相关产品推荐更多 >
万千商家帮你免费找货
0 人在求购买到急需产品
- 详细信息
- 文献和实验
- 技术资料
- 形态:
liquid
- 保存条件:
Store at -20˚C
- 克隆性:
Monoclonal
- 适应物种:
Human
- 保质期:
12 months
- 抗原来源:
Recombinant Rabbit
- 供应商:
南京赛戈巍生物科技有限公司
- 宿主:
Recombinant Rabbit
- 应用范围:
IHC
- 抗体英文名:
PD-L1 Antibody
- 规格:
50ul/100ul
应用详情:Recommended working dilution range:1:100 - 1:200
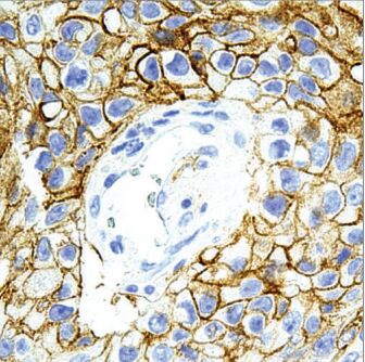
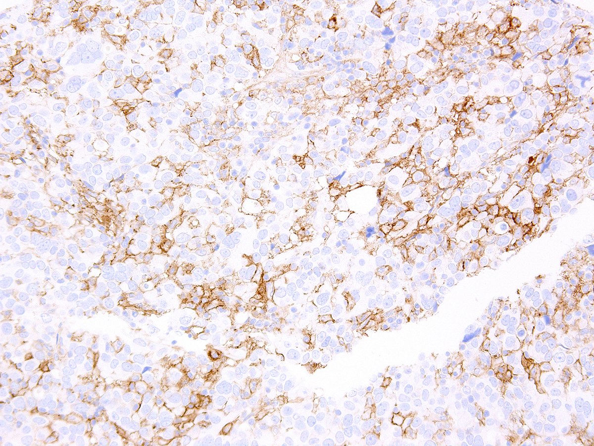
图片:

PD-L1 Antibody (P1013) on Lung cancer
,

PD-L1 Antibody (P1013) on Lung Cancer - 20X
,

PD-L1 Antibody (P1013) on Lung Cancer - 40X
风险提示:丁香通仅作为第三方平台,为商家信息发布提供平台空间。用户咨询产品时请注意保护个人信息及财产安全,合理判断,谨慎选购商品,商家和用户对交易行为负责。对于医疗器械类产品,请先查证核实企业经营资质和医疗器械产品注册证情况。
文献和实验2015 年 12 月,美国前总统吉米 · 卡特在接受了靶向放疗和免疫抗癌新药 Keytruda(PD-1 抑制剂,MSD)治疗后,医生发现,在他的脑部磁共振扫描图像中,此前出现的黑色素瘤(Melanoma)与新生的癌细胞都彻底消失了。这种治疗效果引起了业内的广泛关注,也彰显了 PD-1/PD-L1 免疫疗法在肿瘤治疗中的巨大潜力。PD-1/PD-L1 是什么?1992 年,日本京都大学 Tasuku Honjo 教授首次报道并克隆了 PD-1 基因[1]。1999 年,华人学者陈列平教授报道
宽度:562 px高度:343 px维持原图长宽比:确认自 2011 年第一个免疫检验点 CTLA4 抑制剂伊匹单抗(Ipilimumab)获批上市以来,肿瘤免疫疗法越来越受到重视。特别是近几年陆续获批 PD1/PD-L1 单抗药物在临床治疗中的不断突破,肿瘤免疫治疗已从 1.0 时代进入 2.0 时代。免疫疗法适应症也在不断拓展,从黑色素瘤逐渐延伸到非小细胞肺癌、膀胱癌、头颈癌霍奇金淋巴瘤等癌症的治疗。针对 PD1/PD-L1 免疫检验点的单抗药物无疑是肿瘤免疫治疗中当之无愧的明星,其中 O
上期带大家了解如今大热的 PD-L1免疫疗法,本期文章会对 PD-1 诊断抗体进行详细的分析。PD-1/PD-L1 单克隆抗体药备受瞩目,是目前临床上研究和应用最广泛的免疫检查点抑制剂之一,阻断 PD-1 与 PD-L1 的结合,使 T 细胞恢复肿瘤杀伤活性,在多种肿瘤治疗过程中显示出卓越的疗效[1]。目前 FDA 批准了 2 款 PD-1 抑制剂(Opdivo 和 Keytruda)和 3 款 PD-L1 抑制剂(Tecentriq、Imfinzi、Bavencio)上市。同时,也分别批准
技术资料暂无技术资料 索取技术资料





![NAPSA Mouse mAb[63983]](https://img1.dxycdn.com/p/s14/2025/0922/632/2321321568067599691.jpg!wh200)

![Goat Anti-Human IgG+IgM+IgA - AF532[L35231]](https://img1.dxycdn.com/p/s14/2025/0922/498/0460884283108299691.jpg!wh200)
![V-type proton ATPase subunit G 1 Polyclonal Antibody[42060]](https://img1.dxycdn.com/p/s14/2025/0922/568/0046652811090600791.jpg!wh200)
![HER4 / ErbB4 Antibody[48301]](https://img1.dxycdn.com/p/s14/2025/0923/496/0462304380155040791.jpg!wh200)

