相关产品推荐更多 >

DDAH2 Rabbit pAb(bs-2785R)-50ul/100ul/200ul
¥1180
CDH6 Rabbit pAb, APC-Cy5.5 conjugated(bs-5823R-APC-Cy5.5)-100ul
¥2980
LIPT1 Rabbit pAb, Biotin conjugated(bs-18298R-Bio)-100ul
¥2980
phospho-IKK alpha (Ser176) Rabbit pAb, RBITC conjugated(bs-18127R-RBITC)-100ul
¥2980
PCK1 Rabbit pAb, HRP conjugated(bs-4972R-HRP)-100ul
¥2980
万千商家帮你免费找货
0 人在求购买到急需产品
- 详细信息
- 文献和实验
- 技术资料
- 应用范围:
产品信息以Bioss网站为准
- 规格:
50ul/100ul/25ul
| 规格: | 50ul | 产品价格: | ¥1400.0 |
|---|---|---|---|
| 规格: | 100ul | 产品价格: | ¥2500.0 |
| 规格: | 25ul | 产品价格: | ¥800.0 |
| 产品编号 | bsm-52469R |
| 英文名称 | CD4 Recombinant Rabbit mAb |
| 中文名称 | CD4重组兔单抗 |
| 英文别名 | CD4(L3T4); CD4 antigen(p55); CD4 Antigen; CD4 molecule; CD4 Receptor; CD4+Lymphocyte deficiency, included; CD4mut; L3T4; Leu3; Ly-4; Lymphocyte antigen CD4; MGC165891; p55; T Cell Antigen T4; T cell antigen T4/LEU3; T cell differentiation antigen L3T4; T cell OKT4 deficiency, included; T cell surface antigen T4/Leu 3; T cell surface antigen T4/Leu3; T Cell Surface Glycoprotein CD4; W3/25; W3/25 antigen; T-cell surface glycoprotein CD4 isoform 1 precursor; CD4_Human. |
| 产品应用 | WB=1:500-2000, IHC-P=1:100-500, IHC-F=1:100-500, IF=1:100-500, Flow-Cyt=1ug/Test Not yet tested in other applications. |
| 交叉反应 | Human, human tonsil, human tonsil, human tonsil, human tonsil, spleen, spleen, spleen, spleen, human lung carcinoma, human lung carcinoma, human lung carcinoma, human lung carcinoma, human colon carcinoma, human colon carcinoma, human colon carcinoma, human colon carcinoma, appendix, appendix, appendix, appendix, human gastric carcinoma, human gastric carcinoma, human gastric carcinoma, human gastric carcinoma |
| 抗体来源 | Rabbit |
| 免疫原 | A synthesized peptide derived from human CD4 |
| 亚型 | IgG |
| 性状 | Liquid |
| 纯化方法 | affinity purified by Protein A |
| 克隆类型 | Recombinant |
| 理论分子量 | 48 kDa |
| 浓度 | 1mg/ml |
| 储存液 | 0.01M TBS (pH7.4) with 1% BSA, 0.02% Proclin300 and 50% Glycerol. |
| 研究领域 | Immunology > Adaptive Immunity > Regulatory T Cells Immunology > Adaptive Immunity > T Cells > CD Immunology > Immune System Diseases > Antiviral Signaling > HIV-related Stem Cells > Hematopoietic Progenitors > Lymphoid > T Lymphocytic Lineage Stem Cells > Hematopoietic Progenitors > Myeloid > Dendritic Cell Lineage Stem Cells > Hematopoietic Progenitors > Myeloid > Monocytic Lineage |
