相关产品推荐更多 >
万千商家帮你免费找货
0 人在求购买到急需产品
- 详细信息
- 文献和实验
- 技术资料
- 形态:
liquid
- 保存条件:
Store at -20˚C
- 克隆性:
Monoclonal
- 适应物种:
Human
- 保质期:
12 months
- 抗原来源:
Mouse
- 供应商:
南京赛戈巍生物科技有限公司
- 宿主:
Mouse
- 应用范围:
IHC
- 抗体英文名:
Her2/Neu Antibody
- 规格:
50ul/100ul
应用详情:Recommended working dilution range:1:100 - 1:200
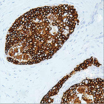
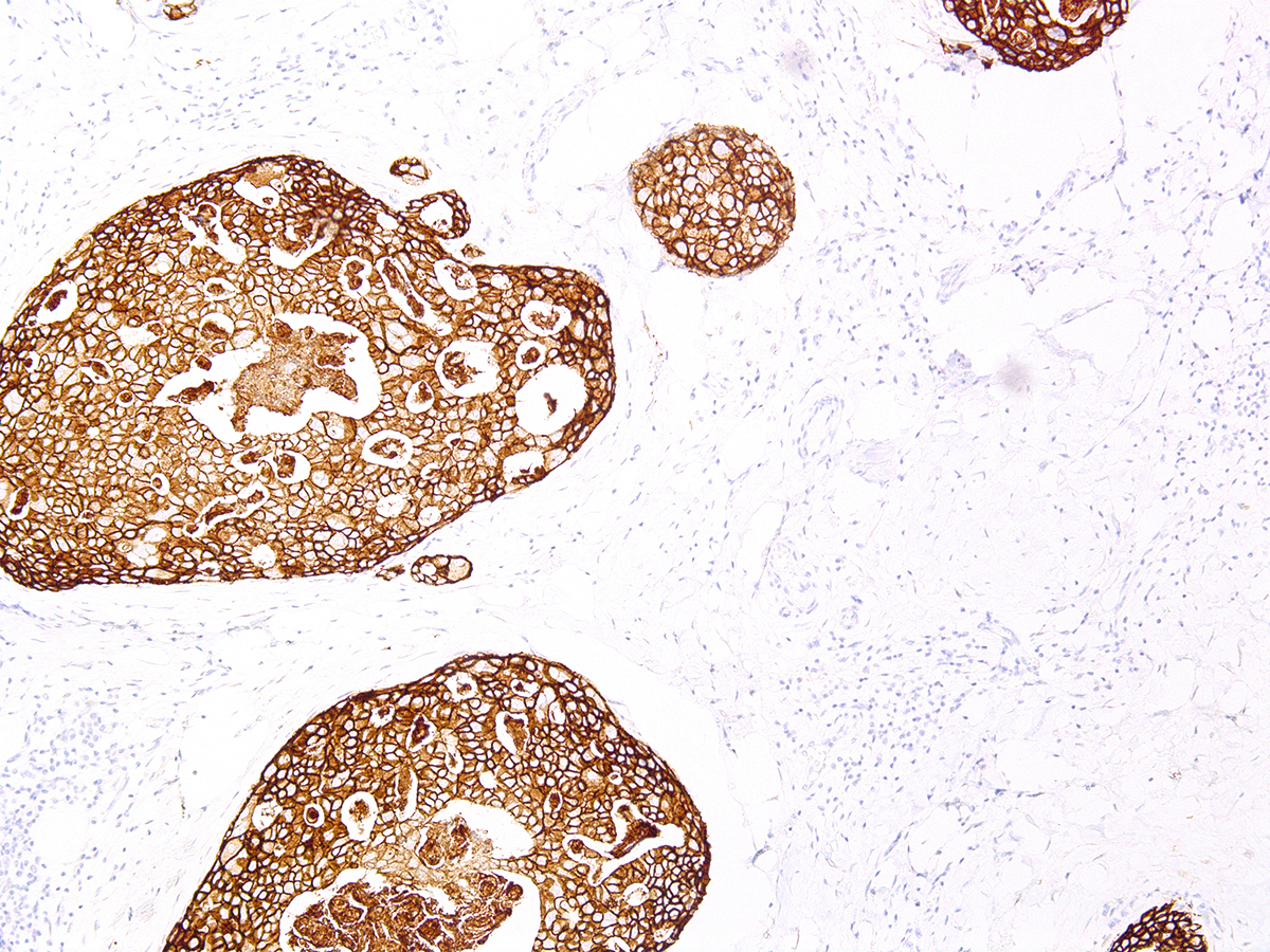
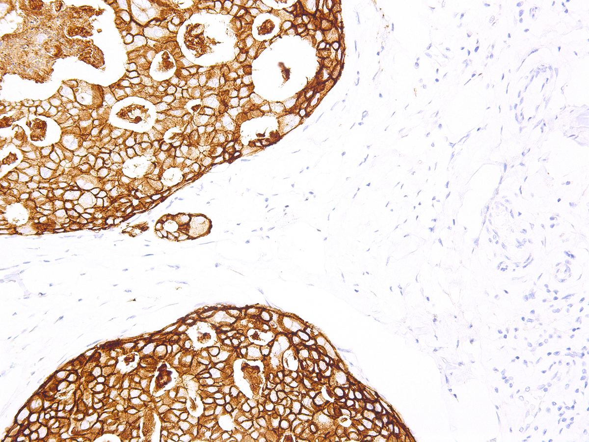
图片:

Her2/Neu Antibody (P1002) on Breast carcinoma
,

Her2/Neu Antibody (P1002) on Breast - 10X
,

Her2/Neu Antibody (P1002) on Breast - 40X
风险提示:丁香通仅作为第三方平台,为商家信息发布提供平台空间。用户咨询产品时请注意保护个人信息及财产安全,合理判断,谨慎选购商品,商家和用户对交易行为负责。对于医疗器械类产品,请先查证核实企业经营资质和医疗器械产品注册证情况。
文献和实验HER2/neu DNA Vaccination for Breast Tumors
Several studies of DNA vaccination against HER2/neu showed the effectiveness of immunization protocols in models of transplantable or spontaneous tumors. The DNA delivery system plays a crucial role in the success of DNA vaccination
Automated Analysis of FISH-Stained HER2/neu Samples with Metafer
The HER2/neu gene (also known as ERBB2) is located on chromosome 17 (q11.2–q12) and encodes a glycoprotein known to be a member of the epidermal growth factor receptor family. Clinically, the determination of its amplification status
Developing Anti-HER2/neu Single-Chain Fv Fragments from Phage Display Libraries
One of the major failures of conventional cancer therapy has been the inability to achieve a sufficient differential in toxicity between normal and neoplastic tissues. Since hybridoma technology was established (1 ), monoclonal antibodies
技术资料暂无技术资料 索取技术资料






![ER81 Antibody[33791]](https://img1.dxycdn.com/p/s14/2025/0922/359/6146153295428599691.jpg!wh200)
![ZNF263 Conjugated Antibody[C43576]](https://img1.dxycdn.com/p/s14/2025/0923/278/4431488150116040791.jpg!wh200)

