相关产品推荐更多 >
万千商家帮你免费找货
0 人在求购买到急需产品
- 详细信息
- 文献和实验
- 技术资料
- 免疫原:
Synthetic phospho-peptide corresponding to residues surrounding Tyr216 and 279 of human GSK3(alpha+beta).
- 形态:
liquid
- 保存条件:
Store at -20˚C
- 克隆性:
Monoclonal
- 适应物种:
Human;Mouse;Rat
- 保质期:
12 months
- 抗原来源:
Recombinant Rabbit
- 供应商:
南京赛戈巍生物科技有限公司
- 宿主:
Recombinant Rabbit
- 应用范围:
WB;ICC/IF;IHC
- 靶点:
Uniprot:P49840
- 抗体英文名:
GSK3(alpha/beta)(Phospho-Y216/Y279) Rabbit mAb
- 规格:
50ul/100ul
Glycogen synthase kinase 3 alpha antibody
Glycogen synthase kinase 3 beta antibody
GSK3 alpha antibody
GSK3 beta antibody
GSK3B antibody
计算分子量:47,51 kDa
配方:1*TBS (pH7.4), 1%BSA, 40%Glycerol. Preservative: 0.05% Sodium Azide.
应用详情:WB: 1:500-1:2000
ICC/IF: 1:50-1:200
IHC: 1:50-1:200
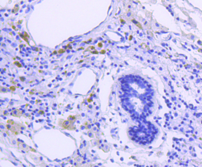
图片:

Immunohistochemical analysis of paraffin-embedded rat brain tissue using anti-Phospho-GSK3(alpha+beta)(Y216+Y279) antibody. Counter stained with hematoxylin.
,

Immunohistochemical analysis of paraffin-embedded human breast carcinoma tissue using anti-Phospho-GSK3(alpha+beta)(Y216+Y279) antibody. Counter stained with hematoxylin.
,

Immunohistochemical analysis of paraffin-embedded mouse brain tissue using anti-Phospho-GSK3(alpha+beta)(Y216+Y279) antibody. Counter stained with hematoxylin.
,

ICC staining Phospho-GSK3(alpha+beta)(Y216+Y279) in A431 cells (green). The nuclear counter stain is DAPI (blue). Cells were fixed in paraformaldehyde, permeabilised with 0.25% Triton X100/PBS.
,

ICC staining Phospho-GSK3(alpha+beta)(Y216+Y279) in Hela cells (green). The nuclear counter stain is DAPI (blue). Cells were fixed in paraformaldehyde, permeabilised with 0.25% Triton X100/PBS.
,

ICC staining Phospho-GSK3(alpha+beta)(Y216+Y279) in MCF-7 cells (green). The nuclear counter stain is DAPI (blue). Cells were fixed in paraformaldehyde, permeabilised with 0.25% Triton X100/PBS.
风险提示:丁香通仅作为第三方平台,为商家信息发布提供平台空间。用户咨询产品时请注意保护个人信息及财产安全,合理判断,谨慎选购商品,商家和用户对交易行为负责。对于医疗器械类产品,请先查证核实企业经营资质和医疗器械产品注册证情况。
文献和实验synthase kinase 3beta as a target for the therapy of shock and inflammation. Shock. 27 , 113–123. 8. Rubinfeld B, Albert I, Porfiri E, Fiol C, Munemitsu S, Polakis P. (1996) Binding of GSK3beta to the APC-beta-catenin complex
v468. chapter 4 WNT 细胞通路 检测细胞GSK3活性与表达水平
3.1 and 3.6 ). This will provide a “specific activity” measurement relative to total protein in the cell, and is themost accurate measure of total GSK3 activity, or2. Immunoblot using antibodies to phospho-Ser21 (GSK3a)or phospho-Ser9 (GSK3b) (see Sections 3.1 –
:使用 Anti-phospho-Akt (Ser473) Rabbit mAb 对石蜡包埋的人乳腺癌组织进行免疫组织化学分析。(图 A)使用免疫组化试剂盒M&R HRP/DAB Detection IHC Kit,抗体 1:100 稀释;(图 B) 采用普通免疫组化试剂盒,抗体 1:25 稀释。 图 6 免疫组化实验检测 Erk1/2 表达 注:使用 Anti-Erk1/2 Mouse mAb与p44/42 MAPK (Erk1/2)Rabbit mAb 对正常小鼠心脏组织进行免疫
技术资料暂无技术资料 索取技术资料





![DFNA5/GSDME Conjugated Antibody[C55212]](https://img1.dxycdn.com/p/s14/2025/0922/498/0460884283108299691.jpg!wh200)

![ATP2A2 Conjugated Antibody[C32157]](https://img1.dxycdn.com/p/s14/2025/0923/278/4431488150116040791.jpg!wh200)
![CPA5 Antibody[34547]](https://img1.dxycdn.com/p/s14/2025/0922/359/6146153295428599691.jpg!wh200)
![CD322 Mouse mAb[63351]](https://img1.dxycdn.com/p/s14/2025/0922/632/2321321568067599691.jpg!wh200)