| 亚基 | Associates with LCK. Binds to HIV-1 gp120 and to P4HB/PDI and upon HIV-1 binding to the cell membrane, is part of P4HB/PDI-CD4-CXCR4-gp120 complex. Interacts with HIV-1 Envelope polyprotein gp160 and protein Vpu. Interacts with Human Herpes virus 7 capsid proteins. Interacts with PTK2/FAK1; this interaction requires the presence of HIV-1 gp120. |
| 亚细胞定位 | Cell membrane; Single-pass type I membrane protein. Note=Localizes to lipid rafts. Removed from plasma membrane by HIV-1 Nef protein that increases clathrin-dependent endocytosis of this antigen to target it to lysosomal degradation. Cell surface expression is also down-modulated by HIV-1 Envelope polyprotein gp160 that interacts with, and sequesters CD4 in the endoplasmic reticulum. |
| 翻译后修饰 | Palmitoylation and association with LCK contribute to the enrichment of CD4 in lipid rafts. |
| 相似性 | Contains 3 Ig-like C2-type (immunoglobulin-like) domains. Contains 1 Ig-like V-type (immunoglobulin-like) domain. |
| 功能 | Accessory protein for MHC class-II antigen/T-cell receptor interaction. May regulate T-cell activation. Induces the aggregation of lipid rafts. |
| 保存条件 | Shipped at 4℃. Store at -20℃ for one year. Avoid repeated freeze/thaw cycles. |
| 注意事项 | This product as supplied is intended for research use only, not for use in human, therapeutic or diagnostic applications. |
| 背景资料 | This gene encodes a membrane glycoprotein of T lymphocytes that interacts with major histocompatibility complex class II antigenes and is also a receptor for the Human immunodeficiency virus. This gene is expressed not only in T lymphocytes, but also in B cells, macrophages, and granulocytes. It is also expressed in specific regions of the brain. The protein functions to initiate or augment the early phase of T-cell activation, and may function as an important mediator of indirect neuronal damage in infectious and immune-mediated diseases of the central nervous system. Multiple alternatively spliced transcript variants encoding different isoforms have been identified in this gene. [provided by RefSeq, Aug 2010]. |
| 应用 | 推荐稀释比例 |
| {WB} | {1:500-2000} |
| {IHC-P} | {1:100-500} |
| {IHC-F} | {1:100-500} |
| {IF} | {1:100-500} |
| {Flow-Cyt} | {1ug/Test} |

Primary Antibody (green line): Rabbit Anti-CD4 antibody (bsm-52469R)
Dilution: 1ug/Test;
Secondary Antibody (white blue line) : Goat anti-rabbit IgG-AF488
Dilution: 0.5ug/Test.
Isotype control(orange line):Normal Rabbit IgG
Protocol
