Antigen retireval : Heat mediated antigen retrieval step in citrate buffer was performed.
Dilution : 1:100
IHC-P analysis of human ovarian cancer tissue using GTX03435 Ki67 (phospho Thr1335) antibody.
Antigen retireval : Heat mediated antigen retrieval step in citrate buffer was performed.
Dilution : 1:100
IHC-P analysis of rat spleen tissue using GTX03435 Ki67 (phospho Thr1335) antibody.
Antigen retireval : Heat mediated antigen retrieval step in citrate buffer was performed.
Dilution : 1:100
WB analysis of various sample lysates using GTX03435 Ki67 (phospho Thr1335) antibody.
Lane 1 : K562 cells (heat shock treatment), blocked with antigen-specific peptides
Lane 2 : K562 cells (heat shock treatment)
Lane 3 : RAW264.7 cells (LPS treatment, 4hr).
风险提示:丁香通仅作为第三方平台,为商家信息发布提供平台空间。用户咨询产品时请注意保护个人信息及财产安全,合理判断,谨慎选购商品,商家和用户对交易行为负责。对于医疗器械类产品,请先查证核实企业经营资质和医疗器械产品注册证情况。
文献和实验baibai17 今天开题,导师问了个问题:ki67为什么叫ki67?当场傻住······恳请各位老师指教!谢谢。 keavin521 The Ki-67 protein was originally defined by the prototype monoclonal antibody Ki-67 (Gerdes et al., 1983),which was generated by immunizing mice
Using Phospho‐Motif Antibodies to Determine Kinase Substrates
comprising both the phosphorylated residue and the surrounding residues that determine kinase specificity, with degenerate residues taking up the remaining positions. Currently, several categories of phospho?motif antibody are commercially available
Optimized Protocol to Make Phospho-Specific Antibodies that Work
, not simply its level of expression. In this review, we will discuss both the design of the phosphopeptide immunogen and immunization. The affinity purification of the phospho-specific antibody as well as the methods most suitable for characterizing
技术资料暂无技术资料 索取技术资料







![Cathepsin Z antibody [AT6G11]](https://img1.dxycdn.com/2023/0711/451/6106825198874858761-14.jpg!wh200)

