相关产品推荐更多 >
万千商家帮你免费找货
0 人在求购买到急需产品
- 详细信息
- 文献和实验
- 技术资料
- 免疫原:
Recombinant protein
- 形态:
liquid
- 保存条件:
Store at -20˚C
- 克隆性:
Polyclonal
- 适应物种:
Human;Mouse;Rat
- 保质期:
12 months
- 抗原来源:
Rabbit
- 供应商:
南京赛戈巍生物科技有限公司
- 宿主:
Rabbit
- 应用范围:
WB, ICC, IHC
- 靶点:
Uniprot:P12036
- 抗体英文名:
Neurofilament Antibody
- 规格:
50ul/100ul
160 kDa neurofilament protein antibody
2 kDa neurofilament protein antibody200 kDa neurofilament protein antibody
68 kDa neurofilament protein antibody
AI847934 antibody
CMT1F antibody
CMT2CC antibody
CMT2E antibody
FLJ53642 antibody
KIAA0845 antibody
light molecular weight neurofilament protein antibody
Micro glutamic acid-rich protein antibody
mKIAA0845 antibody
Nef3 antibody
NEFH antibody
NEFL antibody
NEFM antibody
Neurofilament 3 antibody
Neurofilament heavy polypeptide 200kDa antibody
Neurofilament heavy polypeptide antibody
Neurofilament light polypeptide 68kDa antibody
Neurofilament light polypeptide antibody
Neurofilament medium polypeptide 150kDa antibody
Neurofilament medium polypeptide antibody
Neurofilament protein heavy polypeptide antibody
Neurofilament protein light chain antibody
Neurofilament protein light polypeptide antibody
Neurofilament protein medium polypeptide antibody
neurofilament subunit NF-L antibody
Neurofilament triplet H protein antibody
Neurofilament triplet L protein antibody
Neurofilament triplet M protein antibody
neurofilament-3 (150 kD medium) antibody
NF-H antibody
NF-L antibody
NF-M antibody
NF160 antibody
NF165 antibody
NF200 antibody
NF68 antibody
NFH antibody
NFL antibody
NFM antibody
NFM_HUMAN antibody
PPP1R110 antibody
protein phosphatase 1, regulatory subunit 110 antibody
计算分子量:200 kDa
配方:1*TBS (pH7.4), 0.5%BSA, 50%Glycerol. Preservative: 0.05% Sodium Azide.
应用详情:
WB: 1:500-1:1000
IHC: 1:50-1:200
ICC: 1:50-1:200
图片:

Western blot analysis of Neurofilament on mouse brain tissue lysate using anti-Neurofilament antibody at 1/500 dilution.
,

,

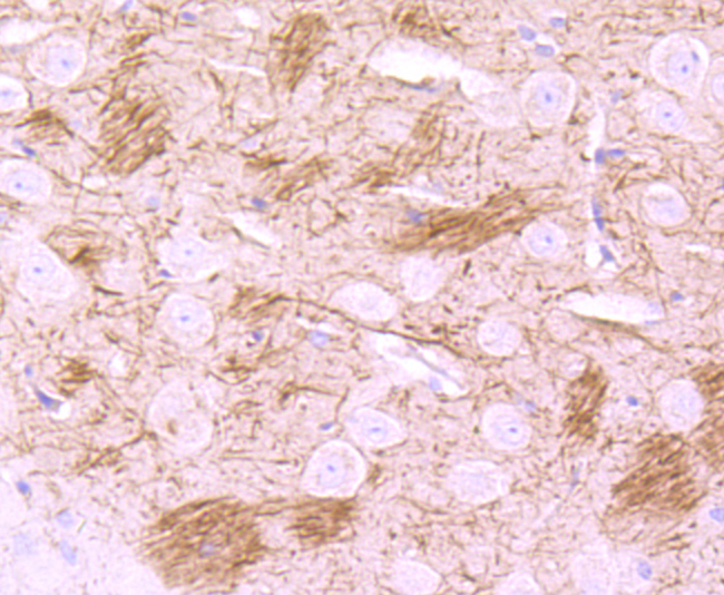
Immunohistochemical analysis of paraffin-embedded rat brain tissue using anti-Neurofilament antibody. Counter stained with hematoxylin.
,

Immunohistochemical analysis of paraffin-embedded mouse brain tissue using anti-Neurofilament antibody. Counter stained with hematoxylin.
,

ICC staining Neurofilament in N2A cells (green). The nuclear counter stain is DAPI (blue). Cells were fixed in paraformaldehyde, permeabilised with 0.25% Triton X100/PBS.
风险提示:丁香通仅作为第三方平台,为商家信息发布提供平台空间。用户咨询产品时请注意保护个人信息及财产安全,合理判断,谨慎选购商品,商家和用户对交易行为负责。对于医疗器械类产品,请先查证核实企业经营资质和医疗器械产品注册证情况。
文献和实验大量含于神经元中的外径概为10nm的纤维结构。认为具有保持神经元形态的细胞骨架作用。在此丝的表面,见有毛羽状的构造。一如在轴突内那样神经丝呈平行走向时,两条丝之间也保持着一定的距离。哺乳类动物的神经丝是由分子量20万、16万、6万8千三种多肽构成,这些蛋白质结成一群以极其缓慢的速度(1mm/日)在轴突内移动。神经丝和微管之量比,幼龄动物低,但随着生长、成熟而逐渐增高。另外变性神经元和老化的神经元,其神经丝有异常增加或变形的现象。低等动物的神经丝与哺乳类动物的不同,它是由两种或一种多肽构成
The Role of Calpain in Neurofilament Protein Degradation Associated With Spinal Cord Injury
in glial cells, both calpain isoforms share similar substrate specificities and are inhibited by an endogenous inhibitor, calpastatin (2 ). A broad range of proteins in the CNS, including cytoskeletal and myelin proteins such as neurofilament
Generation of Antibody Molecules Through Antibody Engineering
been overcome to a large extent using genetic-engineering techniques to produce chimeric mouse/human and completely human antibodies. Such an approach is particularly suitable because of the domain structure of the antibody molecule ( 2 ), where functional
技术资料暂无技术资料 索取技术资料





![LRP4 Antibody[46034]](https://img1.dxycdn.com/p/s14/2025/0922/568/0046652811090600791.jpg!wh200)

![NF1 Conjugated Antibody[C43965]](https://img1.dxycdn.com/p/s14/2025/0923/278/4431488150116040791.jpg!wh200)
![MKNK1 Rabbit Polyclonal Antibody[54539]](https://img1.dxycdn.com/p/s14/2025/0922/498/0460884283108299691.jpg!wh200)
![DNAJB9 Rabbit pAb[49066]](https://img1.dxycdn.com/p/s14/2025/0922/632/2321321568067599691.jpg!wh200)

