相关产品推荐更多 >
万千商家帮你免费找货
0 人在求购买到急需产品
- 详细信息
- 文献和实验
- 技术资料
- 免疫原:
A synthesized peptide derived from human Cytochrome P450 1B1
- 形态:
liquid
- 保存条件:
Store at -20˚C
- 克隆性:
Monoclonal antibody
- 适应物种:
Human;Mouse;Rat
- 保质期:
12 months
- 抗原来源:
Recombinant Rabbit
- 供应商:
南京赛戈巍生物科技有限公司
- 宿主:
Recombinant Rabbit
- 应用范围:
WB IHC
- 靶点:
Uniprot:Q16678
- 抗体英文名:
Cytochrome P450 1B1 Rabbit mAb
- 规格:
50ul/100ul
计算分子量:61 kDa
配方:Rabbit IgG in 10mM phosphate buffered saline , pH 7.4, 150mM sodium chloride, 0.05% BSA, 0.02% sodium azide and 50% glycerol.
应用详情:WB 1:1000 - 1:2000; IHC 1:100 - 1:200
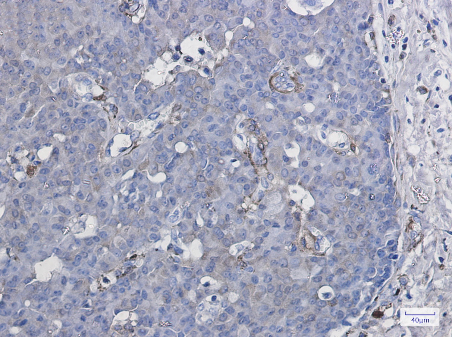
图片:

Western blot detection of CYP1B1 in Rat Brain lysates using CYP1B1 Rabbit mAb(1:1000 diluted).Predicted band size:61kDa.Observed band size:61kDa.
,

Immunohistochemistry of CYP1B1 in paraffin-embedded Human breast cancer tissue using CYP1B1 Rabbit mAb at dilution 1/50
风险提示:丁香通仅作为第三方平台,为商家信息发布提供平台空间。用户咨询产品时请注意保护个人信息及财产安全,合理判断,谨慎选购商品,商家和用户对交易行为负责。对于医疗器械类产品,请先查证核实企业经营资质和医疗器械产品注册证情况。
文献和实验Isolation and Purification of Constitutive Forms of Microsomal Cytochrome P450
from microsomes through the use of proteases were not successful, resulting merely in the solubilization of a number of other microsomal proteins. The breakthrough event was the solubrlizatron of rabbit liver microsomal cytochrome P450 using the ionic detergent
Monoclonal Antibodies to Cytochromes P450
specifically recognizes a single antigenic determinant or “epltope” on the protein antigen, which, in our studies, is a specific individual cytochrome P450 (P450). This specificity of the MAb continues for the lifetime of the hybridoma cell, which can be frozen
Expression of Eukaryotic Cytochromes P450 in E. coli
Although much has been learned from the study of relatively abundant cytochromes P450 (e.g., P450cam from Pseudomonas putida cytosol, P4501A2 and P4502B4 from rabbit liver microsomes, and P45Oscc from bovine adrenal cortex mitochondria
技术资料暂无技术资料 索取技术资料





![CD52 Rabbit Polyclonal Antibody[54296]](https://img1.dxycdn.com/p/s14/2025/0922/498/0460884283108299691.jpg!wh200)
![HTR3C Antibody[36247]](https://img1.dxycdn.com/p/s14/2025/0922/359/6146153295428599691.jpg!wh200)
![Exportin-5 Rabbit mAb[49981]](https://img1.dxycdn.com/p/s14/2025/0923/278/4431488150116040791.jpg!wh200)
