万千商家帮你免费找货
0 人在求购买到急需产品
- 详细信息
- 技术资料
- 服务名称:
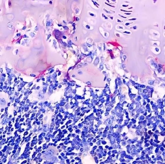
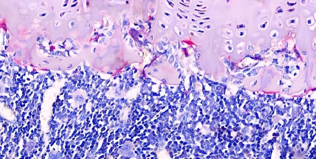
TRAP染色
1.服务介绍:
抗酒石酸酸性磷酸酶染色,又称Trap染色,是用于检测骨、骨细胞中破骨细胞的染色,使破骨细胞呈红色,细胞核浅蓝色,用以显示破骨细胞的分布及数量变化
2.实验流程:
脱蜡至水—染液配制-Trap染色-苏木素浅染核-脱水封片-显微镜镜检
3.结果判读:
破骨细胞呈酒红色或浅红色,细胞核呈浅蓝色
风险提示:丁香通仅作为第三方平台,为商家信息发布提供平台空间。用户咨询产品时请注意保护个人信息及财产安全,合理判断,谨慎选购商品,商家和用户对交易行为负责。对于医疗器械类产品,请先查证核实企业经营资质和医疗器械产品注册证情况。
技术资料暂无技术资料 索取技术资料
TRAP染色
¥75









