相关产品推荐更多 >
万千商家帮你免费找货
0 人在求购买到急需产品
- 详细信息
- 文献和实验
- 技术资料
- 形态:
liquid
- 保存条件:
Store at -20˚C
- 克隆性:
Monoclonal
- 适应物种:
Human
- 保质期:
12 months
- 抗原来源:
Mouse
- 供应商:
南京赛戈巍生物科技有限公司
- 宿主:
Mouse
- 应用范围:
IHC
- 抗体英文名:
p504s Antibody
- 规格:
50ul/100ul
应用详情:Recommended working dilution range:1:100 - 1:200
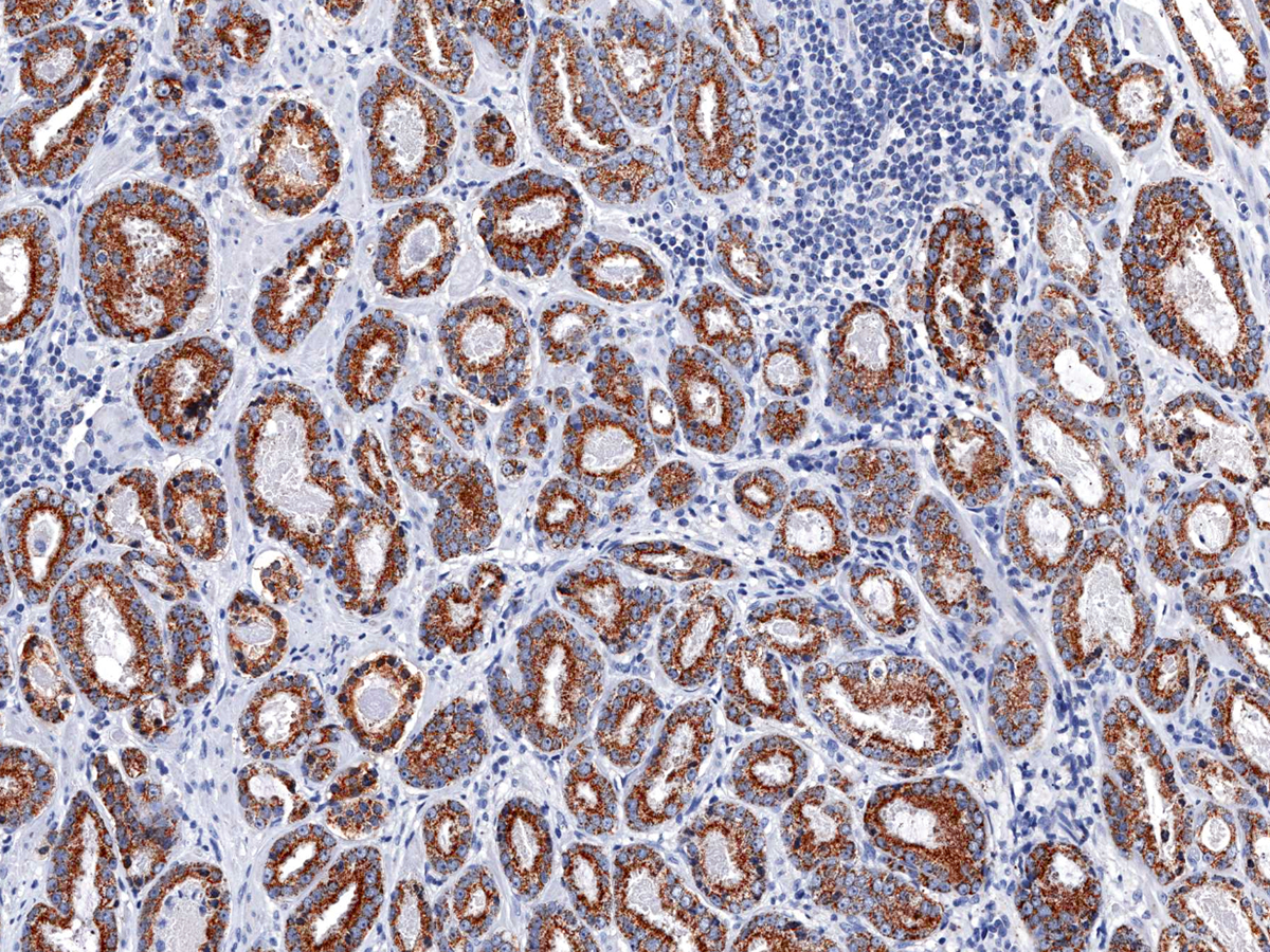
图片:

p504s [P1038] on Prostate Cancer
风险提示:丁香通仅作为第三方平台,为商家信息发布提供平台空间。用户咨询产品时请注意保护个人信息及财产安全,合理判断,谨慎选购商品,商家和用户对交易行为负责。对于医疗器械类产品,请先查证核实企业经营资质和医疗器械产品注册证情况。
文献和实验S-腺苷甲硫氨酸 S- adenosylmethionine 亦称活性甲硫氨酸,在生物体内由 ATP与甲硫氨酸在甲硫氨酸活化酶的作用下合成。甲硫键是高能键,另外其丙基胺部分也加入到多胺化合物中。当胆碱、肌酸及其它甲基化合物生成时它作为甲基供体而起作用。认为甲硫氨酸的分解也经过此物质。
Summary: Illumina's Solexa Sequencing Technology
Here I present a brief overview of Solexa's sequencing-by-synthesis chemistry. The sample prep methods used differ slightly from that used in ABI's SOLiD system, but the basic goals are the same: generate large numbers of unique "polonies
鹅〔脱氧〕胆酸 s chenodeoxycholic acid
C 24 H 40 O 4 。 3 α, 7 α - 二羟基 -5 β - 胆烷酸。胆汁酸的一种。在哺乳类、鸟类、鱼类等的胆液中含有和甘氨酸或牛磺酸结合形成的甘氨鹅(脱氧)胆酸或牛磺鹅(脱氧)胆酸。
技术资料暂无技术资料 索取技术资料





![MAPK10 Mouse mAb[63907]](https://img1.dxycdn.com/p/s14/2025/0922/632/2321321568067599691.jpg!wh200)
![PD-L1 Antibody[P1013]](https://img1.dxycdn.com/p/s14/2025/0923/278/4431488150116040791.jpg!wh200)


