相关产品推荐更多 >

CD44v7 Rabbit pAb, PerCP-Cy5.5 conjugated(bs-16206R-PerCP-Cy5.5)-100ul
¥2980
GFAP Rabbit pAb, PE-Cy7 conjugated(bs-0199R-PE-Cy7)-100ul
¥2980
CD24 Rabbit pAb, APC-Cy5.5 conjugated(bs-4891R-APC-Cy5.5)-100ul
¥2980
CD42b Recombinant Mouse mAb(bsm-60408M)-50ul/100ul/25ul
¥800
MSH2 Rabbit pAb, HRP conjugated(bs-0758R-HRP)-100ul
¥2980
万千商家帮你免费找货
0 人在求购买到急需产品
- 详细信息
- 文献和实验
- 技术资料
- 应用范围:
产品信息以Bioss网站为准
- 规格:
50ul/100ul/200ul
| 规格: | 50ul | 产品价格: | ¥1180.0 |
|---|---|---|---|
| 规格: | 100ul | 产品价格: | ¥1980.0 |
| 规格: | 200ul | 产品价格: | ¥2800.0 |
| 产品编号 | bs-10185R |
| 英文名称 | CMKLR1 Rabbit pAb |
| 中文名称 | 趋化样因子受体1抗体 |
| 英文别名 | Chemokine receptor-like 1; CHEMR23; ChemR23; DEZ; Chemokine like receptor 1; G protein coupled receptor ChemR23; G protein coupled receptor DEZ; CML1_HUMAN; Orphan G protein coupled receptor. |
| 产品应用 | WB=1:500-2000, IHC-P=1:100-500, IHC-F=1:100-500, IF=1:100-500 Not yet tested in other applications. |
| 交叉反应 | Human, Mouse (Dog, Sheep, Rat) |
| 抗体来源 | Rabbit |
| 免疫原 | KLH conjugated synthetic peptide derived from rat CMKLR1 |
| 亚型 | IgG |
| 性状 | Liquid |
| 纯化方法 | affinity purified by Protein A |
| 克隆类型 | Polyclonal |
| 理论分子量 | 42 kDa |
| 浓度 | 1mg/ml |
| 储存液 | 0.01M TBS (pH7.4) with 1% BSA, 0.02% Proclin300 and 50% Glycerol. |
| 研究领域 | Cell Biology > Other Antibodies > Other Antibodies Signal Transduction > Cytoskeleton / ECM > Extracellular Matrix > Structures > Bone Signal Transduction > Signaling Pathway > G Protein Signaling > GPCR |
| 亚细胞定位 | Cell membrane; Multi-pass membrane protein. |
