万千商家帮你免费找货
0 人在求购买到急需产品
- 详细信息
- 询价记录
- 文献和实验
- 技术资料
- 提供商:
珠海舒桐医疗科技有限公司
- 服务名称:
原核蛋白表达纯化服务
原核表达系统因其操作简便、成本低廉且高效,已成为重组蛋白生产的理想平台。大肠杆菌(E. coli)作为最常用的宿主菌株,以其基因组背景清晰、生长快速且易于遗传操作的特点,在生物技术领域占据重要地位。掌握原核表达纯化系统的关键组成部分—宿主菌株、纯化标签和纯化柱的选择与应用,是实现高效蛋白生产的基础。

原核蛋白表达纯化服务流程
标准项目通常需要4-6周完成,具体时间取决于蛋白的复杂度。我们提供加急服务,可在特定情况下缩短交付周期。

舒桐提供多种蛋白标签和蛋白纯化柱选择


舒桐生物在CRISPR蛋白纯化的技术优势

客户案例
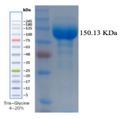
案例1:为客户成功表达纯化靶向tRNA的CRISPR-Cas蛋白,纯度95%。

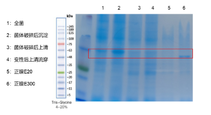
案例2:协助客户完成膜蛋白可溶性表达,突破膜蛋白纯化瓶颈!

案例3:为客户表达纯化毒性极高的甲基转移酶蛋白,助力表观遗传研究!

风险提示:丁香通仅作为第三方平台,为商家信息发布提供平台空间。用户咨询产品时请注意保护个人信息及财产安全,合理判断,谨慎选购商品,商家和用户对交易行为负责。对于医疗器械类产品,请先查证核实企业经营资质和医疗器械产品注册证情况。
- 作者
- 内容
- 询问日期
文献和实验高手进行补充 pET,原核表达金标准(转) pET 载体中,目标基因克隆到 T7 噬菌体强转录 和翻译信号控制之下,并通过在宿主细胞提供 T7 RNA 聚合酶来诱导表达。 Novagen 的 pET 系统不断扩大,提供了用于表达的新技术和选择,目前共包括 36 种载体类型、 15 种不同宿主菌和设计用于有效检测和纯化目标蛋白的许多其它相关产品。 优点 · 是原核蛋白表达 引用最多的系统 · 在任何大肠杆菌 表达系统中,基础
好的质粒交给细菌后,有些事情是我们不能控制的,未知的。尝试其他的表达系统未尝不是一种办法。不过原核不能表达,转去做真核,也不保险,这时候试试体外表达,会更省事,因为没有细胞生长的限制,更容易得到结果,可能只是花费高些,产量低些。能做出结果是第一需要时,这些就不能计较太多。随后将介绍几个体外表达系统,欢迎留意。 如果你成功表达出来了,首先要恭喜你,之后你仍然可能遇到各种各样的问题。这个很正常,科研的道路是曲折的嘛。 Q1:蛋白表达出来了,但是跑SDS-PAGE时大小不符
蛋白纯化的方法很多,如层析法、电泳法、超离心法、超滤等,其中蛋白质亲和层析法通常只需要一步操作便能将目标蛋白从混合物中分离出来,且纯度很高,因而备受实验者的青睐。 在进行蛋白表达时,选择合适的标签有利于蛋白的纯化,促进蛋白的可溶性,因此了解几种常用的蛋白纯化标签很重要。一般来说,常用的蛋白纯化标签主要有 His tag、GST tag、MBP tag、NusA tag、Strep tag 等,那么这些蛋白纯化标签有什么不同之处呢? His tag(组氨酸标签) 融合蛋白是目前最常用的表达
技术资料暂无技术资料 索取技术资料










