相关产品推荐更多 >
万千商家帮你免费找货
0 人在求购买到急需产品
- 详细信息
- 技术资料
- 抗体名:
HSP90 Antibody (APC)抗体
- 抗体英文名:
HSP90 Antibody (APC)
- 靶点:
HSP90
- 浓度:
1 mg/ml
- 应用范围:
AM, IHC, WB
- 宿主:
Mouse
- 适应物种:
Fungi, Gallus, Human, Insect, Invertebrate, Mouse, Plant, Rabbit, Rat
- 保质期:
6-12个月
- 抗原来源:
详询
- 目录编号:
orb146887
- 级别:
科研级
- 库存:
88
- 供应商:
biorbyt
- 标记物:
APC
- 克隆性:
Monoclonal
- 亚型:
IgG2b
- 免疫原:
Heat shock protein 90 from the water mold Achyla ambisexualis
- 规格:
200 ug
产品描述:Mouse monoclonal to Hsp90 antibody (APC)
别名:HSP90, HSP90AB1, HSP90-beta, HSPCB, HSPC2, Heat shock protein HSP 90-beta, Heat shock 84 kDa protein, HSP84, HSP90B
免疫原:Heat shock protein 90 from the water mold Achyla ambisexualis
克隆性:AC-16
分子量:90kDa
应用稀释比例:WB (1:1000), IHC (1:2000)
应用注释:1 µg/ml of SMC-112 was sufficient for detection of HSP90 in 20 µg of heat shocked HeLa cell lysate by colorimetric immunoblot analysis using Goat anti-mouse IgG:HRP as the secondary antibody
防腐剂:95.46mM Phosphate, 2.48mM MES and 2mM EDTA
纯化:Protein G Purified
保存说明:Conjugated antibodies should be stored according to the product label
NCBI:AAM90675.1
Entrez:4768
UniProt ID:Q8LLI5
Note:For research use only.


别名:HSP90, HSP90AB1, HSP90-beta, HSPCB, HSPC2, Heat shock protein HSP 90-beta, Heat shock 84 kDa protein, HSP84, HSP90B
免疫原:Heat shock protein 90 from the water mold Achyla ambisexualis
克隆性:AC-16
分子量:90kDa
应用稀释比例:WB (1:1000), IHC (1:2000)
应用注释:1 µg/ml of SMC-112 was sufficient for detection of HSP90 in 20 µg of heat shocked HeLa cell lysate by colorimetric immunoblot analysis using Goat anti-mouse IgG:HRP as the secondary antibody
防腐剂:95.46mM Phosphate, 2.48mM MES and 2mM EDTA
纯化:Protein G Purified
保存说明:Conjugated antibodies should be stored according to the product label
NCBI:AAM90675.1
Entrez:4768
UniProt ID:Q8LLI5
Note:For research use only.

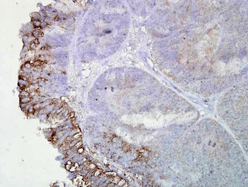
Immunohistochemistry analysis using Mouse Anti-Hsp90 Monoclonal Antibody, Clone AC-16. Tissue: colon carcinoma. Species: Human. Fixation: Formalin. Primary Antibody: Mouse Anti-Hsp90 Monoclonal Antibody at 1:2000 for 12 hours at 4°C. Secondary Antibody: Biotin Goat Anti-Mouse at 1:2000 for 1 hour at RT. Counterstain: Mayer Hematoxylin (purple/blue) nuclear stain at 200 μl for 2 minutes at RT. Localization: Inflammatory cells. Magnification: 40x. Inflammatory cells.

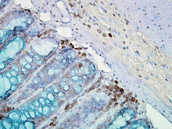
Immunohistochemistry analysis using Mouse Anti-Hsp90 Monoclonal Antibody, Clone AC-16. Tissue: inflamed colon. Species: Mouse. Fixation: Formalin. Primary Antibody: Mouse Anti-Hsp90 Monoclonal Antibody at 1:2000 for 12 hours at 4°C. Secondary Antibody: Biotin Goat Anti-Mouse at 1:2000 for 1 hour at RT. Counterstain: Mayer Hematoxylin (purple/blue) nuclear stain at 200 μl for 2 minutes at RT. Localization: Inflammatory cells. Magnification: 40x. Mostly inflammatory cells, some mucosa.
风险提示:丁香通仅作为第三方平台,为商家信息发布提供平台空间。用户咨询产品时请注意保护个人信息及财产安全,合理判断,谨慎选购商品,商家和用户对交易行为负责。对于医疗器械类产品,请先查证核实企业经营资质和医疗器械产品注册证情况。
技术资料暂无技术资料 索取技术资料
HSP90 Antibody (APC)抗体,orb146887,biorbyt
¥9490










