相关产品推荐更多 >
万千商家帮你免费找货
0 人在求购买到急需产品
- 详细信息
- 文献和实验
- 技术资料
- 免疫原:
Purified Protein
- 形态:
liquid
- 保存条件:
Store at -20˚C
- 克隆性:
Monoclonal
- 保质期:
12 months
- 抗原来源:
Mouse
- 供应商:
南京赛戈巍生物科技有限公司
- 宿主:
Mouse
- 应用范围:
WB IHC
- 靶点:
Uniprot:P68431
- 抗体英文名:
Acetyl Lysine Monoclonal Antibody
- 规格:
50ul/100ul
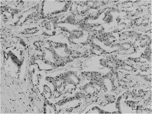
应用详情:
图片:

Immunohistochemical analysis of paraffin-embedded Human Breast Carcinoma using Acetyl Lysine Monoclonal Antibody.
,

Western blot analysis of 1) Mouse Brain Tissue, 2) Hela, 3) Hela+TSA Treated using Acetyl Lysine Monoclonal Antibody.
风险提示:丁香通仅作为第三方平台,为商家信息发布提供平台空间。用户咨询产品时请注意保护个人信息及财产安全,合理判断,谨慎选购商品,商家和用户对交易行为负责。对于医疗器械类产品,请先查证核实企业经营资质和医疗器械产品注册证情况。
文献和实验Protocols for Lysine Conjugation
Currently, the most widely used chemical methodology for the conjugation of drugs to monoclonal antibodies involves either lysine or cysteine residues. In this chapter, several methods for the preparation of antibody–drug conjugates (ADCs
Determination of the Immunoreactivity of Radiolabeled Monoclonal Antibodies
site of the antibody, radiometals may not be the most appropriate isotope to use. However, the antibody is likely to contain a number of tyrosine and lysine residues that can be labeled, so the reduction in immunoreactivity caused by radiolabeling
kit using the monoclonal antibody to HEL is now commercially available. We recently identified propanoyl-lysine (propionyl-lysine, PRL) from the reaction of an n-3 FA and a lysine residue. The antibody to PRL has been prepared and characterized. Using
技术资料暂无技术资料 索取技术资料





![AP-2 complex subunit sigma Polyclonal Antibody[42366]](https://img1.dxycdn.com/p/s14/2025/0922/568/0046652811090600791.jpg!wh200)
![PFKM Antibody[SAB495]](https://img1.dxycdn.com/p/s14/2025/0922/498/0460884283108299691.jpg!wh200)
![WNK1 (Phospho-Thr60) Polyclonal Conjugated Antibody[C12295]](https://img1.dxycdn.com/p/s14/2025/0923/278/4431488150116040791.jpg!wh200)

