相关产品推荐更多 >
万千商家帮你免费找货
0 人在求购买到急需产品
- 详细信息
- 文献和实验
- 技术资料
- 抗体名:
beta Actin antibody抗体
- 抗体英文名:
beta Actin antibody
- 靶点:
beta Actin
- 浓度:
- 100 μg (in 200 μl): 0.5 mg/ml- 200 μg (in 400 μl): 0.5 mg/ml
- 应用范围:
ELISA, IHC-P, WB
- 宿主:
Rabbit
- 保质期:
6-12个月
- 抗原来源:
详询
- 目录编号:
orb10033
- 级别:
科研级
- 库存:
88
- 供应商:
biorbyt
- 标记物:
Unconjugated
- 克隆性:
Polyclonal
- 形态:
C: 10 mM PBS, 0.02% Sodium Azide, 10 mg/ml rAlbumin, 50% Glycerol
- 亚型:
IgG
- 免疫原:
KLH conjugated synthetic peptide derived from human beta Actin. Please contact us for the exact immunogen sequence. The peptide is available as orb374699.
- 规格:
100 ug
产品描述:beta Actin antibody
别名:anti ACTB antibody, anti Actin cytoplasmic 1 antibody, anti Actx antibody, anti b actin antibody, anti b-actin antibody, anti Beta cytoskeletal actin antibody, anti Beta-actin antibody, anti cytoplasmic 1 antibody, anti Melanoma X actin antibody, anti N-terminally processed antibody
免疫原:KLH conjugated synthetic peptide derived from human beta Actin. Please contact us for the exact 免疫原 sequence. The peptide is available as orb374699.
分子量:42 kDa
应用稀释比例:P-ELISA:1:500-1000, WB:1:100-500, IHC-P:1:100-500 (based on 0.5 mg/ml)
应用注释:This Beta Actin antibody is against Human, Mouse, Rat, cat, Chicken, Cow, Dog, Fish, Guinea Pig, hm, mMouset, op, Pig, Rabbit, Sheep.
纯度:Polyclonal antibodies are purified by peptide affinity chromatography
保存说明:Maintain refrigerated at 2-8°C for up to 2 weeks. For long term storage store at -20°C in small aliquots to prevent freeze-thaw cycles.
Pubmed:41094197, 41121214, 24121128, 24350730
NCBI:11, 001101, 31, 001092
Entrez:60
UniProt ID:P60709, P60710, P60711
Note:For research use only.





别名:anti ACTB antibody, anti Actin cytoplasmic 1 antibody, anti Actx antibody, anti b actin antibody, anti b-actin antibody, anti Beta cytoskeletal actin antibody, anti Beta-actin antibody, anti cytoplasmic 1 antibody, anti Melanoma X actin antibody, anti N-terminally processed antibody
免疫原:KLH conjugated synthetic peptide derived from human beta Actin. Please contact us for the exact 免疫原 sequence. The peptide is available as orb374699.
分子量:42 kDa
应用稀释比例:P-ELISA:1:500-1000, WB:1:100-500, IHC-P:1:100-500 (based on 0.5 mg/ml)
应用注释:This Beta Actin antibody is against Human, Mouse, Rat, cat, Chicken, Cow, Dog, Fish, Guinea Pig, hm, mMouset, op, Pig, Rabbit, Sheep.
纯度:Polyclonal antibodies are purified by peptide affinity chromatography
保存说明:Maintain refrigerated at 2-8°C for up to 2 weeks. For long term storage store at -20°C in small aliquots to prevent freeze-thaw cycles.
Pubmed:41094197, 41121214, 24121128, 24350730
NCBI:11, 001101, 31, 001092
Entrez:60
UniProt ID:P60709, P60710, P60711
Note:For research use only.

Western blot analysis of rat lung lysates using Beta Actin antibody

Western blot analysis of mouse brain lysate using Beta Actin antibody

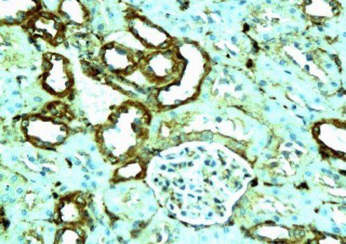
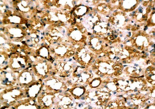
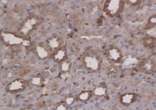
Immunohistochemical staining of paraffin embedded rat renal glomerulus tissue stained with Beta Actin antibody

Immunohistochemical staining of paraffin embedded rat renal glomerulus tissue stained with Beta Actin antibody

Immunohistochemical staining of paraffin embedded rat renal glomerulus tissue stained with Beta Actin antibody (DAB as chromogen)
风险提示:丁香通仅作为第三方平台,为商家信息发布提供平台空间。用户咨询产品时请注意保护个人信息及财产安全,合理判断,谨慎选购商品,商家和用户对交易行为负责。对于医疗器械类产品,请先查证核实企业经营资质和医疗器械产品注册证情况。
文献和实验该产品被引用文献
Lynda Bourebaba 1, Mikołaj Panek 2, Lilibeth Carolina Cárdenas Piedra 2, Nabila Bourebaba 2 Abnormal Fetuin-A levels in obese horses are associated with activated TLR4/NF-ƙB/MAPK axis and depleted FBXW7 E3 ubiquitin ligase Vet Res Commun, (2025), Nabila Bourebaba 1, Justyna Domagała 2, Lynda Bourebaba 3 Revitalizing equine metabolism: how SHBG improves mitochondrial function and reduces inflammation BMC Vet Res ., (2025), Faria, R. S. et al. Classical aversive conditioning induces increased expression of mature-BDNF in the hippocampus and amygdala of pigeons Neuroscience, 255, 122-133 (2013), Zhu, Yuxuan et al. Antioxidant and antiapoptotic effects of 1,1'-(biphenyl-4,4'-diyl)-bis(3-(dimethylamino)-propan-1-one) on protecting PC12 cells from Aβ-induced injury Mol Pharm, 11, 428-435 (2014)
技术资料暂无技术资料 索取技术资料
文献支持
beta Actin antibody抗体,orb10033,biorbyt
¥3640










