相关产品推荐更多 >
万千商家帮你免费找货
0 人在求购买到急需产品
- 详细信息
- 文献和实验
- 技术资料
- 免疫原:
Synthesized peptide of human MELK(AA: 637-651:C-VYKRLVEDILSSCKV). <br>
- 形态:
liquid
- 保存条件:
Store at -20˚C
- 克隆性:
Monoclonal
- 适应物种:
Human
- 保质期:
12 months
- 抗原来源:
Mouse
- 供应商:
南京赛戈巍生物科技有限公司
- 宿主:
Mouse
- 应用范围:
IHC;IF;FC
- 靶点:
Uniprot:Q14680
- 抗体英文名:
MELK Mouse mAb
- 规格:
50ul/100ul
计算分子量:74.6kDa
配方:Purified antibody in PBS with 0.05% sodium azide
应用详情:IHC:1/200 - 1/1000
ICC:1/200 - 1/1000
FC:1/200 - 1/400
ELISA:1/10000
图片:

Black line: Control Antigen (100 ng); Purple line: Antigen(10ng); Blue line: Antigen (50 ng); Red line: Antigen (100 ng);
,

Immunofluorescence analysis of HepG2 cells using MELK mouse mAb (green). Blue: DRAQ5 fluorescent DNA dye. Red: Actin filaments have been labeled with Alexa Fluor-555 phalloidin.
,

Flow cytometric analysis of MCF-7 cells using MELK mouse mAb (green) and negative control (red).
,

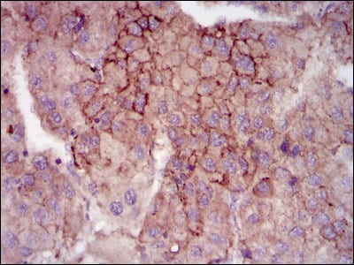
Immunohistochemical analysis of paraffin-embedded human liver cancer tissues using MELK mouse mAb with DAB staining.
,

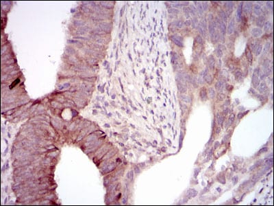
Immunohistochemical analysis of paraffin-embedded human rectum cancer tissues using MELK mouse mAb with DAB staining.
风险提示:丁香通仅作为第三方平台,为商家信息发布提供平台空间。用户咨询产品时请注意保护个人信息及财产安全,合理判断,谨慎选购商品,商家和用户对交易行为负责。对于医疗器械类产品,请先查证核实企业经营资质和医疗器械产品注册证情况。
文献和实验(adjust pH to 7.8 with Binding buffer; red color) to the Protein A column.Mouse antibodies of the IgG1 subclass do not have a high affinity for protein A. Purification on protein A beads using standard conditions will yield approximately 1/10
Purification of mAb (IgG) by Chang-Duk Jun, 03/14/2000 Purpose Materials Antibody 7E3 , 2L sup grown in flasks, frozen and thawed overnight. BioRad Affi-Gel Protein A MAPS II Buffers
T-Cell Activation Using mAb to CD3
One of the most common ways to assess T cell activation is to measure T cell proliferation upon in vitro stimulation of T cells via antigen or agonistic antibodies to TCR. This protocol is written as a starting point for examining in vitro proliferation of mouse
技术资料暂无技术资料 索取技术资料





![Annexin V Rabbit mAb[49376]](https://img1.dxycdn.com/p/s14/2025/0923/496/0462304380155040791.jpg!wh200)
![C3 Conjugated Antibody[C49413]](https://img1.dxycdn.com/p/s14/2025/0923/305/2150219664296040791.jpg!wh200)
![CD170 Polyclonal Antibody PE Conjugated[C91812PE]](https://img1.dxycdn.com/p/s14/2025/0922/498/0460884283108299691.jpg!wh200)