| 组织特异性 | Prominently expressed in developing osseous and cartilaginous tissue. Also found in adult parathyroid glands. Prominently expressed in developing osseous and cartilaginous tissue. Also found in adult parathyroid glands. Expressed in cardiovascular system, brain, kidney, gastrointestinal tissues and myeloid tissues. Expressed in a broad array of tissues associated with hematopoietic and immune function including, spleen, thymus, appendix, lymph node, bone marrow and fetal liver. Among leukocyte populations abundant expression in monocyte-derived macrophage and immature dendritic cells (DCs). High expression in blood monocytes and low levels in polymorphonuclear cells and T cells. Expressed on endothelial cells. |
| 相似性 | Belongs to the G-protein coupled receptor 1 family. |
| 功能 | Receptor for the chemoattractant adipokine chemerin/RARRES2 and for the omega-3 fatty acid derived molecule resolvin E1. Interaction with RARRES2 induces activation of intracellular signaling molecules, such as SKY, MAPK1/3 (ERK1/2), MAPK14/P38MAPK and PI3K leading to multifunctional effects, like, reduction of immune responses, enhancing of adipogenesis and angionesis. Resolvin E1 down-regulates cytokine production in macrophages by reducing the activation of MAPK1/3 (ERK1/2) and NF-kappa-B. Acts as a coreceptor for several SIV strains (SIVMAC316, SIVMAC239, SIVMACL7E-FR and SIVSM62A), as well as a primary HIV-1 strain (92UG024-2). |
| 保存条件 | Shipped at 4℃. Store at -20℃ for one year. Avoid repeated freeze/thaw cycles. |
| 注意事项 | This product as supplied is intended for research use only, not for use in human, therapeutic or diagnostic applications. |
