万千商家帮你免费找货
0 人在求购买到急需产品
- 详细信息
- 技术资料
- 服务名称:
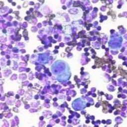
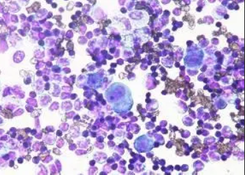
瑞士吉姆萨染色
1.服务介绍:
组织切片及细胞涂片经吉姆萨染色后,各类细胞由于其成份的差异而呈现出不同的着色,从而达到分辨各类细胞的目的。本项目为改良吉姆萨染色,适用于血涂片,肺泡灌洗液细胞滴片,骨髓细胞涂片,石蜡切片和冰冻切片的染色,染色目的多为观察各类炎性细胞的特征及数量分布。
2.实验流程:
涂片/组织切片-改良吉姆萨染色-脱水封片-显微镜镜检
3.结果判读:
成熟红细胞 圆饼状,粉红色,无核
中性粒细胞 细胞核蓝色,呈马蹄形,杆状或分叶形;胞质淡紫红色
嗜酸性颗粒细胞 核蓝色,呈马蹄形,杆状或分叶形;胞质内深红色颗粒
嗜碱性粒细胞 细胞核蓝色,呈马蹄形,杆状或分叶形;胞质内蓝紫色颗粒
淋巴细胞 细胞较小,核蓝色小而圆;细胞质较少呈蓝紫色
单核细胞/巨噬细胞 细胞较大,细胞核蓝色大而圆;细胞质浅蓝紫色
风险提示:丁香通仅作为第三方平台,为商家信息发布提供平台空间。用户咨询产品时请注意保护个人信息及财产安全,合理判断,谨慎选购商品,商家和用户对交易行为负责。对于医疗器械类产品,请先查证核实企业经营资质和医疗器械产品注册证情况。
技术资料暂无技术资料 索取技术资料
瑞士吉姆萨染色
¥45









