相关产品推荐更多 >
万千商家帮你免费找货
0 人在求购买到急需产品
- 详细信息
- 文献和实验
- 技术资料
- 免疫原:
recombinant protein
- 形态:
liquid
- 保存条件:
Store at -20˚C
- 克隆性:
Monoclonal
- 适应物种:
Human;Mouse;Rat
- 保质期:
12 months
- 抗原来源:
Recombinant Rabbit
- 供应商:
南京赛戈巍生物科技有限公司
- 宿主:
Recombinant Rabbit
- 应用范围:
WB, IHC
- 靶点:
Uniprot:P62805
- 抗体英文名:
Histone H4 (tri methyl K20) Rabbit mAb
- 规格:
50ul/100ul
别名:Histone gene cluster 1, H4A antibody
Histone gene cluster 2, H4 antibody
dJ160A22.1 antibody
dJ160A22.2 antibody
dJ221C16.1 antibody
dJ221C16.9 antibody
FO108 antibody
H4 antibody
H4 histone family, member A antibody
H4 histone family, member B antibody
H4 histone family, member C antibody
H4 histone family, member D antibody
H4 histone family, member E antibody
H4 histone family, member G antibody
H4 histone family, member H antibody
H4 histone family, member I antibody
H4 histone family, member J antibody
H4 histone family, member K antibody
H4 histone family, member M antibody
H4 histone family, member N antibody
H4 histone, family 2 antibody
H4/A antibody
H4/B antibody
H4/C antibody
H4/D antibody
H4/E antibody
H4/G antibody
H4/H antibody
H4/I antibody
H4/J antibody
H4/K antibody
H4/M antibody
H4/N antibody
H4/O antibody
H4/p antibody
H4_HUMAN antibody
H4F2 antibody
H4F2iii antibody
H4F2iv antibody
H4FA antibody
H4FB antibody
H4FC antibody
H4FD antibody
H4FE antibody
H4FG antibody
H4FH antibody
H4FI antibody
H4FJ antibody
H4FK antibody
HIST1 cluster, H4A antibody
HIST1 cluster, H4B antibody
HIST1 cluster, H4D antibody
HIST2H4 antibody
Hist4 cluster, H4 antibody
Hist4h4 antibody
histone 1, H4a antibody
histone 1, H4c antibody
histone 1, H4d antibody
histone 1, H4f antibody
histone 1, H4h antibody
histone 1, H4i antibody
histone 1, H4j antibody
histone 1, H4k antibody
histone 1, H4l antibody
histone 2, H4a antibody
histone 2, H4b antibody
Histone 4 family, member M antibody
histone 4, H4 antibody
histone cluster 1, H4 antibody
histone cluster 1, H4a antibody
histone cluster 1, H4b antibody
histone cluster 1, H4c antibody
histone cluster 1, H4d antibody
histone cluster 1, H4e antibody
histone cluster 1, H4f antibody
histone cluster 1, H4h antibody
histone cluster 1, H4i antibody
histone cluster 1, H4j antibody
histone cluster 1, H4k antibody
histone cluster 1, H4l antibody
histone cluster 2, H4a antibody
histone cluster 2, H4b antibody
histone cluster 4, H4 antibody
Histone family, member A antibody
Histone family, member B antibody
Histone family, member D antibody
Histone family, member H antibody
Histone family, member I antibody
Histone family, member L antibody
Histone gene cluster 1, H4 antibody
Histone gene cluster 1, H4D antibody
Histone gene cluster 1, H4E antibody
Histone gene cluster 1, H4K antibody
Histone gene cluster 4, H4 antibody
Histone gene cluster 4, H4 histone antibody
Histone H4 antibody
histone IV, family 2 antibody
计算分子量:11 kDa
配方:1*TBS (pH7.4), 1%BSA, 40%Glycerol. Preservative: 0.05% Sodium Azide.
应用详情:
图片:
Histone gene cluster 2, H4 antibody
dJ160A22.1 antibody
dJ160A22.2 antibody
dJ221C16.1 antibody
dJ221C16.9 antibody
FO108 antibody
H4 antibody
H4 histone family, member A antibody
H4 histone family, member B antibody
H4 histone family, member C antibody
H4 histone family, member D antibody
H4 histone family, member E antibody
H4 histone family, member G antibody
H4 histone family, member H antibody
H4 histone family, member I antibody
H4 histone family, member J antibody
H4 histone family, member K antibody
H4 histone family, member M antibody
H4 histone family, member N antibody
H4 histone, family 2 antibody
H4/A antibody
H4/B antibody
H4/C antibody
H4/D antibody
H4/E antibody
H4/G antibody
H4/H antibody
H4/I antibody
H4/J antibody
H4/K antibody
H4/M antibody
H4/N antibody
H4/O antibody
H4/p antibody
H4_HUMAN antibody
H4F2 antibody
H4F2iii antibody
H4F2iv antibody
H4FA antibody
H4FB antibody
H4FC antibody
H4FD antibody
H4FE antibody
H4FG antibody
H4FH antibody
H4FI antibody
H4FJ antibody
H4FK antibody
HIST1 cluster, H4A antibody
HIST1 cluster, H4B antibody
HIST1 cluster, H4D antibody
HIST2H4 antibody
Hist4 cluster, H4 antibody
Hist4h4 antibody
histone 1, H4a antibody
histone 1, H4c antibody
histone 1, H4d antibody
histone 1, H4f antibody
histone 1, H4h antibody
histone 1, H4i antibody
histone 1, H4j antibody
histone 1, H4k antibody
histone 1, H4l antibody
histone 2, H4a antibody
histone 2, H4b antibody
Histone 4 family, member M antibody
histone 4, H4 antibody
histone cluster 1, H4 antibody
histone cluster 1, H4a antibody
histone cluster 1, H4b antibody
histone cluster 1, H4c antibody
histone cluster 1, H4d antibody
histone cluster 1, H4e antibody
histone cluster 1, H4f antibody
histone cluster 1, H4h antibody
histone cluster 1, H4i antibody
histone cluster 1, H4j antibody
histone cluster 1, H4k antibody
histone cluster 1, H4l antibody
histone cluster 2, H4a antibody
histone cluster 2, H4b antibody
histone cluster 4, H4 antibody
Histone family, member A antibody
Histone family, member B antibody
Histone family, member D antibody
Histone family, member H antibody
Histone family, member I antibody
Histone family, member L antibody
Histone gene cluster 1, H4 antibody
Histone gene cluster 1, H4D antibody
Histone gene cluster 1, H4E antibody
Histone gene cluster 1, H4K antibody
Histone gene cluster 4, H4 antibody
Histone gene cluster 4, H4 histone antibody
Histone H4 antibody
histone IV, family 2 antibody
计算分子量:11 kDa
配方:1*TBS (pH7.4), 1%BSA, 40%Glycerol. Preservative: 0.05% Sodium Azide.
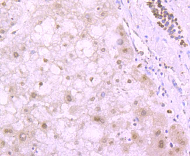
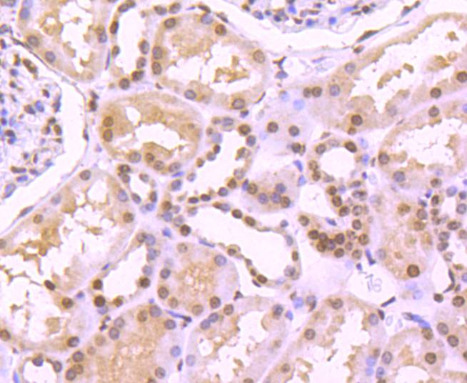
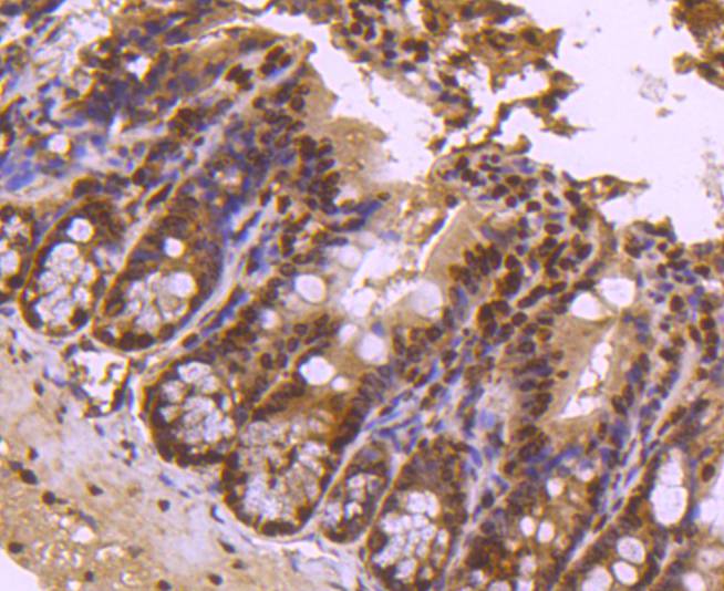
应用详情:
WB: 1:1,000
IHC: 1:50-1:200
图片:

