相关产品推荐更多 >
万千商家帮你免费找货
0 人在求购买到急需产品
- 详细信息
- 文献和实验
- 技术资料
- 免疫原:
Synthetic peptide corresponding to a region derived from internal residues of human mechanistic target of rapamycin (serine/threonine kinase)
- 形态:
liquid
- 保存条件:
Store at -20˚C
- 克隆性:
Polyclonal
- 适应物种:
Human;Mouse;Rat
- 保质期:
12 months
- 抗原来源:
Rabbit
- 供应商:
南京赛戈巍生物科技有限公司
- 宿主:
Rabbit
- 应用范围:
IHC
- 靶点:
Uniprot:P42345
- 抗体英文名:
MTOR Antibody
- 规格:
50ul/100ul
配方:Rabbit IgG in pH7.3 PBS, 0.05% NaN3, 50% Glycerol.
应用详情:Immunohistochemistry: 1:25-1:100
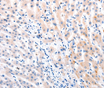
图片:

Immunohistochemical analysis of paraffin-embedded Human liver cancer tissue using #36991 at dilution 1/60.
风险提示:丁香通仅作为第三方平台,为商家信息发布提供平台空间。用户咨询产品时请注意保护个人信息及财产安全,合理判断,谨慎选购商品,商家和用户对交易行为负责。对于医疗器械类产品,请先查证核实企业经营资质和医疗器械产品注册证情况。
文献和实验The senescence program is activated in response to diverse stress stimuli potentially compromising genetic stability and leads to an irreversible cell cycle arrest. The mTOR pathway plays a crucial role in the regulation of cell metabolism
The adaptive response to hypoxia, low oxygen tension, involves inhibition of energy-intensive cellular processes including protein translation. This effect is mediated in part through a decrease in the kinase activity of mammalian target
The mammalian target of rapamycin (mTOR) is the catalytic subunit of two multiprotein complexes, mTOR complex-1 (mTORC1) and mTOR complex-2 (mTORC2). Clinically used rapamycin and rapalogs are FKBP12-dependent allosteric inhibitors of mTORC
技术资料暂无技术资料 索取技术资料





![GTP cyclohydrolase 1 Polyclonal Antibody Biotin Conjugated[C90077Bio]](https://img1.dxycdn.com/p/s14/2025/0922/498/0460884283108299691.jpg!wh200)
![SERP1 Antibody[35887]](https://img1.dxycdn.com/p/s14/2025/0922/359/6146153295428599691.jpg!wh200)
![TSPAN13 Antibody[40384]](https://img1.dxycdn.com/p/s14/2025/0922/568/0046652811090600791.jpg!wh200)