| 背景资料 | Chemokine-Like Receptor 1 (CMKLR1) is a serpentine transmembrane G-protein linked receptor. It is an orphan chemoattractant receptor, also known as ChemR23 or DEZ. CMKLR1 is expressed on the surface of monocyte-derived immature dendritic cells and peripheral plamacytoid dendritic (pDC) cells; but not on myeloid dendritic (mDC) cells, monocytes and lymphocytes. The expression of CMKLR1 on pDC is down-regulated after activation. Chemerin (TIG2) is a natural ligand of CMKLR1. The interaction of CMKLR1 with Chemerin induces pDC activation and chemotaxis. It has been shown that CMKLR1 is a coreceptor for several strains of SIV and HIV-1. CMKLR1 is a potential useful marker for distinguishing pDCs and mDCs. |
| 应用 | 推荐稀释比例 |
| {WB} | {1:500-2000} |
| {IHC-P} | {1:100-500} |
| {IHC-F} | {1:100-500} |
| {IF} | {1:100-500} |

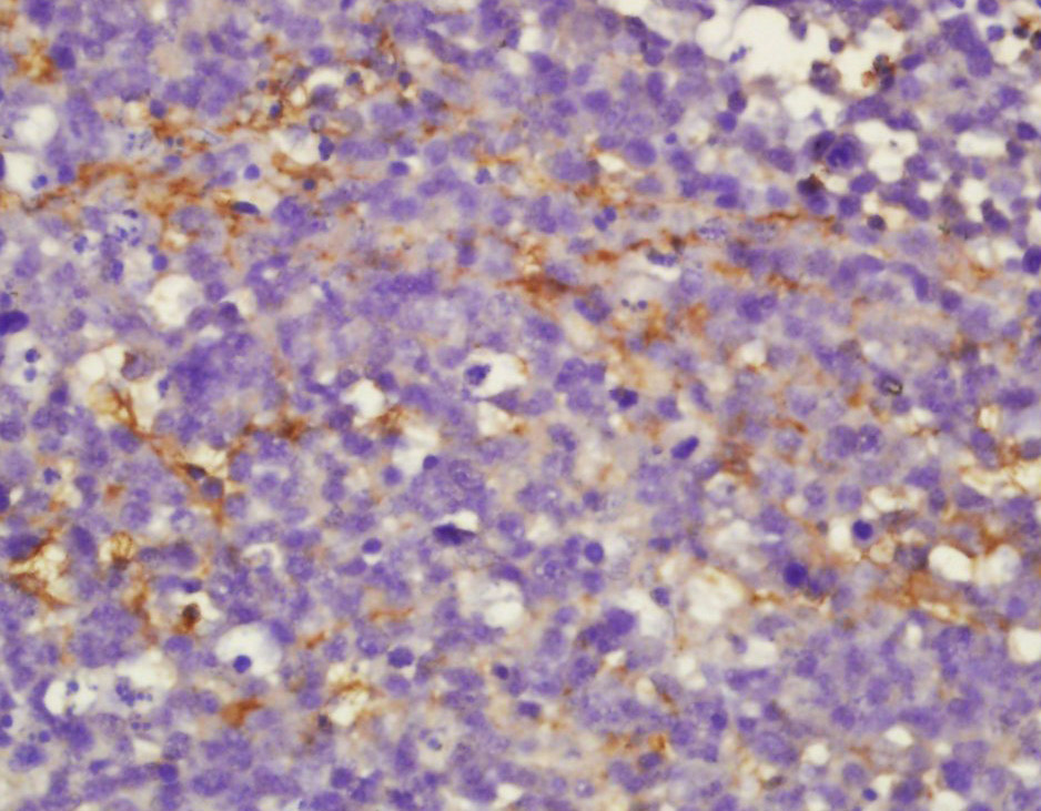
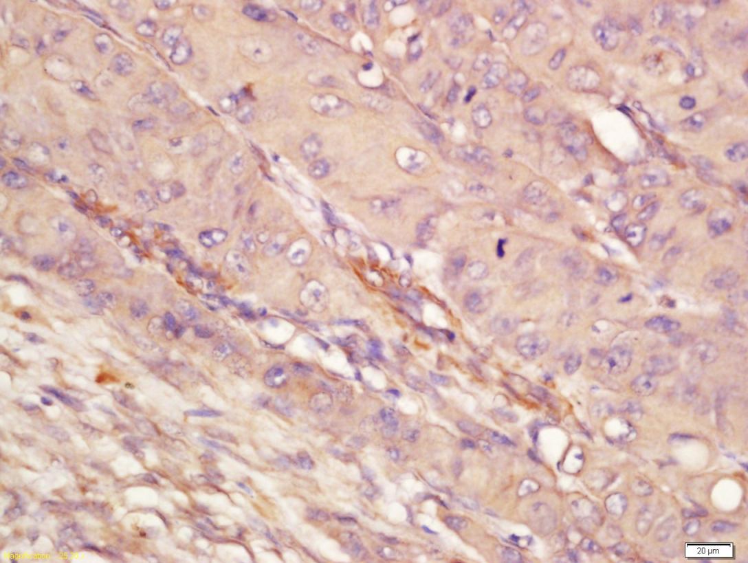
Antigen retrieval: citrate buffer ( 0.01M, pH 6.0 ), Boiling bathing for 15min; Block endogenous peroxidase by 3% Hydrogen peroxide for 30min; Blocking buffer (normal goat serum,C-0005) at 37℃ for 20 min;
Incubation: Anti-CMKLR1 Polyclonal Antibody, Unconjugated(bs-10185R) 1:200, overnight at 4°C, followed by conjugation to the secondary antibody(SP-0023) and DAB(C-0010) staining

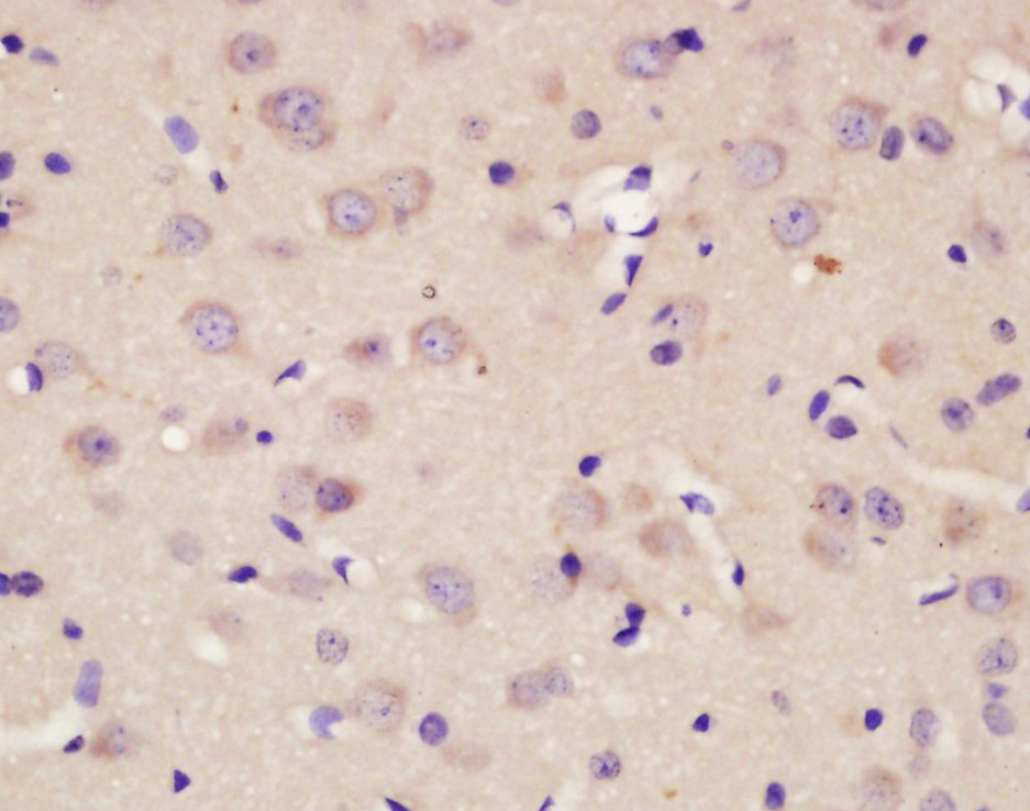
Antigen retrieval: citrate buffer ( 0.01M, pH 6.0 ), Boiling bathing for 15min; Block endogenous peroxidase by 3% Hydrogen peroxide for 30min; Blocking buffer (normal goat serum,C-0005) at 37℃ for 20 min;
Incubation: Anti-CMKLR1 Polyclonal Antibody, Unconjugated(bs-10185R) 1:200, overnight at 4°C, followed by conjugation to the secondary antibody(SP-0023) and DAB(C-0010) staining

Green line : Primary Antibody (Rabbit Anti-CMKLR1 antibody (bs-10185R) )
Orange line:Isotype Control Antibody (Rabbit IgG) .