The cells were incubated in 5%BSA to block non-specific protein-protein interactions for 30 min at room temperature .Cells stained with Primary Antibody for 30 min at room temperature. The secondary antibody used for 40 min at room temperature. Acquisition of 20,000 events was performed.











风险提示:丁香通仅作为第三方平台,为商家信息发布提供平台空间。用户咨询产品时请注意保护个人信息及财产安全,合理判断,谨慎选购商品,商家和用户对交易行为负责。对于医疗器械类产品,请先查证核实企业经营资质和医疗器械产品注册证情况。
文献和实验[IF={{ 7.59 }}] {Guoyun Wan. et al. Endoplasmic reticulum-targeted NIR-II phototherapy combined with inflammatory vascular suppression elicits a synergistic effect against TNBC. BIOMATER SCI-UK. 2023 Jan;:} {IF} {Mouse}
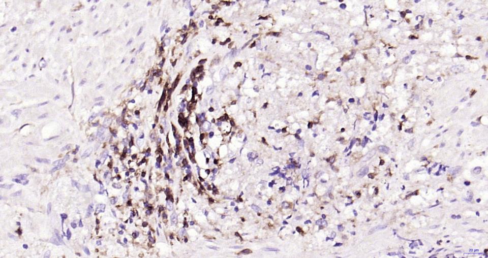
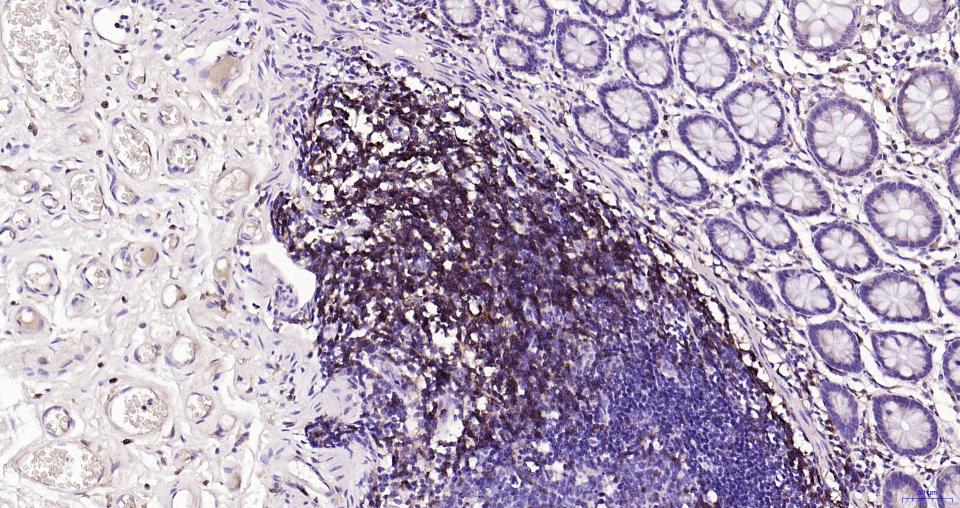
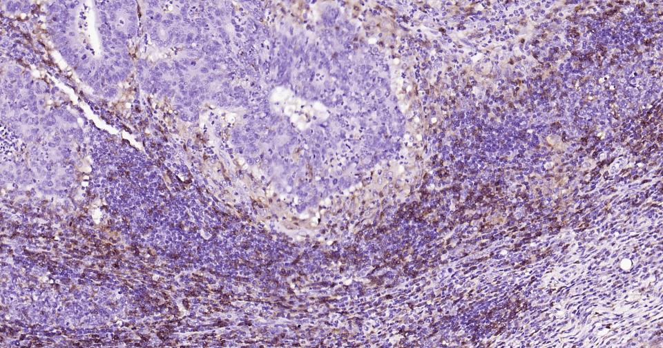
[IF={{ 7.3 }}] {Liquan Jin. et al. High expression ITGA2 affects the expression of MET, PD-L1, CD4 and CD8 with the immune microenvironment in pancreatic cancer patients. FRONT IMMUNOL. 2023; 14: 1209367} {IHC} {Human}
[IF={{ 7.1 }}] {Shuangjie Zhu. et al.Dihydroartemisinin inhibits the development of autoimmune thyroiditis by modulating oxidative stress and immune imbalance.free radical biology and medicine.2025 Feb 21:231:57-67.} {IF} {Mouse}
[IF={{ 3.3 }}] {Jiayun Jiang. et al. The immune-reinforcements of Lenvatinib plus anti-PD-1 and their rationale to unite with TACE for unresectable hepatocellular carcinoma treatment. IMMUNOL LETT. 2025 Oct;275:107003} {IF} {Human,Mouse}
[IF={{ 18.027 }}] {Zhu Li. et al. Immunogenic Cell Death Augmented by Manganese Zinc Sulfide Nanoparticles for Metastatic Melanoma Immunotherapy. ACS NANO. 2022;XXXX(XXX):XXX-XXX} {IHC} {Mouse}
到 PVDF 膜上,同时减少蛋白不必要降解,这对于最终获得清晰、可信结果也是需要考虑因素。抗体信息:1.ACC1, Recombinant Rabbit monoclonal IgG. HuaAn. HuaAn biotechnology , inc.2.ATGL, Mouse mAb IgG1, Cat#:RT1058. HuaAn biotechnology , inc.3.p-PERK(Thr981), Rabbit Polyclonal IgG primary antibodies, Cat
The OP9-DL1 System: Generation of T-Lymphocytes from Embryonic or Hematopoietic Stem Cells In Vitro
al. 2006b ). MATERIALS Reagents Anti-CD24 monoclonal antibody (mAb) (J11d clone) (for Protocol 3) Use either culture supernatant that contains anti-CD24 mAb or purified anti-CD24 mAb (see Step 55). BDPharmLyse (red blood cell lysing
ELISPOT (Enzyme-linked ImmunoSPOT)
Mouse Cytokine ELISPOT Set Catalog No. Capture mAb Detection mAb IFN-γ 88-7384 AN-18 R4-6A2 IL-1α 88-7813 ALF-161 Rabbit
技术资料暂无技术资料 索取技术资料






