相关产品推荐更多 >
万千商家帮你免费找货
0 人在求购买到急需产品
- 详细信息
- 文献和实验
- 技术资料
- 免疫原:
Synthetic phospho-peptide corresponding to residues surrounding Tyr705 of human STAT3.
- 形态:
liquid
- 保存条件:
Store at -20˚C
- 克隆性:
Monoclonal
- 适应物种:
Human;Mouse;Rat
- 保质期:
12 months
- 抗原来源:
Recombinant Rabbit
- 供应商:
南京赛戈巍生物科技有限公司
- 宿主:
Recombinant Rabbit
- 应用范围:
WB;ICC/IF;IHC
- 靶点:
Uniprot:P40763
- 抗体英文名:
STAT3(Phospho-Tyr705) Rabbit mAb
- 规格:
50ul/100ul
Acute Phase Response Factor antibody
Acute-phase response factor antibody
ADMIO antibody
APRF antibody
AW109958 antibody
DNA binding protein APRF antibody
FLJ20882 antibody
HIES antibody
MGC16063 antibody
Signal transducer and activator of transcription 3 (acute phase response factor) antibody
Signal transducer and activator of transcription 3 antibody
STAT 3 antibody
Stat3 antibody
STAT3_HUMAN antibody
计算分子量:88 kDa
配方:1*TBS (pH7.4), 1%BSA, 40%Glycerol. Preservative: 0.05% Sodium Azide.
应用详情:WB: 1:500-1:2000
ICC/IF: 1:50-1:200
IHC: 1:50-1:200
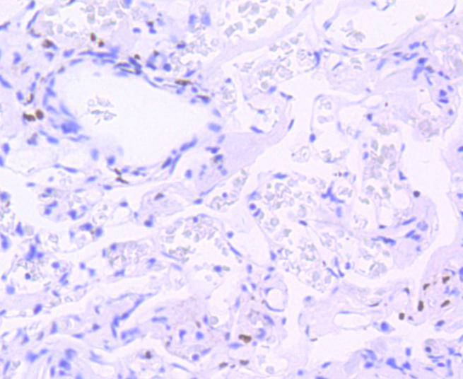
图片:

Immunohistochemical analysis of paraffin-embedded human lung tissue using anti-Phospho-STAT3(Tyr705) antibody. Counter stained with hematoxylin.
风险提示:丁香通仅作为第三方平台,为商家信息发布提供平台空间。用户咨询产品时请注意保护个人信息及财产安全,合理判断,谨慎选购商品,商家和用户对交易行为负责。对于医疗器械类产品,请先查证核实企业经营资质和医疗器械产品注册证情况。
文献和实验稀释液的效果更好。4. 匹配的二抗和显色系统——「配一配和滴一滴」使用多聚 HRP(Poly-HRP)的二抗,即在二抗上连接大量 HRP,以充分放大信号;同时,配合优质的色原产品,提升灵敏度,增强信号。注:在人肺癌标本中使用 Sox2(D6D9) XP® RabbitmAb#3579 检测 Sox2 的表达,使用基于多聚-HRP 的 SignalStain® BoostIHCDetectionReagent 的检测灵敏度更高。注:DAB 色原比较:在人乳腺癌组织中使用 p-Stat3(Tyr705)(D
。所以,我们建议使用微波炉或高压锅加热煮沸以达到最佳抗原修复效果。抗体:Phospho–Stat3 (Tyr705)(D3A7) XP. Rabbit mAb #9145样本:石蜡包埋人类肺部肿瘤样本煮沸设备:浴锅 (左),微波炉 (中),高压锅 (右)免疫染色—封闭在 IHC–P 中,我们建议在室温下在含有 Tween20 的 TBST 缓冲液和 5% 正常山羊血清 (NGS) 中封闭样品,时长 1 小时,以防止非特异性背景染色。在进行 IHC–F 时,在含有 0.3% Triton. X–100 的 1X
used in accordance withmanufacturer recommendationsSignalStain?DAB Substrate Kit #8059:IHC analysis of paraffin-embedded human breastcarcinoma using Phospho-Stat3 (Tyr705) (D3A7) XP? Rabbit mAb #9145. Chromogenicdetection was performed using #8059 (left
技术资料暂无技术资料 索取技术资料





![ZNF671 Polyclonal Antibody[28769]](https://img1.dxycdn.com/p/s14/2025/0923/305/2150219664296040791.jpg!wh200)
![CD56 Polyclonal Antibody Biotin Conjugated[C90322Bio]](https://img1.dxycdn.com/p/s14/2025/0922/498/0460884283108299691.jpg!wh200)
![ALK (Phospho-Tyr1078) Antibody[12740]](https://img1.dxycdn.com/p/s14/2025/0922/568/0046652811090600791.jpg!wh200)
![APOB Conjugated Antibody[C36751]](https://img1.dxycdn.com/p/s14/2025/0923/278/4431488150116040791.jpg!wh200)

