相关产品推荐更多 >
万千商家帮你免费找货
0 人在求购买到急需产品
- 详细信息
- 文献和实验
- 技术资料
- 免疫原:
Recombinant protein of human DES.
- 形态:
liquid
- 保存条件:
Store at -20˚C
- 克隆性:
Polyclonal
- 适应物种:
Human;Mouse;Rat
- 保质期:
12 months
- 抗原来源:
Rabbit
- 供应商:
南京赛戈巍生物科技有限公司
- 宿主:
Rabbit
- 应用范围:
WB,IHC,IF
- 靶点:
Uniprot:P17661
- 抗体英文名:
DES antibody
- 规格:
50ul/100ul
配方:Supplied at 1.0mg/mL in phosphate buffered saline (without Mg2+ and Ca2+), pH 7.4, 150mM NaCl, 0.02% sodium azide and 50% glycerol.
应用详情:WB 1:500 - 1:2000
IHC 1:50 - 1:100
IF 1:50 - 1:100
图片:

Western blot analysis of extracts of mouse heart, using DES antibody.
,

Immunofluorescence analysis of mouse heart using DES antibody at dilution of 1:100. Blue: DAPI for nuclear staining.
,

Immunofluorescence analysis of rat heart using DES antibody at dilution of 1:100. Blue: DAPI for nuclear staining.
,

Immunohistochemistry of paraffin-embedded human appendix using DES antibody at dilution of 1:100 (40x lens).
,

Immunohistochemistry of paraffin-embedded rat ovary using DES antibody at dilution of 1:100 (40x lens).
,

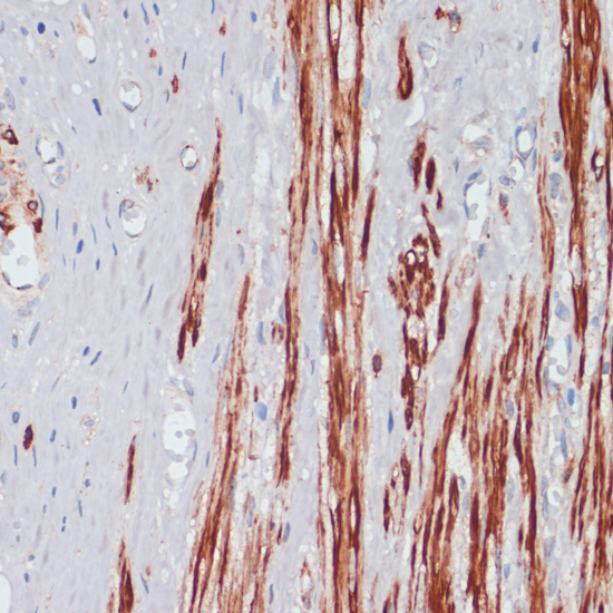
Immunohistochemistry of paraffin-embedded mouse heart using DES antibody at dilution of 1:100 (40x lens).
风险提示:丁香通仅作为第三方平台,为商家信息发布提供平台空间。用户咨询产品时请注意保护个人信息及财产安全,合理判断,谨慎选购商品,商家和用户对交易行为负责。对于医疗器械类产品,请先查证核实企业经营资质和医疗器械产品注册证情况。
文献和实验真菌门、担子菌纲、口蘑科、香菇属。子实体伞状,半肉质至革质。菌盖扁平球形,后渐平展,宽 5~ 12厘米,菱色至深肉桂色,上有鳞片。菌肉厚,白色。菌褶白色,稠密,弯生。柄中生至偏生,白色,内实,常弯曲,长 3~ 5厘米,粗 0.5~ 0.8厘米,有窄的菌环,易消失。菌环以下的菌柄上常有鳞片。担孢子无色,光滑,椭圆形。常生于阔叶树的倒木上。我国长江以南各省区均有分布。香菇味美而营养丰富,每 100克干菇中含 12.5克蛋白质,糖 60克,脂肪为 6.4克,还有多量的麦角固醇和维生
Generation of Antibody Molecules Through Antibody Engineering
been overcome to a large extent using genetic-engineering techniques to produce chimeric mouse/human and completely human antibodies. Such an approach is particularly suitable because of the domain structure of the antibody molecule ( 2 ), where functional
The importance of antibody molecules was first recognized in the 1890s, when it was shown that immunity to tetanus and diphtheria was caused by antibodies against the bacterial exotoxins (1 ). Around the same time, it was shown that antisera
技术资料暂无技术资料 索取技术资料





![MIOX Antibody[43378]](https://img1.dxycdn.com/p/s14/2025/0922/568/0046652811090600791.jpg!wh200)
![Mouse Anti-Monkey IgG (H&L) FITC[L35096]](https://img1.dxycdn.com/p/s14/2025/0922/498/0460884283108299691.jpg!wh200)
![Haptoglobin Polyclonal Conjugated Antibody[C42609]](https://img1.dxycdn.com/p/s14/2025/0923/278/4431488150116040791.jpg!wh200)


