相关产品推荐更多 >
万千商家帮你免费找货
0 人在求购买到急需产品
- 详细信息
- 文献和实验
- 技术资料
- 免疫原:
Peptide (C)RLGFLGSNTPHENH, corresponding to amino acid residues 2683-2696 () of rat IP3R2 (Accession : P29995).
- 亚型:
IgG
- 形态:
Liquid
- 保存条件:
Store as concentrated solution. Centrifuge briefly prior to opening vial. For short-term storage (1-2 weeks), store at 4ºC. For long-term storage, aliquot and store at -20ºC or below. Avoid multiple freeze-thaw cycles.
- 克隆性:
Polyclonal
- 标记物:
Unconjugated
- 适应物种:
Mouse, Rat
- 保质期:
12 months from the shipping date of the product.
- 抗原来源:
Rat
- 目录编号:
GTX54772
- 级别:
Primary Antibodies
- 库存:
Available
- 供应商:
GeneTex
- 宿主:
Rabbit
- 应用范围:
WB, IHC-Fr
- 浓度:
0.8 mg/ml (Please refer to the vial label for the specific concentration.)
- 靶点:
IP3 Receptor II
- 抗体英文名:
IP3 Receptor II antibody
- 抗体名:
IP3 Receptor II 抗体
- 规格:
50 μl
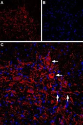
IHC-Fr analysis of rat spinal cord tissue using GTX54772 IP3 Receptor II antibody.
Panel A : IP3R2 (red) appears in neuronal soma (horizontal arrows) and processes (vertical arrows).
Panel B : Nuclear staining using DAPI as the counterstain (blue).
Panel C : Merged image of A and B.
WB analysis of rat brain membrane (lanes 1 and 3) and RBL cell (lanes 2 and 4) lysates using GTX54772 IP3 Receptor II antibody preincubated with or without immunogen peptide.
Dilution : 1:200
风险提示:丁香通仅作为第三方平台,为商家信息发布提供平台空间。用户咨询产品时请注意保护个人信息及财产安全,合理判断,谨慎选购商品,商家和用户对交易行为负责。对于医疗器械类产品,请先查证核实企业经营资质和医疗器械产品注册证情况。
文献和实验Chen L et al., Cell Res 2017 (PMID:28374748)
IP3受体是一种内质网通道蛋白, 由四个相对分子质量为260kDa的糖蛋白组成的四聚体。四个亚基组成一个跨膜的通道, 每个亚基都有IP3结合的部位, 当3~4个部位被IP3占据时, 受体复合物构象发生改变, 打开离子通道, 储藏在内质网中的Ca2 随即释放,进入胞质溶胶。
Immunohistochemical Detection of Angiotensin II Receptor
for cell-specific localization of receptor expression within tissue. The resolution and sensitivity achieved with IHC is far greater than that obtained with classic autoradiography techniques although antireceptor antibody
The Detection of Antibodies to the Angiotensin II-Type 1 Receptor in Transplantation
The detection of auto-antibodies detection is a major aspect of patient’s immunomonitoring. Antibodies directed against the heart and kidney Angiotensin II type 1 receptor (AT1 R) play a major role in antibody mediated rejection after heart
技术资料暂无技术资料 索取技术资料





![Integrin alpha 5 antibody [HM alpha 5] (FITC)](https://custom.dxycdn.com/trademd/upload/pic/2011/12/14/1323695851.jpg!small.t.1)

![RBM11 antibody [N2C3]](https://img1.dxycdn.com/2023/0516/407/0466332107306928561-14.jpg!wh200)


