相关产品推荐更多 >
万千商家帮你免费找货
0 人在求购买到急需产品
- 详细信息
- 技术资料
- 免疫原:
recombinant protein
- 形态:
liquid
- 保存条件:
Store at -20˚C
- 克隆性:
Monoclonal antibody
- 适应物种:
Human;Mouse
- 保质期:
12 months
- 抗原来源:
Recombinant Rabbit
- 供应商:
南京赛戈巍生物科技有限公司
- 宿主:
Recombinant Rabbit
- 应用范围:
WB, ICC/IF, IHC, IP
- 靶点:
Uniprot:P42226
- 抗体英文名:
STAT6 Rabbit mAb
- 规格:
50ul/100ul
D12S1644 antibody
IL 4 STAT antibody
IL-4 Stat antibody
IL4 STAT antibody
Interleukin 4 Induced antibody
Interleukin 4 Induced Transcription Factor IL4 STAT antibody
Signal transducer and activator of transcription 6 antibody
Signal Transducer And Activator Of Transcription 6 Interleukin 4 Induced antibody
Signal Transducer And Activator Of Transcription 6 Nirs Variant 1 antibody
Signal transducer and activator of transcription 6, interleukin 4 induced antibody
STAT 6 antibody
STAT interleukin4 induced antibody
STAT, interleukin4 induced antibody
Stat6 antibody
STAT6_HUMAN antibody
STAT6B antibody
STAT6C antibody
Transcription factor IL 4 STAT antibody
计算分子量:94 kDa
配方:1*TBS (pH7.4), 1%BSA, 40%Glycerol. Preservative: 0.05% Sodium Azide.
应用详情:WB: 1:1,000-1:2,000
IHC: 1:50-1:200
ICC: 1:50-1:200
图片:
![STAT6 Rabbit mAb[48795]](https://img1.dxycdn.com/p/s14/2025/0923/971/8066749020755140791.jpg)
Western blot analysis of STAT6 on different lysates using anti-STAT6 antibody at 1/1,000 dilution. Positive control:
Lane 1: Hela
Lane 2: Raji
,
![STAT6 Rabbit mAb[48795]](https://img1.dxycdn.com/p/s14/2025/0923/370/8009168840755140791.jpg)
Immunohistochemical analysis of paraffin-embedded human breast carcinoma tissue using anti-STAT6 antibody. Counter stained with hematoxylin.
,
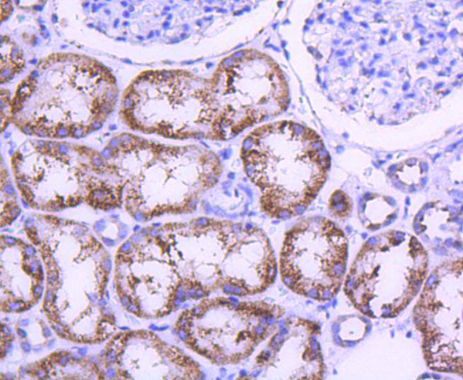
![STAT6 Rabbit mAb[48795]](https://img1.dxycdn.com/p/s14/2025/0923/959/0040320840755140791.jpg)
Immunohistochemical analysis of paraffin-embedded human kidney tissue using anti-STAT6 antibody. Counter stained with hematoxylin.
,
![STAT6 Rabbit mAb[48795]](https://img1.dxycdn.com/p/s14/2025/0923/917/6906306740755140791.jpg)
Immunohistochemical analysis of paraffin-embedded mouse lung tissue using anti-STAT6 antibody. Counter stained with hematoxylin.
,
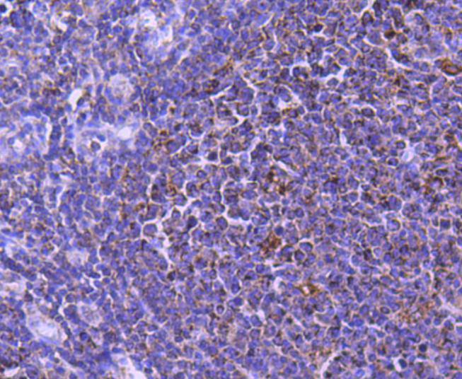
![STAT6 Rabbit mAb[48795]](https://img1.dxycdn.com/p/s14/2025/0923/649/6501834750755140791.jpg)
Immunohistochemical analysis of paraffin-embedded human tonsil tissue using anti-STAT6 antibody. Counter stained with hematoxylin.
,
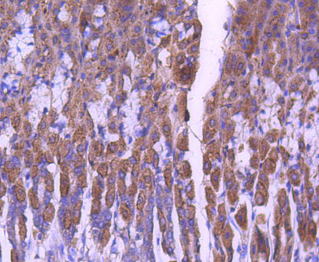
![STAT6 Rabbit mAb[48795]](https://img1.dxycdn.com/p/s14/2025/0923/238/6754605540755140791.jpg)
Immunohistochemical analysis of paraffin-embedded mouse stomach tissue using anti-STAT6 antibody. Counter stained with hematoxylin.
,
![STAT6 Rabbit mAb[48795]](https://img1.dxycdn.com/p/s14/2025/0923/914/6376388320755140791.jpg)
ICC staining STAT6 in Hela cells (green). The nuclear counter stain is DAPI (blue). Cells were fixed in paraformaldehyde, permeabilised with 0.25% Triton X100/PBS.
,
![STAT6 Rabbit mAb[48795]](https://img1.dxycdn.com/p/s14/2025/0923/736/2720780540755140791.jpg)
ICC staining STAT6 in AGS cells (green). The nuclear counter stain is DAPI (blue). Cells were fixed in paraformaldehyde, permeabilised with 0.25% Triton X100/PBS.
,
![STAT6 Rabbit mAb[48795]](https://img1.dxycdn.com/p/s14/2025/0923/381/0006735270755140791.jpg)
ICC staining STAT6 in NIH/3T3 cells (green). The nuclear counter stain is DAPI (blue). Cells were fixed in paraformaldehyde, permeabilised with 0.25% Triton X100/PBS.
风险提示:丁香通仅作为第三方平台,为商家信息发布提供平台空间。用户咨询产品时请注意保护个人信息及财产安全,合理判断,谨慎选购商品,商家和用户对交易行为负责。对于医疗器械类产品,请先查证核实企业经营资质和医疗器械产品注册证情况。
技术资料暂无技术资料 索取技术资料


![STAT6 Rabbit mAb[48795]](https://img1.dxycdn.com/p/s14/2025/0923/496/0462304380155040791.jpg)


![DHRS7 Antibody[47052]](https://img1.dxycdn.com/p/s14/2025/0923/496/0462304380155040791.jpg!wh200)
![TBCC Mouse mAb[64299]](https://img1.dxycdn.com/p/s14/2025/0922/632/2321321568067599691.jpg!wh200)
![LRRK2 Rabbit Polyclonal Antibody[54402]](https://img1.dxycdn.com/p/s14/2025/0922/498/0460884283108299691.jpg!wh200)