HW226
,

HW226
,

HW226
,

HW226
,

HW226
风险提示:丁香通仅作为第三方平台,为商家信息发布提供平台空间。用户咨询产品时请注意保护个人信息及财产安全,合理判断,谨慎选购商品,商家和用户对交易行为负责。对于医疗器械类产品,请先查证核实企业经营资质和医疗器械产品注册证情况。
文献和实验相关实验
法所替代。利用微球菌核酸酶的切割特性(在染色质核小体之间的 DNA 更容易被切开),可以快速温和地将染色质 DNA 切断,且最大限度地保持了细胞原有染色质结构以及目的蛋白与 DNA 的结合状态,使 ChIP 的准确性和结果可信度大大提高。CST 推出的 SimpleChIP® 酶解法试剂盒,含有标准 ChIP 流程所需的整套试剂、ChIP 级蛋白质 G 微珠、阳性对照抗体(Histone H3(D2B12) XP® Rabbit mAb (ChIP Formulated) #4620)、阴性对照抗体、DNA
技术资料暂无技术资料 索取技术资料
Histone H4 (tri methyl K20) Rabbit mAb[HW226]
询价





![FLI1 Antibody[43320]](https://img1.dxycdn.com/p/s14/2025/0922/568/0046652811090600791.jpg!wh200)

![Myocardin Polyclonal Antibody PE Conjugated[C92774PE]](https://img1.dxycdn.com/p/s14/2025/0922/498/0460884283108299691.jpg!wh200)
![COG5 Conjugated Antibody[C46967]](https://img1.dxycdn.com/p/s14/2025/0923/305/2150219664296040791.jpg!wh200)