Blue line : Secondary Antibody (Goat anti-rabbit IgG-AF488)
HUVEC(Positive)and A431(Negative control)cells (black) were incubated in 5% BSA blocking buffer for 30 min at room temperature. Cells were then stained with CMKLR1 Antibody(bs-10185R)at 1:50 dilution in blocking buffer and incubated for 30 min at room temperature, washed twice with 2% BSA in PBS, followed by secondary antibody(blue) incubation for 40 min at room temperature. Acquisitions of 20,000 events were performed. Cells stained with primary antibody (green), and isotype control (orange).

Lane 1: Lung (Mouse) Lysate at 40 ug
Lane 2: Liver (Mouse) Lysate at 40 ug
Primary: Anti-CMKLR1 (bs-10185R) at 1/1000 dilution
Secondary: IRDye800CW Goat Anti-Rabbit IgG at 1/20000 dilution
Predicted band size: 42 kD
Observed band size: 42 kD



风险提示:丁香通仅作为第三方平台,为商家信息发布提供平台空间。用户咨询产品时请注意保护个人信息及财产安全,合理判断,谨慎选购商品,商家和用户对交易行为负责。对于医疗器械类产品,请先查证核实企业经营资质和医疗器械产品注册证情况。
文献和实验[IF={{ 7.58 }}] {Qu, Xinli, et al. "Resolvins E1 and D1 inhibit interstitial fibrosis in the obstructed kidney via inhibition of local fibroblast proliferation." The Journal of pathology 228.4 (2012): 506-519.} {WB,IHC} {="Mouse"}
[IF={{ 5.195 }}] {Jing-Xiao Wang. et al. Chemerin-9 in paraventricular nucleus increases sympathetic outflow and blood pressure via glutamate receptor-mediated ROS generation. EUR J PHARMACOL. 2022 Dec;936:175343} {WB} {Rat}
[IF={{ 4.6 }}] {Tianmeng Sun. et al.Molecular dynamics of chemotactic signalling orchestrates dental pulp stem cell fibrosis during aging.FRONTIERS IN CELL AND DEVELOPMENTAL BIOLOGY.2025 Jan 10:12:1530644.} {Western blot} {Mouse}
[IF={{ 3.61 }}] {Peng, Lei, et al. "The Chemerin Receptor CMKLR1 is a Functional Receptor for Amyloid-β Peptide." Journal of Alzheimers Disease (2014).} {Other} {="Mouse"}
[IF={{ 3.448 }}] {Hanthazi A et al. Chemerin influences endothelin-and serotonin-induced pulmonary artery vasoconstriction in rats. Life Sci. 2019 Jun 16:116580.} {IHC} {Rat}
= NAL), appears to form upon oxidative cyclization of the nonfluorescent 2:1 lysine-HNE Michael adduct-Schiff base cross-link (Scheme 1). Polyclonal antibody (PAb) to the NAL-HNE fluorophore was raised in rabbit and found to be highly specific
GE Healthcare Benzamidine Sepharose™ 6B is p-aminobenzamidine covalently attached to Sepharose 6B by the epoxy coupling method. p-Aminobenzamidine (PAB), is a synthetic inhibitor of trypsin-like serine protease. Trypsin and trypsin
Nucleic Acid Programmable Protein Arrays: Versatile Tools for Array‐Based Functional Protein Studies
.g., Sigma) 50 mg/ml bis‐sulfosuccinimdylsuberate (BS3 ;Pierce, cat. no. PI 21580) in dimethylsulfoxide (DMSO) 5 mg/ml
技术资料暂无技术资料 索取技术资料






