相关产品推荐更多 >
万千商家帮你免费找货
0 人在求购买到急需产品
- 详细信息
- 文献和实验
- 技术资料
- 抗体名:
HSP90 Antibody (Biotin)抗体
- 抗体英文名:
HSP90 Antibody (Biotin)
- 靶点:
HSP90
- 浓度:
1 mg/ml
- 应用范围:
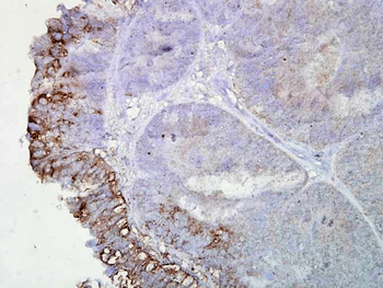
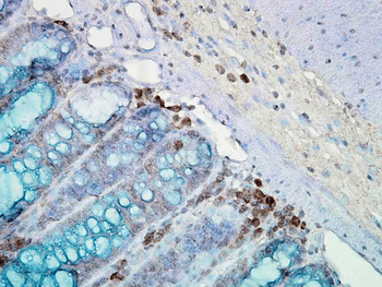
AM, IHC, WB
- 宿主:
Mouse
- 适应物种:
Fungi, Gallus, Human, Insect, Invertebrate, Mouse, Plant, Rabbit, Rat
- 保质期:
6-12个月
- 抗原来源:
详询
- 目录编号:
orb146888
- 级别:
科研级
- 库存:
88
- 供应商:
biorbyt
- 标记物:
Biotin
- 克隆性:
Monoclonal
- 亚型:
IgG2b
- 免疫原:
Heat shock protein 90 from the water mold Achyla ambisexualis
- 规格:
200 ug
别名:HSP90, HSP90AB1, HSP90-beta, HSPCB, HSPC2, Heat shock protein HSP 90-beta, Heat shock 84 kDa protein, HSP84, HSP90B
免疫原:Heat shock protein 90 from the water mold Achyla ambisexualis
克隆性:AC-16
分子量:90kDa
应用稀释比例:WB (1:1000), IHC (1:2000)
应用注释:1 µg/ml of SMC-112 was sufficient for detection of HSP90 in 20 µg of heat shocked HeLa cell lysate by colorimetric immunoblot analysis using Goat anti-mouse IgG:HRP as the secondary antibody
防腐剂:136.36mM Ethanolamine, 133.23 mM Chlorides, 9.55mM Phosphates, 9.55mM Sodium Bicarbonate
纯化:Protein G Purified
保存说明:Conjugated antibodies should be stored according to the product label
NCBI:AAM90675.1
Entrez:4768
UniProt ID:Q8LLI5
Note:For research use only.


风险提示:丁香通仅作为第三方平台,为商家信息发布提供平台空间。用户咨询产品时请注意保护个人信息及财产安全,合理判断,谨慎选购商品,商家和用户对交易行为负责。对于医疗器械类产品,请先查证核实企业经营资质和医疗器械产品注册证情况。
文献和实验The Avidin-Biotin Complex (ABC) Method and Other Avidin-Biotin Binding Methods
These methods involve, at their core, the vitamin biotin and the protein avidin, which bind together irreversibly. By establishing a biotin link, through avidin, between the horseradish peroxidase enzyme and a secondary antibody reagent
The Avidin-Biotin Complex(ABC) Method
, between the horseradish peroxidase enzyme and a secondary antibody reagent, enzyme localization can be achieved at the site of primary antibody interaction with the specimen (see ) Fig. 1 ). The biotin molecule is small and can be easily conjugated to immunoglobulin
sample to 1 mg/ml (or less). Prepare 1 mg/ml solution of NHS-Biotin in DMSO. Add NHS-Biotin in DMSO to antibody at desired ratio e.g. for 1:8 ratio add 125 ml of NHS-Biotin to 1mg of Ab Incubate on rotator for 4 hours at room
技术资料暂无技术资料 索取技术资料











